15번
[MD21]
0
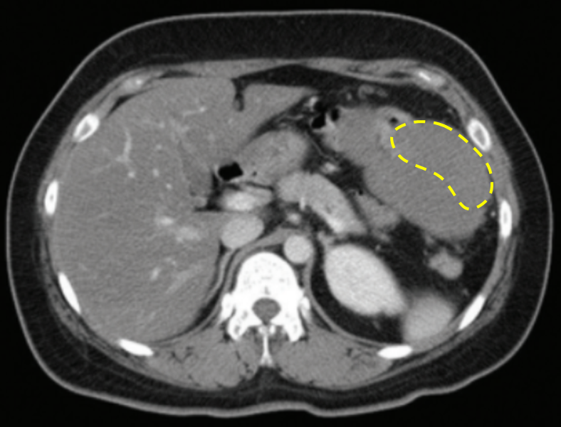
29세 여자가 1주일 전에 우연히 배에서 덩이가 만져져서 병원에 왔다. 혈압 120/80 mmHg, 맥박 72회/분, 호흡 20회/분, 체온 36.7°C이다. 왼쪽 윗배에서 주먹 크기의 단단한 덩이가 만져지고, 압통은 있으나 반동압통은 없다. 혈액검사 결과는 다음과 같다. 복부 컴퓨터단층촬영 사진 및 대장 내시경 사진이다. 진단은?
혈색소 12.0 g/dL, 백혈구 8,500/mm3, 혈소판 280,000/mm3, 암배아항원 2.9 ng/mL (참고치, <5), CA 19-9 13.1 U/mL (참고치, <37)


정답률 66%
누적 풀이 횟수 1,000+
평균 풀이 시간58초
/
나의 풀이 시간0초
CC | F/29, 복부덩이(1wk) |
Hx | |
S/Sx | 왼쪽 윗배에서 주먹 크기의 단단한 덩이, DT/RT(+/-) |
Lab | 암배아항원, CA 19-9 WNL |
Img | Abdomen CT- large size mass, 림프절 전이(-), 주변장기침범(-) 대장내시경 - normal |
Etc |
Imp: 위장관기질종양(gastrointestinal stromal tumor, GIST)
해설
• 일주일 전부터 우연히 왼쪽 윗배에 덩이가 만져져 내원한 29세 여성이다.
• Lab상에서 CEA, CA 19-9 모두 정상이므로 선지중 기형종, 이자장액낭샘종, 잘록창자샘암종 배제 가능하다.
• CT만으로는 진단이 어려우나, 다른 선지 모두 배제 가능하고, 큰 size의 mass가 보이므로 위창자기질종양일 가능성이 높다.
• 정확한 진단을 위해 EGD를 시행하여 large submucosal tumor을 확인하고, biopsy를 통해 확진할 수 있을 것이다.
Tip
• GIST의 tumor marker는 c-Kit, CD34이다.
GIST 정리 | |
임상양상 | • 무증상 → 소화불량, 복통, 복부덩이 |
진단 | • EGD: Lumen 쪽으로 돌출된, 표면이 매끈한 덩이 (+ 궤양) • EUS, CT로 병기 설정 |
치료 | • 수술: 쐐기절제술, 위절제술 등 • 수술 전후 항암치료: Imatinib, avapritinib 등 - 적응증: 크기 > 5 cm, mitotic index > 5개/50HPF 등 |
오답 선지
• 기형종: tumor marker가 CA 19-9인데, 정상이므로 가능성이 낮다.
• 지라 비대: 복부 CT에서 지라비대는 보이지 않는다.
• 이자장액낭샘종: marker가 CEA, CA 19-9, CA 125, CA 15-3 인데 CEA와 CA19-9 정상이므로 가능성이 낮다.
• 잘록창자샘암종: Tumor marker가 CEA인데, 정상이므로 가능성이 낮다.
관련 이론
• 위장관기질종양
Reference
• Sabiston 21e, pp.1232-1233