호흡기

/

37

/

37

32번

[RES17]

0

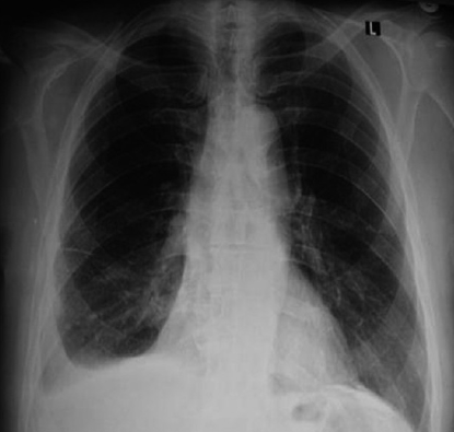
72세 남성이 우측 가슴 통증과 숨가쁨을 호소하며 병원에 도착했다. 환자의 흉부 X선 검사 결과는 아래와 같다. 이 환자에게 가장 먼저 시행해야 할 검사는 무엇인가?

정답률 100%

누적 풀이 횟수 400+

평균 풀이 시간21초

/

나의 풀이 시간0

Imp: 흉수

해설

우측 흉통과 호흡곤란으로 내원한 남성에서 시행한 X선 검사상 Rt. CPA blunting(사진이 잘 보이지는 않는다)이 보인다. pleural fluid를 확인하기 위해 lateral decubitus chest X-ray를 촬영할 수 있다.

최근에는 lateral decubitus를 촬영하기 보다는 흉부 초음파를 시행하여 흉수에 대한 진단과 천자를 시행한다.

In Harrison 21st (2197p): "Chest ultrasound has replaced the lateral decubitus X-ray in the evaluation of suspected pleural effusions and as guide to thoracentesis."

Tip

• lateral decubitus chest X-ray를 촬영하는 경우들을 알아둔다.

- massive hemoptysis, pleural effusion, pneumothorax, enteric perforation

오답 선지

• 객담 배양 검사, 혈액 배양 검사 : 폐렴의 원인균을 파악하기 위한 검사로 시행할 수 있다만 흉수의 감별 및 평가에는 흉수천자가 필요하다.

• 흉부 MRI : 흉수에 대한 평가로는 chest CT를 주로 촬영한다.

관련 이론

흉막 삼출

Reference

• Harrison 21e, pp.2197-2200