332번
[임종평19-2]
0
29세 남자가 1시간 전부터 숨이 찬다며 병원에 왔다. 태권도 사범으로 2시간 전 시범을 보이면서 기합을 지른 후 왼쪽 가슴이 뜨끔거리는 통증을 느꼈다. 병원에 와서는 숨이 차서 한 문장을 쉬지 않고 끝까지 말하지 못했다. 혈압 110/80mmHg, 맥박 110회/분, 호흡 28회/분, 체온 36.5℃이다. 청진에서 왼쪽 가슴의 호흡음이 잘 들리지 않고 타진에서 과공명이 있다. 가슴 X선 사진이다. 치료는?

정답률 86%
누적 풀이 횟수 800+
평균 풀이 시간22초
/
나의 풀이 시간0초
CC | M/29, 호흡곤란 (1hr) |
Hx | 비흡연자 |
S/Sx | 왼쪽 가슴이 뜨끔거리는 통증(2hr) → 호흡곤란(1hr) 병원에서 한 문장을 제대로 말하지 못함 V/S 110/80 110 28 36.5, 왼쪽 가슴 호흡음 감소, 타진 과공명 |
Lab | |
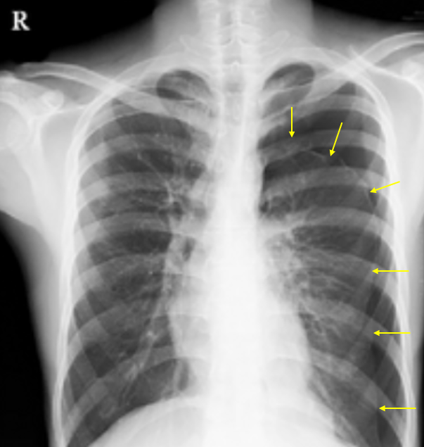
Img | CXR: 좌측 폐 pleural line |
Etc |
Imp: 일차성 자발성 기흉(primary spontaneous pneumothorax, PSP)
해설
환자가 제대로 말하지 못하고 있으며 빈호흡이 있기 때문에 unstable한 것으로 판단, 흉관 삽입을 시행한다.
• 29세 남자가 1시간 전부터 지속된 호흡곤란으로 내원하였다.
• CXR에서 좌측 폐에 pleural line이 보이며 distal하게 vascular marking이 없으므로 기흉으로 진단하며, 환자가 젊고 특이 병력이 없으므로 PSP로 진단할 수 있다.
• 환자가 현재 한 문장을 제대로 말하지 못하며, RR > 24의 빈호흡이 있으므로 불안정하다고 판단, 흉관 삽입이 적절한 치료이다.
Tip
기흉 정리 | |
위험요인 | • 일차성: 흡연, 남성 • 이차성: COPD • 의인성: 바늘생검, 흉막천자, 기계환기 • 외상 |
임상양상 | • 급성 흉통, 호흡곤란 • 호흡음 감소, 타진 시 과공명 |
검사소견 | • CXR: Pleural line 보임, vascular marking이 보이지 않음 |
일차성/의인성 기흉 치료 | • 안정 + 첫 기흉 + 증상 경함: 경과관찰 (+ O2) • 재발성 or 불안정: 흉관 삽입 |
이차성/외상성 기흉 치료 | • 흉관 삽입 |
긴장성 기흉 | • V/S unstable • CXR: Mediastinal shift • 즉각적인 바늘 감압 → 이후 흉관 삽입 |
관련 이론
• 기흉
Reference
• Harrison 21e, p.2200
• Murray & Nadel 7e, pp.1539-1550