36번
[MD20]
0
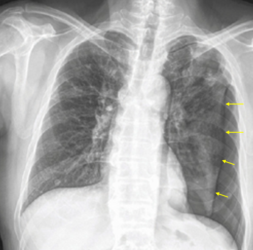
62세 남자가 2일 전부터 숨이 차고 가슴이 아파서 병원에 왔다. 걸으면 숨이 더 찼고, 숨을 깊게 들이마시거나 기침을 하면 왼쪽 가슴이 더 아팠다. 20년 전 결핵치료를 받았다. 15갑·년 과거 흡연자이다. 혈압 120/74mmHg, 맥박 90회/분, 호흡 24회/분, 체온 36.0℃이다. 가슴 청진에서 심음은 정상이나, 왼쪽 호흡음은 잘 들리지 않는다. 가슴 X선 사진이다. 혈액검사 결과는 다음과 같다. 가능성이 큰 진단을 고르시오 (한 가지).
혈색소 14.5 g/dL, 백혈구 8,900/mm3 (중성구 62%, 림프구 35%)

정답률 95%
누적 풀이 횟수 600+
평균 풀이 시간39초
/
나의 풀이 시간0초
CC | M/62, 흉통, 호흡곤란 (2d) |
Hx | 20년 전 결핵 치료, 과거 흡연력(15PY) |
S/Sx | 좌측 흉통(심호흡, 기침히 악화), 호흡곤란(운동시 악화) V/S 120/74 90 24 36, 왼쪽 가슴 호흡음 감소 |
Lab | 특이 소견 없음 |
Img | CXR: 좌측 폐 pleural line |
Etc |
Imp: 이차성 자발성 기흉(secondary spontaneous pneumothorax, SSP)
해설
• 62세 남자가 2일 전부터 지속된 흉통과 호흡곤란으로 내원하였다.
• 급성 좌측 흉통(들숨 때 통증 심함)과 호흡곤란, 그리고 왼쪽 가슴의 호흡음 감소에서 기흉이 의심된다.
• CXR에서 좌측 폐에 pleural line이 보이므로 기흉으로 진단할 수 있다.
Tip
• 이전의 폐결핵 치료력으로 인해 있었던 폐병변에서 기흉이 발생되었을 가능성이 높으므로 SSP로 분류할 수 있다.
기흉 정리 | |
위험요인 | • 일차성: 흡연, 남성 • 이차성: COPD • 의인성: 바늘생검, 흉막천자, 기계환기 • 외상 |
임상양상 | • 급성 흉통, 호흡곤란 • 호흡음 감소, 타진 시 과공명 |
검사소견 | • CXR: Pleural line 보임, vascular marking이 보이지 않음 |
일차성/의인성 기흉 치료 | • 안정 + 첫 기흉 + 증상 경함: 경과관찰 (+ O2) • 재발성 or 불안정: 흉관 삽입 |
이차성/외상성 기흉 치료 | • 흉관 삽입 |
긴장성 기흉 | • V/S unstable • CXR: Mediastinal shift • 즉각적인 바늘 감압 → 이후 흉관 삽입 |
관련 이론
• 기흉
Reference
• Harrison 21e, p.2200
• Murray & Nadel 7e, pp.1539-1550