30번
[MD21]
0
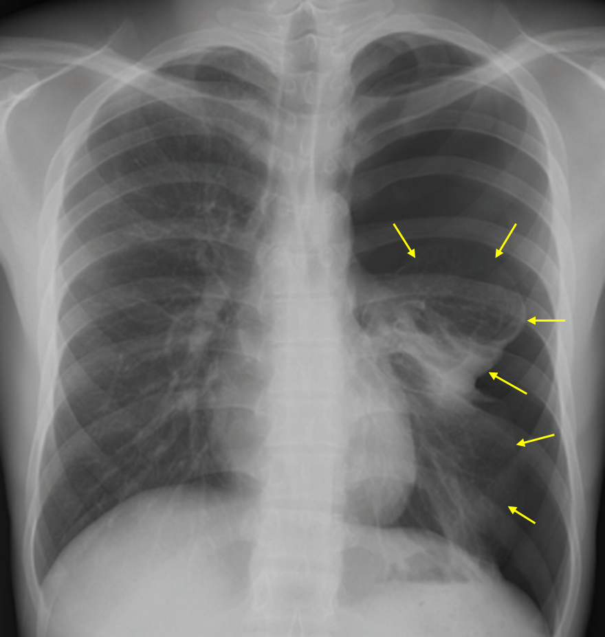
65세 남자가 3시간 전부터 왼쪽 가슴이 아프고 숨이 찬다며 병원에 왔다. 40갑 ∙ 년의 흡연자로 5년 전부터 만성폐쇄폐질환을 치료 중이다. 가슴 통증은 기침을 하거나 숨을 들이마실 때 더 심하다고 한다. 혈압 122/76 mmHg, 맥박 100회/분, 호흡 24회/분, 체온 36.6°C이다. 가슴 청진에서 왼쪽 가슴의 호흡음이 희미하게 들린다. 가슴 X선사진과 가슴 컴퓨터단층 촬영 사진이다. 치료는?


정답률 86%
누적 풀이 횟수 1,100+
평균 풀이 시간30초
/
나의 풀이 시간0초
CC | M/65, 흉통, 호흡곤란 (3hr) |
Hx | 흡연력(40PY), 5년 전부터 COPD 치료중 |
S/Sx | 좌측 흉통(기침, 들숨 때 통증 심함), 호흡곤란 V/S 122/76 100 24 36.6, 왼쪽 가슴 호흡음 감소 |
Lab | |
Img | CXR: 좌측 폐 pleural line CT: 좌측 기흉 |
Etc |
Imp: 이차성 자발성 기흉(secondary spontaneous pneumothorax, SSP)
해설
COPD 등 기저질환에 의해 발생한 이차성 기흉이므로 가슴관 삽입을 시행한다.
• 65세 남자가 3시간 전부터 지속된 흉통과 호흡곤란으로 내원하였다.
• 급성 좌측 흉통(들숨 때 통증 심함)과 호흡곤란 증세, 그리고 왼쪽 가슴의 호흡음 감소로 보아 기흉이 의심된다.
• CXR과 CT에서 lung collapse, distal vascular marking의 소실이 확인되므로 기흉으로 진단한다.
• COPD 병력이 있으므로 이차성 기흉으로 생각할 수 있고, 이차성 기흉의 1차 치료는 가슴관 삽입이다.
Tip
기흉 정리 | |
위험요인 | • 일차성: 흡연, 남성 • 이차성: COPD • 의인성: 바늘생검, 흉막천자, 기계환기 • 외상 |
임상양상 | • 급성 흉통, 호흡곤란 • 호흡음 감소, 타진 시 과공명 |
검사소견 | • CXR: Pleural line 보임, vascular marking이 보이지 않음 |
일차성/의인성 기흉 치료 | • 안정 + 첫 기흉 + 증상 경함: 경과관찰 (+ O2) • 재발성 or 불안정: 흉관 삽입 |
이차성/외상성 기흉 치료 | • 흉관 삽입 |
긴장성 기흉 | • V/S unstable • CXR: Mediastinal shift • 즉각적인 바늘 감압 → 이후 흉관 삽입 |
관련 이론
• 기흉
Reference
• Harrison 21e, p.2200
• Murray & Nadel 7e, pp.1539-1550