263번
[MD24]
0
70세 남자가 2일 전부터 열이 나고 기운이 없다며 병원에 왔다. 15년 전부터 혈압강하제와 경구 혈당강하제를 복용 중이다. 혈압 80/60 mmHg, 맥박 115회/분, 호흡 23회/분, 체온 38.8℃이다. 의식은 약간 혼미하다. 오른쪽 윗배에 압통은 있으나 반동압통은 없다. 갈비척추각 압통은 없다. 검사 결과는 다음과 같다. 복부 컴퓨터단층촬영 사진이다. 진단은?
혈액: 혈색소 11.6g/dL, 백혈구 25,400/mm3 , 혈소판 72,000/mm3
C반응단백질 215 mg/L (참고치, <10)
총빌리루빈 5.58 mg/dL, 직접빌리루빈 4.78 mg/dL
알칼리성인산염분해효소 215 U/L
아스파트산아미노기전달효소 185 U/L
알라닌아미노기전달효소 172 U/L
동맥혈기체(대기호흡): pH 7.21, PaCO2 32.9 mmHg,
PaO2 90 mmHg, HCO3- 16.8 mmol/L
젖산 4.2 mmol/L (참고치, 0.5~2.2)
소변: 비중 1.043, 적혈구 0∼2/고배율시야, 백혈구 0∼2/고배율시야

정답률 96%
누적 풀이 횟수 2,000+
평균 풀이 시간53초
/
나의 풀이 시간0초
CC | M/70, 발열/피로(2d) |
Hx | HTN, DM on med(15y) |
S/Sx | V/S 80/60 115 23 38.8, M/S drowsy~stupor, RUQ dT/rT(+/-) |
Lab | WBC↑, CRP↑, T/D.bil↑, AST/ALT↑ ABGA: pH↓, PaCO2↓, HCO3-↓, lactate↑ |
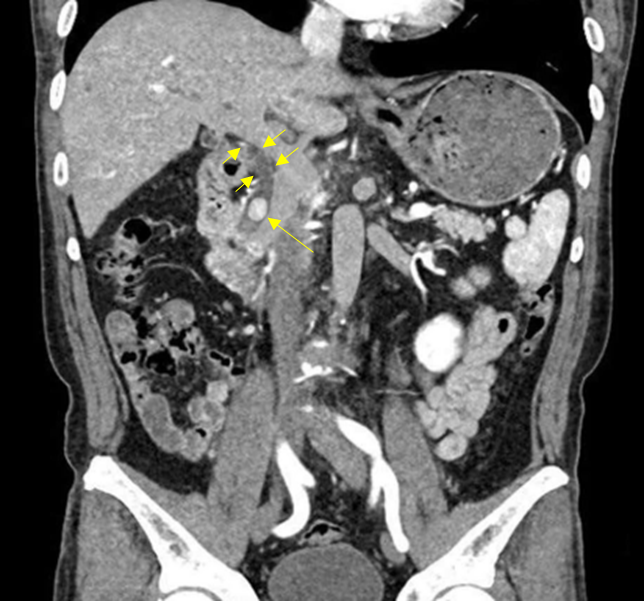
Img | CT: CBD stone with upstream biliary dilatation |
Etc |
Imp: 급성 담관염(acute cholangitis)
해설
Obstructive jaundice가 동반된 septic shock이 있으며 CT상 CBD stone 및 upstream CBD dilatation이 확인되므로 acute cholangitis로 진단한다.
• 70세 남자가 2일 전 시작된 발열 및 피로를 주호소로 내원했다.
• 발열이 있으며 의식저하, 즉 brain의 end-organ damage가 의심되므로 sepsis로 보이고, 빈맥/저혈압이 있고 lactate > 2 mmol/L이므로 septic shock으로 보인다. Leukocytosis, CRP elevation도 감염질환을 시사하며, ABGA상 확인되는 metabolic acidosis는 peripheral hypoperfusion에 의한 lactic acidosis가 원인일 것으로 보인다.
• RUQ dT가 있으므로 간담췌 관련 질환을 우선적으로 의심해볼 수 있다. Direct hyperbilirubinemia에 AST/ALT elevation이 있으므로 biliary obstruction 또는 liver injury가 의심된다.
• CT상 CBD stone이 확인되고, 그보다 upstream하게 bile duct dilatation이 저명하므로 acute cholangitis에 의한 septic shock으로 진단한다.
Tip
급성 담관염 정리 | |
원인 | • 총담관담석(m/c), 종양, 총담관낭 등 |
임상양상 | • RUQ~상복부 통증, 발열, 황달 |
검사소견 | • WBC/CRP↑, bilirubin/ALP/GGT↑ |
진단 | • US/CT: Bile duct dilatation, stone이 보일 수도 있음 • MRCP/ERCP: Proximal bile duct dilatation, filling defect 등 |
치료 | • 담도 감압술 - ERCP(ERBD, ENBD) - 1st line (담석의 경우 + EST + stone removal) - PTC(PTBD) • 원인 치료: 총담관담석의 경우 담낭절제술, 종양의 경우 암 치료 등 • 항생제 및 기타 보존적 치료 |
오답 선지
• 충수염(appendicitis): 주로 RLQ dT를 보이며, CT상 appendiceal thickening 및 wall edema를 보인다.
• 요관결석(ureter stone): Proximal ureter stone의 경우 RUQ dT를 나타낼 수도 있으나, 본 증례는 hematuria와 CVAT가 없으므로 ureter stone의 가능성으 다소 낮으며, CT상에서도 확인되지 않는다.
• 십이지장염(duodenitis): Duodenitis, 특히 ampulla of Vater에 발생하는 papillitis는 biliary obstruction 및 관련된 염증반응을 일으킬 수 있다. 그러나 본 증례의 경우 CT상 CBD stone이 명확히 관찰되므로 CBD stone cholangitis로 진단하는 것이 더 적절하다.
• 상행결장곁주머니염(ascending colon diverticulitis): 위치에 따라 RUQ dT를 유발할 수 있지만 본 증례에서 확인되는 biliary obstruction을 설명할 수 없다.
관련 이론
• 총담관담석증과 급성 담관염
Reference
• Harrison 21e, pp.2649-2650