53번
[임종평24-2]
0
60세 남자가 30분 전부터 등이 아파서 응급실에 왔다. 사무실에서 근무하던 중 자정부터 등이 찢어질 듯한 통증이 발생하였다. 10년 전부터 혈압이 높았으나 약을 복용하지 않았다. 혈압 200/120 mmHg, 맥박 110회/분, 호흡 20회/분, 체온 36.5 ℃이다. 가슴 컴퓨터단층촬영 사진이다. 베타차단제 정맥 투여를 시작했다. 수축기 혈압의 목표치는?

정답률 42%
누적 풀이 횟수 2,600+
평균 풀이 시간18초
/
나의 풀이 시간0초
CC | M/60, 등통증(30min) |
Hx | HTN(10y) |
S/Sx | V/S 200/120 110 20 36.5 |
Lab | |
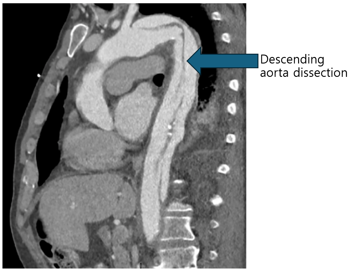
Img | CT: Aortic intimal dissection membrane distal of the left subclavian artery |
Etc |
Imp: 대동맥 박리(aortic dissection, AD), type B
해설
Chest CT에서 대동맥 박리가 descending aorta에 관찰되므로 베타차단제로 BP/HR을 조절해야하며 수축기 혈압의 목표치는 100~120mmHg이다.
• 30분 전부터 등의 통증을 주소로 내원한 60세 남자이다.
• Chest CT에서 descending aorta 내부의 intima tear이 관찰되므로 AD로 진단한다.
• 본 증례는 descending aorta만 침범한 stanford type B이고 등의 통증외 다른 합병증이 발생하지 않았으므로 약물 치료를 통해 BP와 HR을 조절해야한다.
• 대동맥 박리에서 SBP 목표치는 100~120mmHg이고 HR은 60~80회/분이다.
• 따라서 답은 100~120mmHg이다.
Tip
급성 대동맥 증후군 정리 | |
임상양상 | 극심한 흉통: 급성, 찢어지는 듯한 양상 흉통이 뻗치는 곳이 박리의 위치와 관련이 있음 |
검사소견 | CXR: Mediastinal widening |
진단 | CT: Intimal flap, false lumen |
치료 | IV β blocker (+ vasodilator) |
Type A: 대동맥 수술 Type B & 파열, malperfusion: 대동맥 시술 | |
오답 선지
• 80-100 mmHg: 대동맥 박리에서 수축기 혈압은 120mmHg 미만으로 조절되어야 하지만 hemodynamic instability 상태가 되면 안된다. SBP 80-100mmHg는 hemodynamic instability 상태이다.
• 120-140 mmHg: 대동맥 박리에서 수축기 혈압은 100-120mmHg으로 조절되어야 한다.
• 140-160 mmHg: 대동맥 박리에서 수축기 혈압은 100-120mmHg으로 조절되어야 한다.
• 160-180 mmHg: 대동맥 박리에서 수축기 혈압은 100-120mmHg으로 조절되어야 한다.
관련 이론
• 급성 대동맥 증후군
Reference
• Harrison 21e, pp.2104-2106