고혈압

/

76

/

76

61번

[MD25]

0

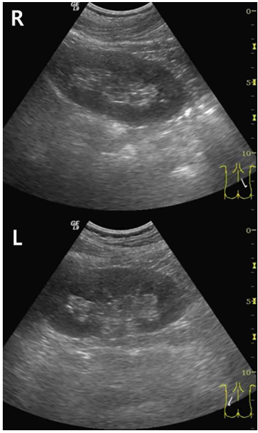
28세 남자가 혈압이 높고 소변검사에서 이상이 있다고 했다며 병원에 왔다. 1년 전에 받은 건강검진에서 혈압은 정상이었다고 한다. 혈압 146/90 mmHg, 맥박 65회/분, 호흡 17회/분, 체온 36.5℃이다. 검사 결과는 다음과 같다. 신장 초음파 사진이다. 진단은?

혈액: 혈색소 14.5 g/dL, 백혈구 8,000/mm3

혈소판 350,000/mm3

혈액요소질소/크레아티닌 25/1.6 mg/dL

Na+/K+/CI- 138/3.8/98 meq/L

총단백질/ 알부민 7.5/3.8 g/dL

알도스테론 2.6 ng/dL (참고치, <16)

혈장레닌활성도 1.3 ng/mL/시간 (참고치, 0.3 ~ 3.0)

소변: 비중 1.020, 단백질 (2+), 잠혈 (2+), 적혈구 10~29/고배율시야 단백질/ 크레아티닌 비 1,800 mg/g

정답률 68%

누적 풀이 횟수 2,600+

평균 풀이 시간68초

/

나의 풀이 시간0

CC

M/28, 고혈압/소변검사 이상

Hx

1년 전: Normal BP

S/Sx

V/S 146/90 65 17 36.5

Lab

BUN/Cr↑

U/A: Protein (2+), blood (2+), RBC 10~29/HPF, UPCR 1,800mg/g

Img

US: No renal mass, no definite kidney atrophy, normal corticomedullary differentiation

Etc


Imp: 급성 신염증후군(acute nephritic syndrome)

해설

혈뇨, 단백뇨, 고혈압, 신기능 저하 등이 동반되었으므로 급성 신염증후군, 즉 사구체신염의 가능성이 가장 높다.

• 28세 남자가 고혈압소변검사 이상으로 내원하였다.

• 1년 전 건강검진에서는 혈압이 정상이었으나, 현재는 146/90mmHg로 고혈압 진단 기준에 부합한다. 젊은 사람에게서 갑작스럽게 생긴 고혈압은 다른 원인이 있는 이차성 고혈압을 시사하는 소견이다.

• 이차성 고혈압 중 가장 흔한 원인이 renal origin인데 소변 검사에서 hematuria, proteinuria가 나타났다. 단백뇨 정량검사 결과 1,800mg/g로 이는 severely increased albuminuria에 해당한다.

• 또한 현미경적 혈뇨도 보이는데, 단백뇨가 동반되었으므로 사구체형 혈뇨(glomerular hematuria)일 가능성이 높다. BUN/Cr elevation도 renal parenchymal disease를 시사하는 소견이다.

• 사구체신염 중 혈뇨, nephrotic range 미만의 단백뇨, 고혈압, 비교적 정상 수준의 알부민은 급성 신염증후군(acute nephritic syndrome)을 시사한다.

• 따라서 진단은 사구체신염이다.

Tip

사구체성 vs 비사구체성 혈뇨

Nephrotic vs Nephritic syndrome

오답 선지

• 본태고혈압(essential hypertension): 일차성 고혈압과 같은 말이며, 기저 질환이 없던 젊은 환자에게서 갑작스럽게 생긴 고혈압은 이차성 고혈압을 시사한다. 본 환자에게서는 신장 원인으로 발생한 고혈압일 가능성이 높다.

• 악성고혈압(malignant hypertension): 심하게 상승한 혈압에 의해 장기의 손상이 나타난 경우를 일컫는다. 본 환자의 경우 고혈압 진단 기준의 borderline에 가까운 1기 고혈압이며, 장기 손상의 증거가 나타나지 않으므로 악성고혈압으로 진단할 수 없다.

• 신장혈관고혈압(renovascular hypertension): 콩팥 기능 장애 없이, 신혈관 협착으로 인한 고혈압을 일컫는다. 신혈관 협착이 나타나므로 secondary hyperaldosteronism이 나타나며, renin과 aldosterone이 높아진다. 본 증례에서 renin과 aldosterone이 정상이므로 배제할 수 있다.

• 일차알도스테론증(primary aldosteronism): 저칼륨혈증을 동반한 고혈압이 나타난 경우 의심할 수 있다. 스크리닝 검사로 plasma aldosterone > 15ng/dL이면서 ARR(aldosterone/renin ratio)>30이면 primary aldosteronism을 의심할 수 있다. 본 증례에서는 aldosterone이 정상이며, ARR도 2.0으로 정상범위이며 hypokalemia도 나타나지 않으므로 primary aldosteronism일 가능성은 작다.

관련 이론

급성 신염증후군

고혈압

Reference

Harrison 21e, pp.2072-2087, 2331-2341