3번
[MD23]
0
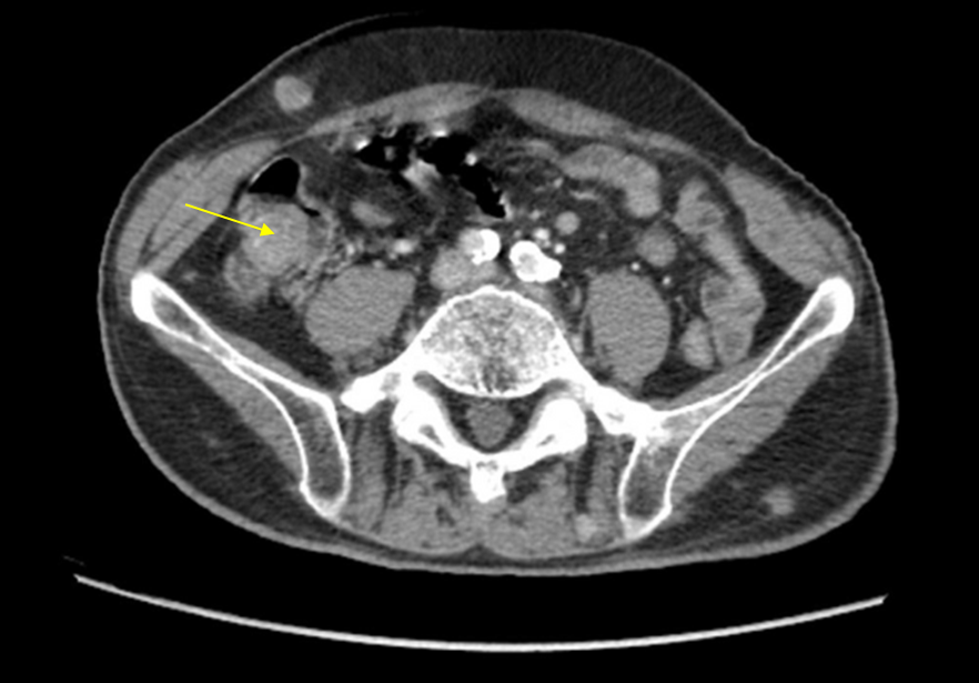
75세 남자가 1개월 전부터 배꼽 주위에서 덩이가 만져진다고 병원에 왔다. 변은 매일 보나, 1주일에 1~2번 간헐적으로 수 시간 동안 오른쪽 아랫배가 아프다고 한다. 혈압 140/80 mmHg, 맥박 98회/분, 호흡 20회/분, 체온 36.5℃이다. 배 청진에서 장음은 증가되어 들리고, 오른쪽 아랫배에 압통은 있으나 반동압통은 없다. 왼쪽 배꼽 위에서 단단하고 고정된 매끄러운 덩이가 2.5 cm 크기로 만져진다. 혈액검사 결과는 다음과 같다. 복부 컴퓨터단층촬영 사진이다. 검사는?
혈색소 10.2 g/dL, 백혈구 12,600/mm3, 혈소판 298,000/mm3
총단백질 6.2 g/dL, 알부민 3.2 g/dL, 총빌리루빈 0.7 mg/dL
아스파트산아미노기전달효소 32 U/L
알라닌아미노기전달효소 13 U/L
알칼리성인산염분해효소 143 U/L
젖산탈수소효소 457 U/L
암배아항원 9.3 ng/mL (참고치, <5)
CA 19-9 52.8 U/mL (참고치, <37)


정답률 76%
누적 풀이 횟수 1,900+
평균 풀이 시간63초
/
나의 풀이 시간0초
CC | M/75, 복부덩이(1m, periumbilical) |
Hx | |
S/Sx | 복통: RLQ, 주 1~2회, 간헐적 V/S 140/80 98 20 36.5, RLQ dT/rT(+/-) Mass(Lt. periumbilical, 2.5cm, hard, fixed, smooth) |
Lab | WBC↑, LDH↑, CEA↑, CA19-9↑ |
Img | CT1: Subcutaneous nodule CT2: Colon mass, extending to peritoneum |
Etc |
Imp: 대장암(colorectal cancer)
해설
종양표지자 상승, Sister Mary Joseph node로 추정되는 진찰소견, CT상 보이는 colon mass로 보아 대장암 의심 하, 진단 및 생검을 위해 대장내시경을 시행한다.
• 75세 남자가 1개월 전 발견된 복부덩이를 주호소로 내원했다.
• 왼쪽 배꼽 주변에 2.5 cm 크기의 덩이가 있다. 단단하고 고정되어 있다는 점에서 악성 종양의 전이에 의한 덩이일 가능성을 고려해야 한다. 위와 같은 특징을 보이는 nodule을 Sister Mary Joseph nodule이라고 부르며, 소화기의 악성 종양의 전이를 시사한다.
• 복부덩이와는 별개로 RLQ 통증을 호소하는데, CT상 해당 부위에 colon mass가 확인되며, 이 mass의 끝부분이 peritoneum 쪽으로 퍼져 있는 양상이 보인다.
• 종양표지자인 CEA와 CA 19-9가 상승되어 있으므로 대장암의 가능성이 높다.
• 이를 육안적으로 확인하고 조직검사를 통해 확진 및 치료계획 수립을 위해 대장내시경을 시행해야 한다.
Tip
대장암 정리 | |
임상양상 | • 변비, 혈변, 복부덩이, 체중감소 등 |
진단 | • DRE(직장선반 촉진시 전이성 직장암) → 대장내시경 • 병기 설정: CT, MRI, PET, EUS 등 |
치료 | • 대장 용종: EMR/ESD → submucosa 1/3 이상 침범시 수술 • Stage I(≤ 근육층): 수술 • Stage II~III(원격전이 없음) - 결장암: 수술 (+ adj. CTx) / 직장암: Neoadj. CCRT + 수술 • Stage IV(원격전이): 항암치료 - 간/폐 단일 병변시 수술적 절제 가능 - 장폐색시 stent 삽입, 고식적 수술 |
오답 선지
• 캡슐내시경술: 소장의 내부를 보기 위한 검사다.
• 복부초음파검사: 간담도계의 암과는 다르게 대장암의 진단은 1차적으로 대장내시경이 사용된다.
• 자기공명담췌관조영(magnetic resonance cholangiopancreatography, MRCP): 담도암, 췌장암 등을 평가하고 담도의 해부학적 이상을 확인하기 위한 검사다.
• 99m테크네튬-DISIDA 스캔: 담도계의 이상을 확인하기 위한 검사다.
관련 이론
• 대장암
Reference
• Harrison 21e, pp.636-643