432번
[임종평23-1]
0
36세 여자가 3일 전부터 숨이 찬다며 병원에 왔다. 3년 전 전신홍반성루프스를 진단받고, 면역억제제를 복용 중이다. 음주력, 흡연력은 없었다. 혈압 130/95 mmHg, 맥박 98회/분, 호흡 22회/분, 체온 36℃이다. 가슴 청진에서 양쪽 폐야의 호흡음은 정상이다. 혈액검사 결과는 다음과 같다. 가슴 컴퓨터단층촬영 사진이다. 치료는?
백혈구 9,600/mm3 (중성구 85%, 림프구 13%, 단핵구 1%)
혈색소 14.4 g/dL, 혈소판 150,000/mm3
C반응단백질 18.4 mg/L (참고치, <10)
D이합체 10.5 mg/L (참고치, <0.5)
항인지질항체 양성

정답률 76%
누적 풀이 횟수 1,700+
평균 풀이 시간29초
/
나의 풀이 시간0초
CC | F/36, 호흡곤란(3d) |
Hx | SLE on immunosuppressant(3y) |
S/Sx | V/S 130/95 98 22 36 |
Lab | CRP↑, D-dimer↑, anti-phospholipid Ab(+) |
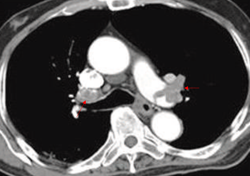
Img | CT: Massive thrombosis at both main pulmonary arteries |
Etc |
Imp: 폐색전증(pulmonary thromboembolism, PTE), R/O 항인지질증후군(antiphospholipid syndrome, APS)
해설
CT상 PTE가 확인되며 V/S stable하고 anticoagulant의 금기증에 해당하지 않으므로 anticoagulant를 투여한다.
• 36세 여자가 3일 전 시작된 호흡곤란을 주호소로 내원했다.
• 기타 호흡기 증상은 동반되지 않았다. 급성 호흡곤란이 있을 경우 PTE를 의심할 수 있어야 한다.
• D-dimer elevation이 저명하므로 PTE를 진단하기 위해 CT를 시행해야 한다.
• CT상 양쪽 pulmonary artery에 massive PTE가 확인된다. 현재 SLE로 치료 중인데, antiphospholipid Ab가 확인된다. SLE의 합병증으로 APS가 발생할 수 있다. Thrombotic event가 있으면서 antiphospholipid Ab가 2회 연속으로 검출될 때 APS로 진단할 수 있다.
• 현재 V/S stable하므로 PTE에 대하여 thrombolysis 또는 embolectomy는 필요하지 않다. Anticoagulation을 시행해야 하며, 본 환자는 anticoagulation의 금기증에 해당할 만한 요소가 전무하므로 anticoagulant를 투여한다.
Tip
• 폐색전증의 치료 및 진단
오답 선지
• 항혈소판제: PTE의 경우 platelet aggregation에 의해 thrombosis가 발생하는 기전이 아닌 경우가 많으므로 antiplatelet은 PTE 치료에 큰 도움이 되지 않는다.
• 혈전용해제: Thrombolytics는 V/S이 unstable한 PTE의 치료에 사용된다.
• 경구스테로이드제, 흡입스테로이드제: PTE의 치료에 사용되지 않는다.
관련 이론
• 폐색전증
• 항인지질 증후군
Reference
• Harrison 21e, pp.2091-2101