호흡기

/

37

/

37

34번

[RES16]

0

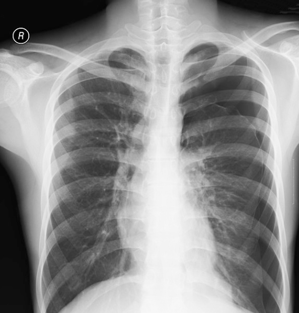
68세 남성이 4일 전부터 점차적으로 심해지는 호흡곤란을 호소하며 병원을 찾았다. 기침이나 가래는 없었다. 환자는 35년 간 하루에 한 갑의 담배를 피워왔으며, 고혈압과 만성폐쇄성폐질환(COPD)으로 치료 중이었다. 혈압은 130/85 mmHg, 맥박은 78회/분, 호흡수는 20회/분, 체온은 36.7℃로 측정되었다. 폐 청진 시 왼쪽 폐에서 호흡음이 눈에 띄게 감소되어 있었다. 가슴 X선 사진을 찍었다. 이 환자의 치료 방법은 무엇인가?

정답률 95%

누적 풀이 횟수 1,100+

평균 풀이 시간27초

/

나의 풀이 시간0

Imp: 이차성 기흉(secondary pneumothorax)

해설

COPD 과거력이 있는 환자가 심해지는 호흡곤란을 주소로 내원하였다.

• 청진 상 왼쪽 폐 호흡음이 감소하였고, 가슴 X선 상 왼쪽 폐에 pleural line이 뚜렷이 관찰되어 기흉을 진단할 수 있다.

• COPD 병력은 기흉의 위험인자로, COPD에 합병된 이차성 기흉의 경우 흉관 삽입으로 치료한다.

Tip

기흉 정리

오답 선지

• 산소 투여: 크기가 작고 증상이 경한 경우 경과관찰 및 산소 투여로 가능하나, 현재 이차성 기흉이며 기흉의 크기도 크므로 흉관 삽관이 필요하다.

• 흡입용 코르티코스테로이드: 천식의 치료이다. 현재는 적절하지 않다.

• 항생제 정주: 감염의 증거가 없으므로 적절하지 않다.

관련 이론

기흉

Reference

•Harrison 21e, p.2200