구토

/

109

/

109

104번

[임종평24-1]

0

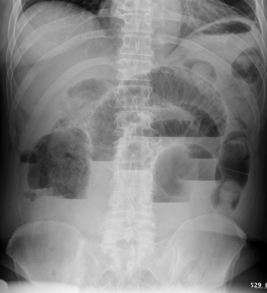
64세 여자가 1일 전부터 토하고 배가 아파서 병원에 왔다. 통증은 주기적으로 쥐어짜는 듯하다고 한다. 10년 전에 위암으로 수술을 받았다. 혈압 123/81 mmHg, 맥박 82회/분, 호흡 20회/분, 체온 37.3 ℃이다. 배는 불러 있고 장음은 증가되어 있으며 배꼽 주위에 경미한 압통이 있다. 혈액검사 결과는 다음과 같다. 복부 X선사진이다. 처치는?

백혈구 13,800/mm3, 혈색소 10.2 g/dL, 혈소판 182,000/mm3

총단백질 5.2 g/dL, 알부민 3.2 g/dL

아스파트산아미노기전달효소 41 U/L

알라닌아미노기전달효소 39 U/L

감마글루타밀전달효소 55 U/L

총빌리루빈 0.8 mg/dL, 직접빌리루빈 0.2 mg/dL

C반응단백질 32 mg/L (참고치, <10)

정답률 70%

누적 풀이 횟수 2,400+

평균 풀이 시간32초

/

나의 풀이 시간0

CC

F/64, 구토/복통(1d)

Hx

10년 전: Gastric cancer s/p op

S/Sx

복통: 주기적, 쥐어짜는 양상

V/S 123/81 82 20 37.3, abdominal distension, increased bowel sound, periumbilical dT(+)

Lab

WBC↑, CRP↑

Img

AXR: Step-ladder sign

Etc

Imp: 소장 폐쇄(small bowel obstruction)

해설

복부 수술력, 복통/복부팽만/구토, AXR상 step-ladder sign으로 보아 소장 폐쇄 진단 하, 교액의 징후가 명확하지 않으므로 코위관 삽입을 통한 감압 및 보존적 치료를 시행한다.

• 64세 여자가 1일 전 시작된 구토 및 복통을 주호소로 내원했다.

• 주기적으로 쥐어짜는 양상인데, 복부팽만과 장음 증가가 동반되어 있다. 복부 수술력이 있으므로 adhesion에 의한 장폐색을 의심해보아야 한다.

• AXR상 step-ladder sign이 확인되므로 소장 폐쇄로 진단할 수 있다. 경미한 periumbilical dT와 mild leukocytosis 및 CRP elevation이 존재하나, rT가 존재한다고 주어지지 않았으며 발열이 없고 기타 V/S이 안정적이므로 교액(strangulation)이 발생했다고 보기 어렵다.

• 따라서 보존적 치료를 시행하며, 코위관 삽입을 통한 감압을 시행해야 한다.

Tip

분류

Mechanical obstruction

Paralytic ileus

복통

경련성 복통

대부분 없음/약함

장음

처음에는 증가 → 나중에 감소/사라짐

처음부터 감소/없음

치료

수액 투여

비위관 삽입 및 감압

완전폐쇄 or 교액시 수술

대부분 수술 없이 원인 치료

오답 선지

• 응급 개복술: 반발압통, 발열, V/S instability 등 교액 및 복막염 등을 시사하는 징후가 존재할 경우 시행한다.

• 직장관 삽입: 본 증례의 AXR은 소장 폐쇄를 시사한다. Sigmoid volvulus 등 대장 폐쇄 중 anus와 가까운 경우 직장관 삽입을 시도할 수 있다.

• 내시경 감압술: 코위관 삽입이 실패하거나 감압이 불충분할 경우 고려할 수 있다.

• 경피적 배액술: 농양, 담즙 등을 배액하기 위해 사용되며, 본 증례와는 관련이 없다.

관련 이론

장폐색

Reference

• Sabiston 21e, pp.1250-1258