흉통/흉부불편감

/

221

/

221

169번

[MD25]

0

67세 여자가 1일 전부터 가슴이 칼로 찌르는 듯이 아파서 응급실에 왔다. 고혈압과 만성신부전으로 약물을 복용 중이며, 혈액투석은 아직 받지 않는다. 혈압 220/95 mmHg, 맥박 95회/분, 호흡 20회/분, 체온 36.7℃이다. 호흡음과 심음은 정상이다. 검사 결과는 다음과 같다. 심전도 사진, 가슴 X선사진 및 가슴 컴퓨터단층촬영 사진이다. 진단은?

혈액: 혈색소 13.5 g/dL, 백혈구 6,500/mm³

혈소판 176,000/mm³

크레아틴인산화효소 119 U/L (참고치, <170)

크레아틴인산화효소 MB동종효소 2.45 ng/mL (참고치, <3.61)

트로포닌 I 0.15 μg/L (참고치, <0.3)

동맥혈기체(대기호흡): pH 7.45, PaCO₂ 41 mmHg

PaO₂ 101 mmHg

HCO₃⁻ 23.0 mmol/L

정답률 96%

누적 풀이 횟수 2,700+

평균 풀이 시간37초

/

나의 풀이 시간0

CC

F/67, 흉통(1d)

Hx

HTN, CKD on med

S/Sx

칼로 찌르는 듯한 흉통

V/S 220/95 95 20 36.7

Lab

Img

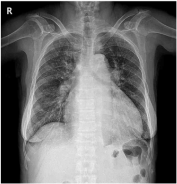
CXR: Cardiomegaly, mediastinal widening

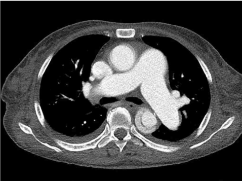
CT: Aortic dissection involving descending thoracic aorta

Etc

ECG: Normal sinus rhythm

Imp: 대동맥 박리(aortic dissection, AD), type B

해설

CT에서 descending aorta 내부의 free flap이 관찰되므로 AD로 진단한다.

• 67세 여자가 1일 전부터 시작된 흉통으로 응급실에 내원하였다.

• 흉통은 가슴이 칼로 찌르는 듯한 양상이며 과거력으로 고혈압이 있으며 CXR에서 mediastinal widening이 관찰되므로 AD를 의심해야 한다.

• 혈액검사 상 cardiac marker가 정상이므로 흉통의 원인으로 coronary artery disease는 배제할 수 있다.

• AD 진단을 위해 시행한 가슴 CTdescending aorta 내부의 free flap이 관찰되므로 AD로 확진한다.

Tip

급성 대동맥 증후군 정리

임상양상

극심한 흉통: 급성, 찢어지는 듯한 양상

흉통이 뻗치는 곳이 박리의 위치와 관련이 있음

검사소견

CXR: Mediastinal widening

진단

CT: Intimal flap, false lumen

치료

IV β blocker (+ vasodilator)

Type A: 대동맥 수술

Type B & 파열, malperfusion: 대동맥 시술

오답 선지

• 폐렴: 폐 실질에 감염이 발생한 질환으로 본 증례의 CT 소견 상 descending aorta 내부의 free flap이 관찰되므로 AD이다.

• 심장막염: 심장막에 감염이 생긴 질환으로 ECG 상 upwardly concave ST elevation이 특징이다. 본 증례의 CT 소견 상 descending aorta 내부의 free flap이 관찰되므로 AD이다.

• 공기가슴증: 폐와 흉벽 사이 공간인 흉강에 공기가 찬 질환으로 CXR 상 pleural line이 보이고 pleural line 바깥쪽으로 vascular marking이 소실된다.

• 급성심근경색: 혈액검사 상 심근효소 수치의 상승이 확인되어야 하며 ECG 상 ST segment의 상승과 하강이 특징이다. 본 증례의 CT 소견 상 descending aorta 내부의 free flap이 관찰되므로 AD이다.

관련 이론

급성 대동맥 증후군

Reference

Harrison 21e, pp.1886-1991

AHA guideline, 2020

ESC guideline, 2021