23번
[임종평22-1]
0
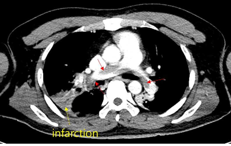
39세 남자가 1일 전 가래에서 피가 나서 병원에 왔다. 3일 전부터 가슴이 답답하고 조금만 움직여도 숨이 찼다. 10일 전 교통사고로 우측 대퇴골 골절 수술을 받아 누워 지냈다고 한다. 고혈압, 당뇨병은 없다. 19갑·년의 흡연력이 있다. 혈압 70/30 mmHg, 맥박 112회/분, 호흡 23회/분, 체온 36.5℃이다. 오른쪽 윗가슴에서 호흡음이 감소되어 들린다. 가슴 X선사진과 가슴 컴퓨터단층촬영 사진이다. 혈액검사 결과는 다음과 같다. 치료는?
백혈구 12,830/mm3, 혈색소 14.4 g/dL, 혈소판 150,000/mm3
크레아틴인산화효소MB 38.65 ng/mL (참고치, 5.5)
트로포닌 I 0.25 ng/mL (참고치, <0.3)
뇌나트륨배설펩타이드 240 ng/L (참고치, <100)


정답률 87%
누적 풀이 횟수 1,100+
평균 풀이 시간39초
/
나의 풀이 시간0초
CC | M/39, 객혈(1d) |
Hx | 10일 전: TA s/p Rt. femur Fx op → bed rest 흡연: 19갑년 |
S/Sx | 흉부 불편감(3d), 호흡곤란(3d) V/S 70/30 112 23 36.5, 우측 윗가슴 호흡음 감소 |
Lab | WBC↑, CK-MB↑, TnI nl, BNP↑ |
Img | CXR: Poor inspiration, r/o consolidation in Rt. upper lung field CT: Pulmonary a. thrombosis, r/o lung infarction in Rt. lung |
Etc |
Imp: 폐색전증(pulmonary thromboembolism, PTE)
해설
CT상 PTE가 확인되며 V/S이 unstable하고, thrombolysis의 금기증이 없으므로 혈전용해제를 투여한다.
• 39세 남자가 1일 전 시작된 객혈을 주호소로 내원했다.
• 흉부 불편감과 호흡곤란이 동반되었는데, 급성 호흡곤란 및 흉통이 객혈과 동반될 경우 반드시 PTE를 의심해야 한다. 특히 본 환자는 정형외과적 수술 후 bed rest 중이었으므로 PTE의 고위험군에 해당한다.
• PTE의 진단을 위해 빠르게 CXR 및 CT를 촬영했고, CT상 pulmonary a. 내부의 thrombus가 관찰되므로 PTE로 진단할 수 있다. 우측 폐에 wedge-shaped consolidation이 있는데, 이는 PTE의 microthrombus에 의해 흔히 발생하는 segmental lung infarction으로 추정된다. 객혈도 이 infarcted lung에 의해 발생했을 가능성이 높으며, 신체진찰상 우측 윗가슴의 호흡음 감소와도 correlation 된다.
• CK-MB 상승은 RV microinfarction에 의해 발생 가능하다. BNP는 RV distension에 의한 것으로 추정된다.
• 현재 V/S이 unstable하므로 thrombolysis의 금기증이 없는 이상 thrombolysis를 시행해야 한다.
Tip
• 폐색전증의 진단 및 치료
오답 선지
• 항응고제: Thrombolysis를 시행할 경우 anticoagulant 병용투여가 이루어지는 것이 맞으나, unstable V/S에서는 thrombolysis가 필수적이므로 본 증례에서 더 적절한 답안은 혈전용해제이다.
• 항혈소판제: Antiplatelet은 platelet activation으로 인한 새로운 thrombus formation을 억제하는 기능을 갖지만, 이미 형성된 thrombus를 녹이는 기능은 없으므로 본 증례에는 부적절하다.
• 하대정맥필터: PTE가 있으나 V/S이 stable하고, anticoagulant의 금기증에 해당할 경우 IVC filter를 삽입할 수 있다.
• 노르에피네프린: 본 증례는 저혈압이 있어 temporary hemodynamic support가 필요해 norepinephrine이 필요할 수도 있으나, 현재는 빠르게 폐동맥의 reperfusion이 더 중요하다.
관련 이론
• 폐색전증
Reference
• Harrison 21e, pp.2091-2101