피로

/

132

/

132

104번

[MD25]

0

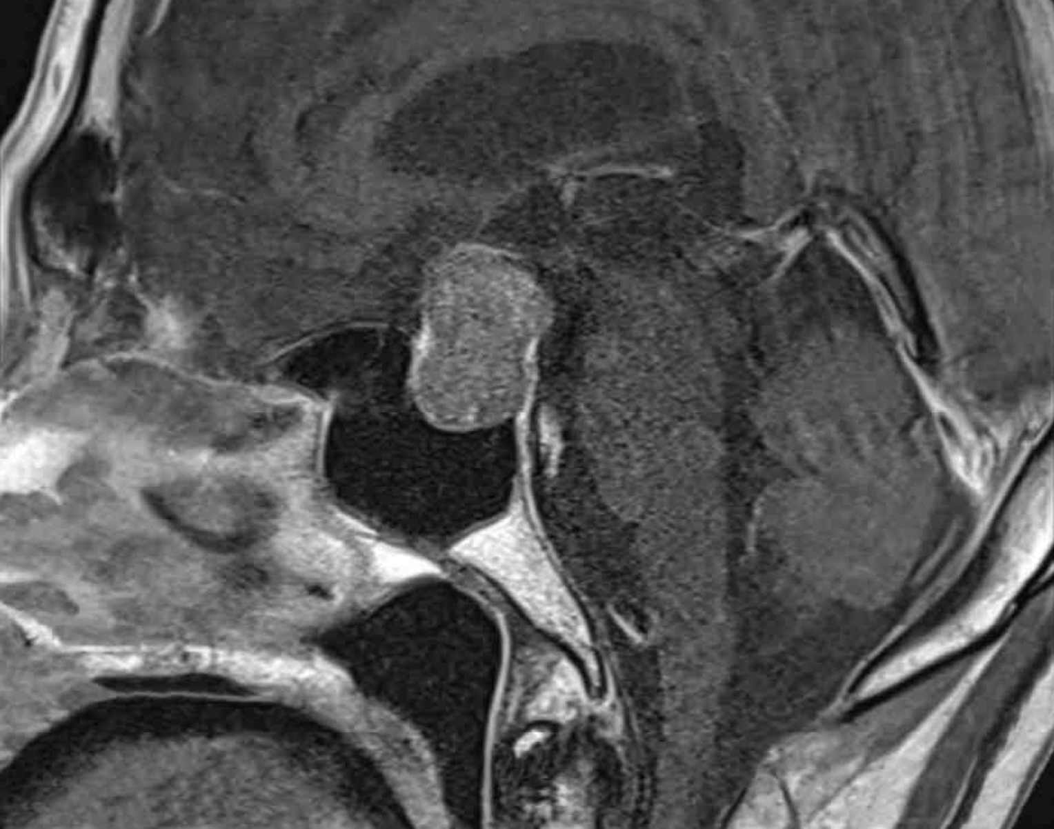
54세 남자가 1주 전부터 입맛이 없고 피곤하다며 병원에 왔다. 기저질환과 복용 중인 약물은 없다. 키 178cm, 몸무게 60kg, 혈압 80/50 mmHg, 맥박 98회/분, 호흡 20회/분, 체온 36.3℃이다. 액모와 음모가 보이지 않는다. 검사 결과는 다음과 같다. 안장 자기공명영상 사진이다. 치료는?

혈액:

혈액요소질소/크레아티닌 22.0/1.4 mg/dL

Na⁺/K⁺/Cl⁻ 122/4.4/90 meq/L

삼투질농도 245 mOsmol/kg H2O (참고치, 275 ~ 295)

부신피질자극호르몬 2.7 pg/mL (참고치, 6 ~ 76)

코티솔 0.7 μg/dL (참고치, 5 ~ 25)

갑상샘자극호르몬 1.71 mIU/L (참고치, 0.5 ~ 4.5)

유리 T4 0.8 ng/dL (참고치, 0.7 ~ 1.24)

프로락틴 1.3 ng/mL (참고치, 2.5 ~ 17)

총테스토스테론 88 ng/dL (참고치, 270 ~ 1,070)

인슐린유사성장인자-1 13.8 ng/mL (참고치, 116 ~ 358)

소변:

삼투질농도 610 mOsmol/kg H2O (참고치, 500 ~ 800)

정답률 44%

누적 풀이 횟수 2,600+

평균 풀이 시간55초

/

나의 풀이 시간0

CC

M/54, 식욕저하/피로(1w)

Hx

S/Sx

V/S 80/50 98 20 36.3, 178cm/60kg, absent axillary/pubic hair

Lab

Na+↓, serum osmolality↓

ACTH↓, cortisol↓, prolactin↓, testosterone↓, IGF-1↓

Img

Sella MRI: Pituitary mass

Etc

Imp: 뇌하수체 기능저하증(hypopituitarism), 비기능성뇌하수체종양(nonfunctioning pituitary adenoma, NFPA)

해설

여러 호르몬 결핍에 의한 증상과 검사소견을 보이고 sella MRI상 pituitary adenoma 확인되므로 NFPA에 의한 panhypopituitarism 진단하, 부족한 호르몬을 순서대로 보충하기 위해 glucocorticoid부터 투여한다.

• 54세 남자가 1주 전 시작된 식욕저하피로를 주호소로 내원했다.

• 전해질 검사 결과 저나트륨혈증을 보인다. 저나트륨혈증과 더불어 저혈압, 식욕저하, 액모와 음모가 없는 증상의 평가를 위해 호르몬을 검사한 결과, ACTH, cortisol, prolactin, testosterone, IGF-1 등의 감소 소견이 확인된다.

• Sella MRI에서 pituitary adenoma가 확인되므로 종양 때문에 hypopituitarism이 발생했음을 알 수 있다.

• 액모와 음모가 없고 testosterone이 낮은데, FSH/LH 결핍(hypogonadotropic hypogonadism)에 의한 것으로 생각된다.

• Prolactin 결핍은 남성에서 특별한 이상증상을 야기하지 않는다.

• 본 증례는 뇌하수체에 구조적 이상소견이 존재하고, 3개 이상의 다른 호르몬 결핍이 동반되어 있고 IGF-1이 감소되어 있으므로 다른 자극검사를 추가할 필요 없이 중증 성장호르몬결핍증을 진단할 수 있다.

• Hypopituitarism의 치료는 부족한 표적장기의 호르몬을 직접 공급하는 것이다. 따라서 가장 먼저 glucocorticoid인 코티솔을 투여한다.

Tip

• 보충 호르몬 투여 순서: cortisol → TH → (GH) → sex hormone (성인은 GH 투여하지 않음)

오답 선지

• 수술: 비기능성 뇌하수체 종양에서 mass effect로 인한 두통, 시야장애 등이 나타날 때 나비뼈경유(transsphenoidal, TSA)수술을 시행한다.

• 데스모프레신: 다뇨, 다갈 등의 증상을 보이고 ADH 결핍이 확인될 경우 투여할 수 있지만 본 증례는 urine osmolality가 정상이므로 투여가 불필요하다.

• 테스토스테론: 코티솔을 먼저 투여해야 한다.

관련 이론

뇌하수체 기능저하증

Reference

Harrison 21e, pp.2896-2902