의식저하/실신

/

174

/

174

138번

[MD25]

0

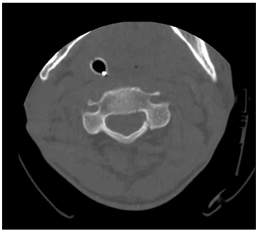
51세 남자가 1시간 전에 계단에서 넘어진 후 의식이 혼미해져 응급실로 왔다. 혈압 48/28 mmHg, 맥박 116회/분, 호흡 14회/분, 체온 36.7°C이다. 피부와 팔다리에 외상의 흔적은 없으며 복부 초음파검사에서 특이 소견은 없다. 검사 결과는 다음과 같다. 수액과 혈관수축제 투여 후 혈압이 안정되어 시행한 목 컴퓨터단층촬영 사진이다. 진단은?

혈액: 혈색소 14.6 g/dL, 백혈구 7,340/mm3

혈소판 168,000/mm3

동맥혈기체(대기호흡): pH 7.03, PaCO2 74.3 mmHg

PaO2 113.8 mmHg, HCO3 19.9 mmol/L

정답률 85%

누적 풀이 횟수 2,100+

평균 풀이 시간43초

/

나의 풀이 시간0

CC

M/51, 의식저하(1h)

Hx

S/Sx

V/S 48/28 116 14 36.7

Lab

ABGA: pH↓, PaCO2↑, HCO3

Img

CT: Cervical vertebra Lt. lamina fracture

FAST: No remarkable findings

Etc

Imp: 신경성 쇼크(neurogenic shock)

해설

정상적으로 조절되지 않는 혈압, 호흡 등 자율신경계 이상과 함께 경추의 lamina fracture를 확인했으므로 신경성 쇼크로 진단할 수 있다.

• 51세 남자가 1시간 전 계단에서 넘어진 후 발생한 의식 저하로 응급실에 내원하였다.

• 현재 환자의 혈압이 48/28mmHg으로 매우 낮으므로 쇼크를 강하게 의심해보아야 한다.

• 사지에 외상의 흔적이 없고 복부 초음파상 특이 소견이 없으며, 혈색소 수치가 참고치 이내이므로 복강내 출혈에 의한 저혈량성 쇼크는 배제할 수 있다.

Neck CT에서 경추의 Lt. lamina fracture가 확인되므로 척수 손상에 의해 증상이 발생한 것임을 알 수 있다. 특히 ABGA상 호흡성 산증 소견이 확인되는데, 이는 호흡 중추나 횡격막 신경이 위치한 C3-5 부위의 손상으로 인해 발생한 것으로 추정된다.

• 따라서 정상적으로 조절되지 않는 혈압, 호흡 등 자율신경계 이상과 함께 경추의 lamina fracture를 확인했으므로 신경성 쇼크를 진단할 수 있다.

Tip

• 신경성 쇼크에서는 반드시 심박수 감소가 동반되는 것은 아니며 보편적으로 합의된 혈역학적 안정성의 기준도 존재하지 않는다. 많은 연구에서 수축기 혈압 90 mmHg 미만, 심박수 80 bpm 미만을 기준으로 채택하고 있으므로 이를 참고하여 판단하는 것 정도가 타당해 보인다. 해리슨에서는 뇌 또는 척수 손상으로 인한 분배성 쇼크를 기술하며 자율신경계 이상으로 혈관 긴장도가 제대로 조절되지 않아 전신 혈관 저항이 감소하고, 이로 인해 사지에 혈액이 저류되면서 심박출량이 감소하는 현상 정도로 언급하고 있다. 따라서 국시 수준에서는 척수 손상의 증거와 함께 자율신경계 조절 이상(혈압, 호흡, 맥박 등)을 확인하여 신경성 쇼크를 선택하는 것으로 충분할 것으로 사료된다.

오답 선지

• 패혈쇼크: 정상 체온이고 감염의 증거가 없으므로 배제할 수 있다.

• 심장성쇼크: ACS, 심근염, 부정맥 등 심장성 요인에 의해 발생하며 폐부종 소견이 주로 확인되나, 증례에서는 해당 소견을 확인할 수 없다.

• 저혈량쇼크: 계단에서 넘어져서 생긴 의식 저하이므로 내부 장기 출혈을 의심해보는 것은 타당하나 혈색소 수치가 참고치 이내이고 복부 초음파에서 출혈의 증거가 없으므로 배제할 수 있다.

• 급성중증과민반응쇼크: 특정 물질에 의한 과민반응으로 유발되고 가려움증, 두드러기, 혈관부종 등을 동반한다.

관련 이론

쇼크

척수 손상

Reference

Harrison 21e, pp.2235-2241

Sabiston 21e, pp.49-75