440번
[임종평23-2]
0
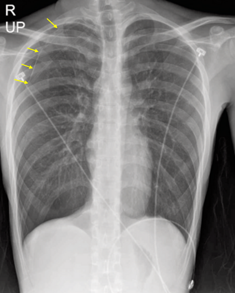
24세 남자가 2일 전부터 숨이 찬다며 응급실에 왔다. 택배 기사인데 2일 전 물건을 옮길 때 오른쪽 등과 아래쪽 가슴이 당기고 호흡곤란을 느꼈다고 한다. 다음 날 기침을 동반하며 호흡곤란이 더 심해졌다고 한다. 흡연한 적은 없으며, 천식이 있다. 혈압 118/69 mmHg, 맥박 72회/분, 호흡 20회/분, 체온 36.7℃, 산소포화도 98%이다. 청진 시 오른쪽 폐에서 호흡음이 감소하여 들린다. 혈액검사 결과는 다음과 같다. 가슴 X선사진이다. 검사는?
백혈구 5,000/mm3, 혈색소 16.7 g/dL, 혈소판 266,000/mm3
Na+ 143 meq/L, K+ 4.4 meq/L, Cl- 104 meq/L
D이합체(D-dimer) 452 ng/mL (참고치, 220~740)
크레아틴인산화효소 MB (CK-MB) 0.4 ng/mL (참고치, <5)
트로포닌 I 0.003 μg/L (참고치, <0.03)

정답률 74%
누적 풀이 횟수 1,800+
평균 풀이 시간59초
/
나의 풀이 시간0초
CC | M/24, 호흡곤란(2d) |
Hx | Asthma |
S/Sx | 우측 등/가슴 당기는 통증(2d), 기침/호흡곤란(1d) V/S 118/69 72 20 36.7, SpO2 98%, LS Rt. lung decreased |
Lab | |
Img | CXR: Rt. pneumothorax |
Etc |
Imp: 기흉(pneumothorax)
해설
Pneumothorax가 확인되므로 pneumothorax의 크기, bullae의 유무, 추가적 외상의 가능성에 대한 평가를 위해 chest CT를 시행한다.
• 24세 남자가 2일 전 시작된 호흡곤란을 주호소로 내원했다.
• 2일 전 택배 기사 일을 하면서 Rt. chest wall pain 및 dyspnea가 있었다. 천식 과거력이 있고, 기침이 동반되었으므로 호흡기 질환에 대한 평가가 우선되어야 한다. 우측 폐야의 호흡음이 감소했으므로 pneumothorax, pleural effusion, atelectasis 등을 고려해야 한다.
• CXR상 Rt. visceral pleural line이 확인되며, 그보다 distal하게 pulmonary vascular marking의 소실이 확인되고, 이는 환자의 증상과 correlation되므로 Rt. pneumothorax로 볼 수 있다. 환자의 나이 및 CXR상 확인되는 체형으로 보아 spontaneous pneumothorax의 가능성도 있으며, asthma 과거력이 있고 RULF의 rib들이 지저분하게 보이므로 rib Fx 등의 합병 가능성도 있다.
• Pneumothorax의 크기, 위치, 원인 병변, 추가적 골절성 병변의 유무 등을 평가하기 위해 chest CT를 시행하는 것이 보기 중 가장 적절하다.
Tip
기흉 정리 | |
위험요인 | • 일차성: 흡연, 남성 • 이차성: COPD • 의인성: 바늘생검, 흉막천자, 기계환기 • 외상 |
임상양상 | • 급성 흉통, 호흡곤란 • 호흡음 감소, 타진 시 과공명 |
검사소견 | • CXR: Pleural line 보임, vascular marking이 보이지 않음 |
일차성/의인성 기흉 치료 | • 안정 + 첫 기흉 + 증상 경함: 경과관찰 (+ O2) • 재발성 or 불안정: 흉관 삽입 |
이차성/외상성 기흉 치료 | • 흉관 삽입 |
긴장성 기흉 | • V/S unstable • CXR: Mediastinal shift • 즉각적인 바늘 감압 → 이후 흉관 삽입 |
오답 선지
• 폐기능검사: Asthma의 평가에 PFT가 유용하지만, 본 증례는 호흡음상 wheezing이 확인되지 않으며 focal chest pain이 있으므로 acute asthma attack으로 보기 어렵고, CXR상 pneumothorax가 저명하므로 현재는 불필요하다.
• 심장초음파검사: 호흡곤란이 심장성 원인(heart failure, valvular disease 등)에 기인할 때 이를 평가하기에 유용하다. 본 증례는 역학적으로 heart disease가 있을 가능성이 낮으며, CXR상 pneumothorax가 저명하므로 심장성 호흡곤란의 가능성은 낮다.
• 양전자단층촬영: 주로 악성 질환의 평가에 사용되므로 본 증례에서의 필요성은 낮다.
• 가슴 자기공명영상: 기흉의 원인 병변 파악, rib Fx의 진단을 위해서는 고해상도의 영상검사가 필요하며, 가슴은 호흡으로 인해 상시로 움직이기 때문에, 고해상도로 빠르게 찍을 수 있는 CT가 MRI보다 훨씬 유용하다.
관련 이론
• 기흉
Reference
• Harrison 21e, p.2200
• Murray & Nadel 7e, pp.1539-1550