변비

/

58

/

58

43번

[MD25]

0

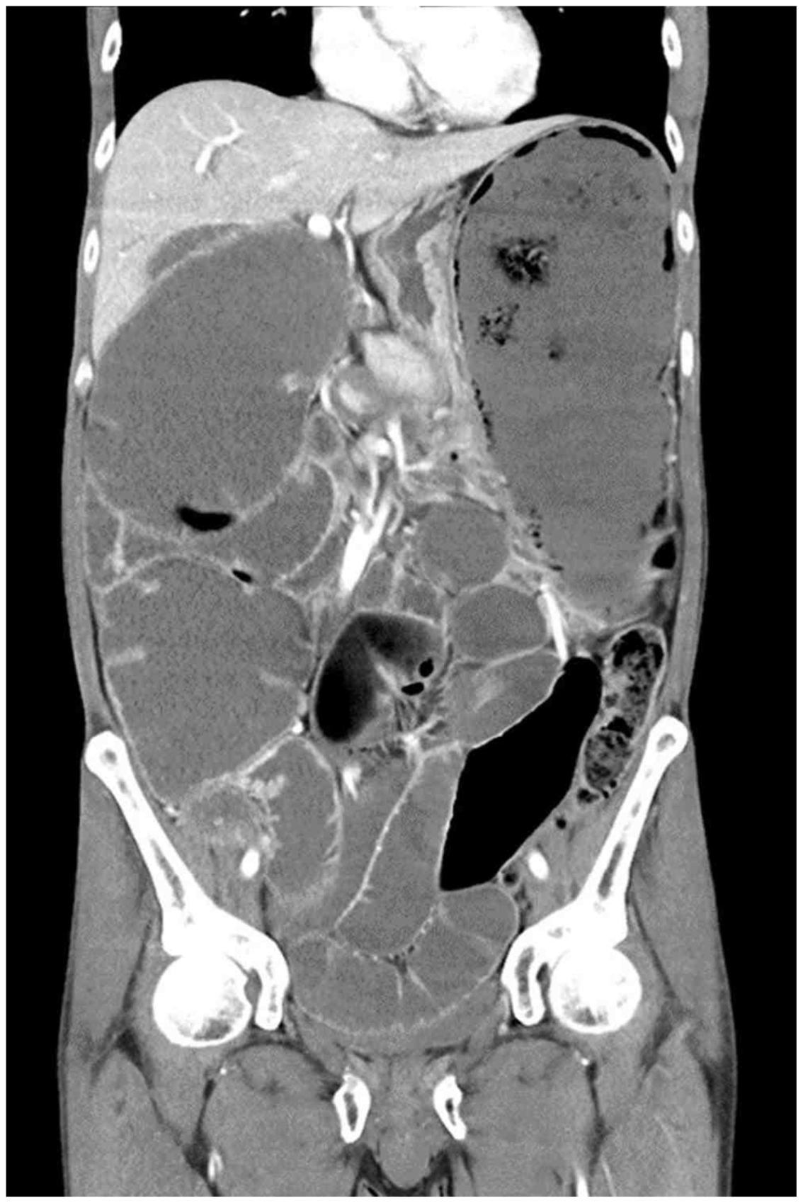
55세 남자가 변을 못 본다고 병원에 왔다. 1년 전부터 1개월에 3~ 4회 변을 본다고 한다. 6개월 전에 받은 검진 위내시경술과 대장내시경술에서 이상은 없었다고 한다. 혈압 110/90 mmHg, 맥박 90회/분, 호흡 18회/분, 체온 36.6°C이다. 배는 팽만하고, 배에 압통이나 반동압통은 없다. 복부 컴퓨터단층촬영 사진과 구불결장내시경술 사진이다. 진단은?

정답률 70%

누적 풀이 횟수 2,300+

평균 풀이 시간46초

/

나의 풀이 시간0

CC

M/55, 변비

Hx

6개월 전 EGD/colono: No abnormal findings

S/Sx

1개월에 3-4회 변을 봄(1y)

V/S 110/90 90 18 36.6, abdominal distension, dT/rT(-/-)

Lab

Img

CT: Colon distension, cut-off sign

Etc

Sigmoidoscopy: No specific findings

Imp: 장거짓폐쇄(intestinal pseudo-obstruction)

해설

만성적인 변비를 호소하는 환자의 복부 CT상 장폐쇄가 의심되지만, sigmoidoscopy상 특별한 이상소견이 관찰되지 않으므로 장거짓폐쇄가 가장 의심된다.

• 55세 남자가 변비를 주호소로 내원했다.

1년 전 부터 1개월에 3-4회 변을 보았다고 한다. 복부팽만이 동반되었으나, 복부 압통/반발압통은 확인되지 않는다.

6개월 전 시행한 위내시경 및 대장내시경상 이상소견이 없었으므로 기질적 질환의 가능성은 낮다고 생각된다.

• 원인 확인을 위해 시행한 복부 CT상 colon distension이 관찰되며, sigmoid colon 근처에서 cut-off sign(대장이 확장된 부위와 정상적인 부위 사이의 경계)이 관찰되므로 장폐쇄가 의심된다.

• 장폐쇄를 유발한 원인을 확인하기 위해 추가적으로 시행한 sigmoidscopy상 기계적 폐쇄를 유발할만한 이상소견이 관찰되지 않는다.

• 만성적인 변비를 호소하는 환자의 복부 CT상 장폐쇄가 의심되지만, sigmoidoscopy상 특별한 이상소견이 없으므로 장거짓폐쇄(intestinal pseudo-obstruction)를 의심할 수 있다.

Tip

• 장거짓폐쇄(가성 장폐색)는 위 환자와 같이 '장내 병변이 없는 장폐색 증상'이 나타나는 경우 의심할 수 있다. 장거짓폐쇄는 원발성 장거짓폐쇄와 이차성 장거짓폐쇄로 분류 가능한데 원발성 장거짓폐쇄는 근질환이나 신경질환 또는 유전적 원인에 의해 유발된다고 알려져있다. 반면 이차성 장거짓폐쇄는 파킨슨병, Hirschsprung disease 등의 질환에 의해 발생하며, 해당 원인 질환에 대한 치료를 통해 장거짓폐쇄도 치료한다.

오답 선지

• 대장암: 구불창자내시경상 대장암을 의심할만한 병변이 확인되지 않으므로 대장암의 가능성은 낮다.

• 대변매복(fecal impaction): 변비가 장기화되어 직장에 대변이 돌처럼 굳어있는 상태를 의미한다. 구불창자내시경상 대변매복이 관찰되지 않으므로 가능성은 낮다.

• 항문근실조증: 항문괄약근과 골반저근육 사이의 coordination이 제대로 이루어지지 않는 골반저기능장애 질환 중 하나이다. 항문근실조증 또한 만성적인 변비를 유발할 수 있으나, 항문근실조증에 의해 증상이 발생했다면 CT상 직장/항문에 대변정체 소견이 있었을 것이다. 현재 복부 CT상 sigmoid colon 윗 부분에서 cut-off sign이 관찰되므로 항문근실조증의 가능성은 낮다고 생각된다.

• 독성거대결장증: 염증성 장질환 또는 감염성 장질환의 합병증으로 발생할 수 있다. 본 증례는 염증성 장질환의 과거력이 없으며 CT 소견 상 haustra의 소실도 보이지 않으므로 독성거대결장증에 부합하지 않는다.

관련 이론

급성 장폐색

Reference

• Harrison 21e, pp.2508-2512