42번
[MD24]
0
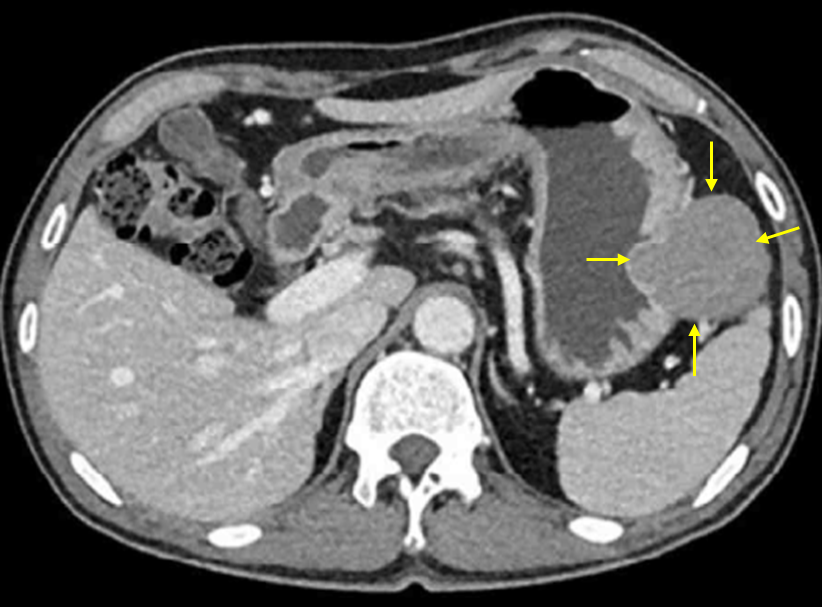
47세 남자가 2개월 전부터 소화가 잘 되지 않는다며 병원에 왔다. 평소 건강하여 위내시경 검사를 받아본 적이 없다고 한다. 혈압 120/80 mmHg, 맥박 90회/분, 호흡 18회/분, 체온 36.5°C 이다. 배는 부드러우며, 압통이나 반동압통은 없다. 혈액검사 결과는 다음과 같다. 위내시경술 사진과 복부 컴퓨터 단층촬영 사진이다. 위 생검에서 만성염증이 관찰 되었다. 치료는?
혈색소 11.0 g/dL, 백혈구 9,000/mm3, 혈소판 156,000/mm3


정답률 75%
누적 풀이 횟수 1,900+
평균 풀이 시간31초
/
나의 풀이 시간0초
CC | M/47, 소화불량(2m) |
Hx | |
S/Sx | V/S 120/80 90 18 36.5, dT/rT(-/-) |
Lab | Hb↓ |
Img | CT: Gastric mass at submucosal layer |
Etc | EGD: Gastric mass with smooth mucosal surface Stomach biopsy: Chronic inflammation |
Imp: 위장관기질종양(gastrointestinal stromal tumor, GIST)
해설
Stomach mass가 있으나 매끈한 mucosal surface가 확인되며 CT상 submucosal area에 있는 것이 확인되므로 GIST 진단 하, wedge resection을 시행한다.
• 47세 남자가 2개월 전 시작된 소화불량을 주호소로 내원했다.
• 이외 증상이나 PEx상 특이사항은 확인되지 않는다.
• EGD상 stomach 내부로 protrusion된 mass가 확인되나, 일반적인 gastric adenocarcinoma처럼 ulcerative 병변보다는 round, smooth한 mucosal surface를 갖는 병변이 확인된다. 이는 GIST를 시사한다.
• CT상에서도 greater curvature에 submucosal area에서 기원하는 것처럼 보이는 tumor가 확인되고, 이 또한 GIST를 시사한다.
• GIST의 TOC는 wedge resection이다.
오답 선지
• 내시경점막밑박리(endoscopic submucosal dissection, ESD): Early gastric cancer 중 적응증을 만족하는 경우에 한해서 시행하는 내시경적 시술이다. Gastric adenocarcinoma에만 해당한다.
• 위소매절제(sleeve gastrectomy): 위 부피를 줄이기 위한 bariatric surgery의 술식이다.
• 먼쪽위절제(distal gastrectomy): Gastric adenocarcinoma가 resectable하면서 distal 2/3에 있을 경우 시행하는 술식이다.
• 전체위절제(total gastrectomy): Gastric adenocarcinoma가 resectable하면서 proximal 1/3에 있을 경우 시행하는 술식이다.
관련 이론
• 위장관기질종양
Reference
• Sabiston 21e, pp.1232-1233