사지통증

/

67

/

67

49번

[MD25]

0

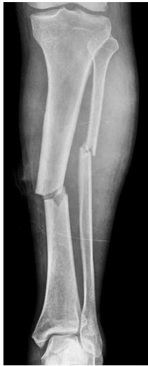
22세 남자가 1시간 전에 오토바이를 타고 가다가 택시에 부딪힌 후 응급실에 왔다. 왼쪽 다리가 아프다고 한다. 혈압 90/65 mmHg, 맥박 110회/분, 호흡 19회/분, 체온 37.1°C이다. 의식은 명료하다. 왼쪽 다리 X선사진이다. 왼쪽 다리를 부목으로 고정하였다. 4시간 후에 왼쪽 종아리 부위가 심하게 붓고 극심한 통증을 호소하여 진통제를 투여 하였으나 통증은 더 심해졌다. 왼쪽 발등동맥 맥박이 잘 만져지지 않는다. 혈액검사 결과는 다음과 같다. 치료는?

혈색소 11.5 g/dL, 백혈구 13,900/mm3

혈소판 260,000/mm3

아스파트산아미노기전달효소 80 U/L

알라닌아미노기전달효소 45 U/L

크레아틴인산화효소 500 U/L

근색소 3,500 µg/L ( 참고치, 20 ~ 71 )

정답률 96%

누적 풀이 횟수 1,200+

평균 풀이 시간25초

/

나의 풀이 시간0

CC

M/22, 외상 후 왼쪽 다리 통증(1h)

Hx

S/Sx

왼쪽 다리 부목 고정 후 붓고 심한 통증 호소

V/S 90/65 110 19 37.1, Lt. dorsalis pedis pulse(-)

Lab

Hb↓, WBC↑, AST↑, ALT↑, CK↑, myoglobin↑

Img

Lt. leg X-ray: Tibia/fibula shaft fracture

Etc

Imp: 구획증후군(compartment syndrome)

해설

외상 후 pain, pulselessness가 확인되므로 급성 구획증후군 의심 하 치료를 위해 근막절개술을 시행한다.

• 22세 남자가 외상왼쪽 다리 통증을 주호소로 응급실에 내원하였다.

• Lt. leg X-ray에서 tibia/fibula shaft fracture가 확인된다.

• 왼쪽 다리 부목 고정 4시간 후에 왼쪽 종아리가 심하게 붓고 극심한 통증을 호소하며 왼쪽 발등동맥 맥박이 잘 만져지지 않으므로 fracture과 관련된 합병증 중 구획증후군이 유력하다.

• 구획증후군에서 구획내 조직으로의 관류를 회복시키기 위해 즉각적인 근막절개술을 시행한다.

Tip

• 외상으로 인해 근육이 손상되면 근섬유의 CK와 myoglobin이 유출되므로 혈액검사에서 CK와 myoglobin이 증가한다.

• AST는 hepatocyte cytosol 외 mitochondria에도 존재하는 물질로 간질환에 ALT보다 덜 specific한 물질이다. 본 증례에서는 외상으로 인한 근육 손상으로 mitochondria가 파괴되어서 ALT보다 AST가 현저히 상승한 것이다.

오답 선지

• 공기압박(pneumatic compression): 깊은정맥혈전증 예방을 위해 고려할 수 있는 방법으로 구획증후군 치료로는 부적절하다.

• 혈전용해제: 급성사지허혈의 revascularization을 위해 시행을 고려하는 방법 중 하나로 구획증후군 치료로는 부적절하다.

• 저분자량헤파린: 혈전 재발이나 진행을 방지하기 위해 투여하는 항응고제로 구획증후군 치료로는 부적절하다.

• 혈관풍선확장술: 만성 말초동맥질환의 치료법 중 하나로 구획증후군 치료로는 부적절하다.

관련 이론

급성 구획 증후군

Reference

정형외과학 8판, pp.768~771, 1526-1528