19번
[임종평19-2]
0
23세 여자가 1일 전부터 가슴이 아파서 병원에 왔다. 숨이 차고 숨을 크게 들이쉬면 더 아프다고 한다. 혈압 118/72mmHg, 맥박 96회/분, 호흡 20회/분, 체온 36.6℃이다. 가슴 청진에서 심음은 정상이고, 왼쪽 가슴에서 호흡음이 작게 들리며 타진에서 공명음이 들린다. 가슴 X선 사진과 심전도이다. 적합한 치료를 고르시오 (두 가지).


정답률 76%
누적 풀이 횟수 600+
평균 풀이 시간45초
/
나의 풀이 시간0초
CC | F/23, 흉통 (1d) |
Hx | |
S/Sx | 호흡곤란, 흉통(심호흡시 악화) / 왼쪽 가슴 호흡음 감소, 타진 공명음 |
Lab | |
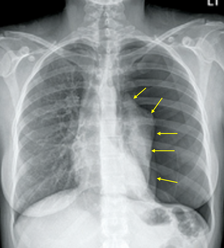
Img | CXR: Lt. lung total collapse, loss of Lt. pulmonary vascularity |
Etc | ECG: 정상 |
Imp: 일차성 자발성 기흉(primary spontaneous pneumothorax, PSP)
해설
기흉의 크기가 한쪽 lung이 collapse될 정도로 크므로 흉관 삽입 및 산소치료를 시행한다.
• 23세 여자가 1일 전부터 지속된 흉통으로 내원하였다.
• 급성 호흡곤란, 흉통(심호흡시 악화)의 증상, 그리고 신체 검진에서 왼쪽 가슴 호흡음이 사라진 것으로 보아 무기폐 혹은 기흉이 의심된다.
• CXR에서 좌측 폐의 total collapse, 좌측 폐혈관 음영이 사라진 소견이 있으므로 기흉으로 진단한다. 환자가 젋고 특이 병력이 없으므로 PSP가 의심된다. 한편 심전도에 특별한 이상은 없는 것으로 보인다.
• V/S은 비교적 안정적이며 흉통/호흡곤란 등 증상이 얼마나 심한지 구체적으로 지문에 제시되지는 않았다. 추적 관찰 및 산소 공급을 고려할 수도 있겠으나, 한쪽 폐가 total collapse될 정도로 기흉의 크기가 매우 크기 때문에 흉관 삽입을 통해 경과를 관찰하는 것이 보기 중에서는 가장 적절한 치료라고 볼 수 있다. 또한 산소 치료는 흉관 삽입 여부와 관계없이 기흉의 흡수를 돕기 위해 고려할 수 있다.
Tip
기흉 정리 | |
위험요인 | • 일차성: 흡연, 남성 • 이차성: COPD • 의인성: 바늘생검, 흉막천자, 기계환기 • 외상 |
임상양상 | • 급성 흉통, 호흡곤란 • 호흡음 감소, 타진 시 과공명 |
검사소견 | • CXR: Pleural line 보임, vascular marking이 보이지 않음 |
일차성/의인성 기흉 치료 | • 안정 + 첫 기흉 + 증상 경함: 경과관찰 (+ O2) • 재발성 or 불안정: 흉관 삽입 |
이차성/외상성 기흉 치료 | • 흉관 삽입 |
긴장성 기흉 | • V/S unstable • CXR: Mediastinal shift • 즉각적인 바늘 감압 → 이후 흉관 삽입 |
관련 이론
• 기흉
Reference
• Harrison 21e, p.2200
• Murray & Nadel 7e, pp.1539-1550