호흡기

/

37

/

37

31번

[RES17]

0

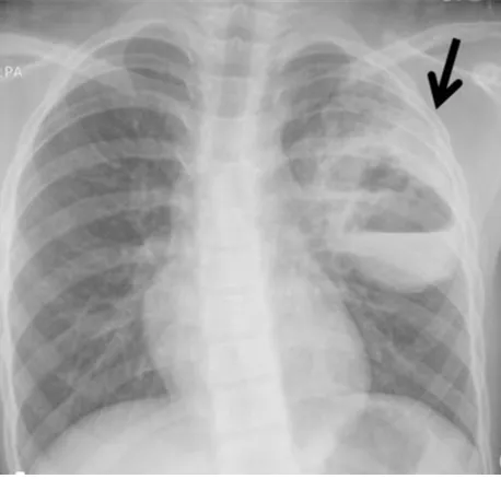
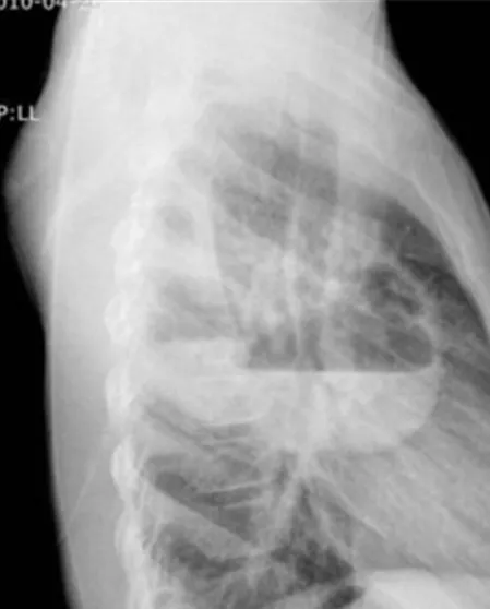
61세 남성이 지난 10일 동안 지속된 발열과 함께 불쾌한 냄새가 나는 화농성 객담을 호소하며 병원을 찾았다. 환자는 15년간 흡연한 이력이 있으며, 최근 3년 간 매일 소주 두 병을 섭취하는 등의 과음 습관이 있었다. 또한, 환자는 몇 주 전에 치주 질환으로 치과 치료를 받았다고 한다. 아래는 환자의 흉부 X선 사진 결과이다. 이 환자에게 가장 적절한 치료 방법은 무엇인가?

정답률 88%

누적 풀이 횟수 1,000+

평균 풀이 시간19초

/

나의 풀이 시간0

Imp: 폐농양

해설

알콜중독과 치주염 병력으로, 혐기균의 aspiration risk 높은 환자다. 가슴 X선에서 air-fluid level이 보이는 thick walled cavity가 보이므로 lung abscess를 의심할 수 있다. 또한 불쾌한 냄새의 화농성 객담은 "Putrid lung abscess"를 시사하는 소견이다.

• 폐농양의 치료는 혐기균을 타게팅하는 항생제들을 주로 사용한다. Clindamycin 또는 b-lactam/b-lactamase inhibitor를 사용한다.

Tip

혐기균을 타겟으로 할 때, 횡격막을 기준으로 상부에서는 Clindamycin, b-lactam/b-lactamase inhibitor, metronidazole + penicillin/cepha를 사용하고, 하부에서는 Metronidazole, carbapenem, b-lactam/b-lactamase inhibitor를 주로 사용한다.

관련 이론

폐농양

심화 학습

해리슨에는 Clindamycin을 1번으로 적어두었으나, C.difficile 감염의 risk와 그람음성균 및 저항성 그람양성균으로 인한 치료 실패 위험으로 β-lactam/β-lactamase inhibitor를 더 권고하고 있는 곳들도 많다. 물론 Clindamycin도 Cecil, UpToDate에서 권고 되고 있는 옵션 중 하나 이며 해리슨에서 Clindamycin도 옵션으로 나와있는 한, 이런 옵션들을 비교하는 문제는 나오지 않을 것으로 생각한다.

Reference

• Harrison 21e, pp.1020-1022