17번
[MD23]
0
23세 남자가 1시간 전부터 목부위가 아프고 숨이 찬다며 병원에 왔다. 병원 방문 전에 운동경기를 관람하면서 응원가를 크게 부르던 중 목소리가 이상해지고 목부위가 불편해졌다고 한다. 4갑 ∙ 년의 흡연자이다. 혈압 130/90 mmHg, 맥박 104회/분, 호흡 18회/분, 체온 36.3°C이다. 가슴 청진에서 호흡음은 정상으로 들린다. 앞목은 부어 있고 누르면 비빔소리가 난다. 가슴 X선사진, 가슴 컴퓨터단층촬영 사진과 심전도이다. 혈액검사 결과는 다음과 같다. 진단은?
혈색소 14.8 g/dL, 백혈구 6,020/mm3 , 혈소판 230,000/mm3




정답률 98%
누적 풀이 횟수 1,600+
평균 풀이 시간31초
/
나의 풀이 시간0초
CC | M/23, 목통증/호흡곤란(1h) |
Hx | 목소리 크게 냄 → 목소리 이상 및 목 불편감 흡연: 4갑년 |
S/Sx | V/S 130/90 104 18 36.3, 앞목 붓기, crepitus |
Lab | |
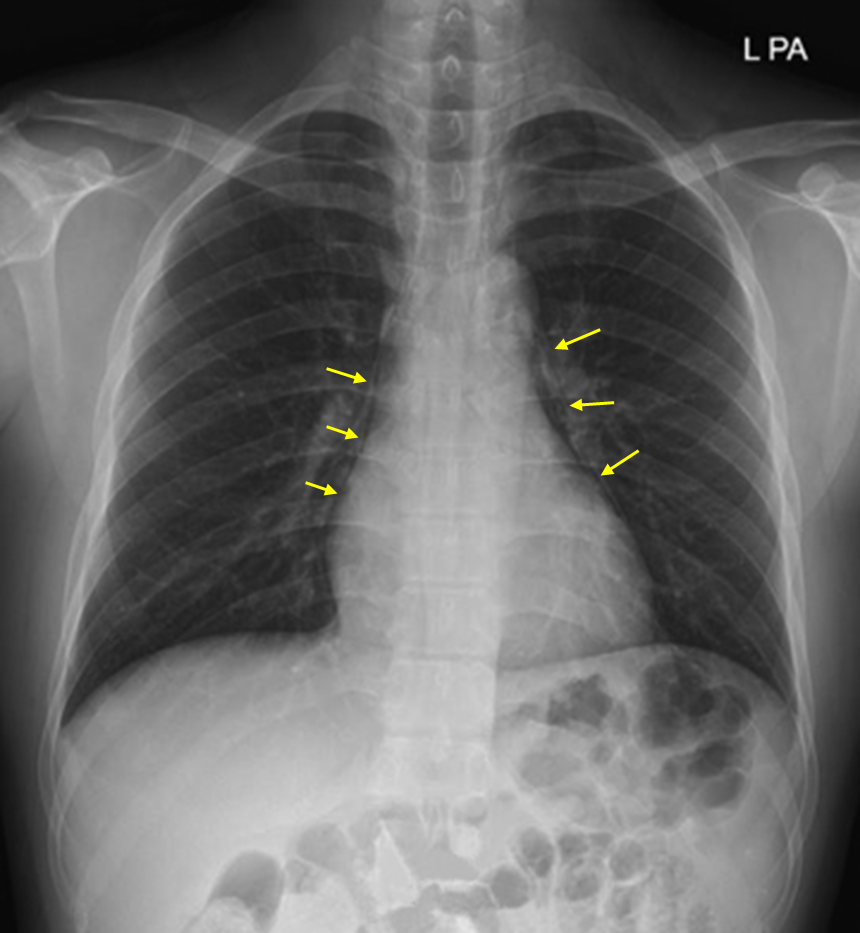
Img | CXR: Bilateral pleural line adjacent to mediastinum CT: Air inside mediastinum |
Etc | ECG: 정상 |
Imp: 종격동기종(pneumomediastinum, 세로칸공기증)
해설
영상검사상 mediastinum 내 air가 관찰되므로 종격동기종으로 진단한다.
• 23세 남자가 1시간 전 시작된 목 통증 및 호흡곤란을 주호소로 내원했다.
• 앞목이 붓고 비빔소리(염발음, crepitus)가 있으므로 피하기종(subcutaneous emphysema)이 의심된다. 이는 종격동기종의 특징적 소견으로, 종격동에서 공기가 피하조직을 통해 목으로 옮겨간 것이다.
• 목소리를 크게 지르다가 위 증상이 발생했으므로, 기관지나 식도의 일부 파열이 생겼거나 종격동 쪽의 alveoli rupture에 의해 종격동기종이 발생한 것으로 보인다. 흡연은 종격동기종과 기흉의 위험인자 중 하나이다.
• CXR에서 심장 옆으로 얇은 pleural line이 보이며, CT에서도 종격동 내부에 air bubble이 관찰되므로 종격동기종으로 진단한다.
Tip
종격동 질환 정리 | ||
종격동 종괴 | 전방 | • 가슴샘종양(thymoma, 흉선종) - 중증근무력증 동반 가능 → 수술적 절제 (+ CTx/RTx) • 생식세포종양(germ cell tumor) - 기형종(teratoma): CT상 fat + calcification → 수술적 절제 |
중앙 | • LN 비대, bronchogenic/pericardial cyst | |
후방 | • Neurogenic tumor | |
종격동기종 | • 임상양상: 흉통, 흉부 비빔소리(피하기종) • 진단: CXR/CT상 medial pleural line 등 • 치료: 경과관찰 + 산소 (식도/기도 파열시 수술) | |
급성 종격동염 | • 원인: 식도/기도 파열, 목/복부 감염, 수술 후 감염 • 임상양상: 흉통, 호흡곤란, 발열 • 진단: CT - 종격동기종, 기포, fluid collection • 치료: 광범위 항생제 + 배액(수술적, 내시경적, 경피적) | |
오답 선지
• 기흉: Pleural line이 mediastinum 쪽이 아니라 흉곽의 parietal pleura 쪽으로 보이며, 호흡음이 감소되어 있다.
• 가슴막삼출: CXR상 costophrenic angle blunting이 보이며, 호흡음이 감소되어 있다.
• 대동맥박리: 등으로 방사하는 급성 흉통이 특징적이다. CXR상 mediastinal widening과 CT상 aorta의 false lumen이 관찰된다.
• 심근경색증: ECG상 ST change가 흔히 관찰된다.
관련 이론
• 종격동 질환
Reference
• Harrison 21e, pp.2200-2201
• Murray & Nadel 7e, pp.1590-1617