36번
[임종평20-1]
0
18세 남자가 3일 전부터 숨이 찬다며 응급실에 왔다. 혈압 98/65 mmHg, 맥박 100회/분, 호흡 24회/분, 체온 36.6°C이다. 피부경유산소포화도는 93%이다. 가슴 청진에서 오른쪽 가슴의 호흡음이 들리지 않는다. 가슴 X선 사진과 심전도이다. 가능성이 큰 진단명을 고르시오 (두 가지).


정답률 71%
누적 풀이 횟수 700+
평균 풀이 시간51초
/
나의 풀이 시간0초
CC | M/18, 호흡곤란 (3d) |
Hx | |
S/Sx | 3일 전부터 호흡곤란 V/S 98/65 100 24 36.6, 오른쪽 가슴 호흡음 사라짐 |
Lab | SaO2 93% |
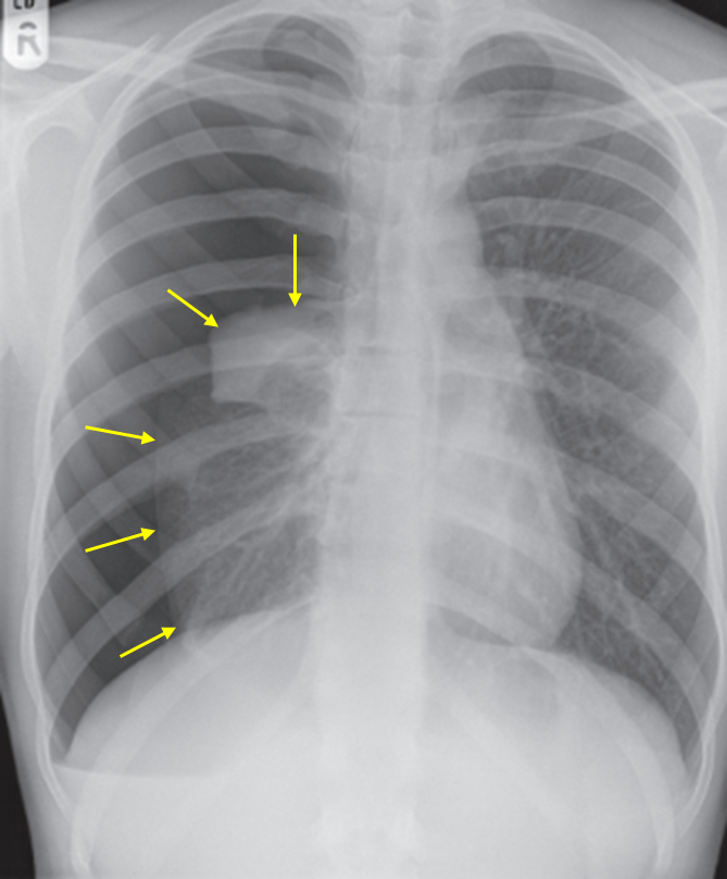
Img | CXR: Rt. lung near-total collapse, loss of distal vascular markings |
Etc | ECG: Sinus tachycardia |
Imp: 일차성 자발성 기흉(primary spontaneous pneumothorax, PSP)
해설
• 18세 남자가 3일 전부터 지속된 호흡곤란으로 내원하였다.
• 급성 호흡곤란의 증상, 그리고 신체 검진에서 오른쪽 가슴 호흡음이 사라진 것으로 보아 무기폐 혹은 기흉이 의심된다.
• CXR에서 우측 폐의 near-total collapse가 보이며 distal vascular marking이 소실되었으므로 기흉이 의심된다. 환자가 젊고 특이 병력이 없으므로 PSP가 가장 의심된다.
• 한편 심전도에 특별한 이상은 보이지 않고, 동성빈맥(HR > 100회/분)만 확인된다.
Tip
기흉 정리 | |
위험요인 | • 일차성: 흡연, 남성 • 이차성: COPD • 의인성: 바늘생검, 흉막천자, 기계환기 • 외상 |
임상양상 | • 급성 흉통, 호흡곤란 • 호흡음 감소, 타진 시 과공명 |
검사소견 | • CXR: Pleural line 보임, vascular marking이 보이지 않음 |
일차성/의인성 기흉 치료 | • 안정 + 첫 기흉 + 증상 경함: 경과관찰 (+ O2) • 재발성 or 불안정: 흉관 삽입 |
이차성/외상성 기흉 치료 | • 흉관 삽입 |
긴장성 기흉 | • V/S unstable • CXR: Mediastinal shift • 즉각적인 바늘 감압 → 이후 흉관 삽입 |
관련 이론
• 기흉
Reference
• Harrison 21e, p.2200
• Murray & Nadel 7e, pp.1539-1550