호흡기

/

37

/

37

35번

[RES16]

0

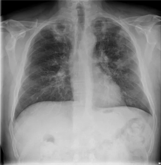
68세 여성이 오늘 아침 종이컵 한 컵 분량의 객혈을 주소로 응급실에 내원했다. 환자는 3주 전부터 기침과 함께 가래에 피가 섞여 나오는 증상을 경험했다고 한다. 과거에 15년 전에 결핵으로 진단받아 치료받은 병력이 있다. 혈압은 118/80 mmHg, 맥박은 76회/분, 호흡수는 20회/분, 체온은 36.5℃로 측정되었다. 환자의 가슴 X선 사진이다. 이 환자의 치료 방법으로 가장 적절한 것은 무엇인가?

정답률 85%

누적 풀이 횟수 1,000+

평균 풀이 시간30초

/

나의 풀이 시간0

Imp: 대량 객혈(massive hemoptysis)

해설

• 결핵 병력이 있는 환자가 종이컵 한 컵(약 200mL) 분량의 객혈로 내원하였다. 이는 대량 객혈에 해당한다.

• 대량 객혈 발생 시 객혈이 있는 쪽 폐를 확인한 후 출혈 부위가 아래로 오도록 옆으로 눕혀야 한다.

• 출혈이 계속될 경우 기관지동맥 색전술을 1차 치료로 시행한다.

Tip

대량 객혈의 치료

• 가슴 X-선 상 양측 폐 상부에 공동이 관찰된다. 폐결핵에 의해 생긴 것으로 보이며, 내부에 air-crescent sign이 보일 경우 진균종을 의심할 수 있으나 현재는 존재하지 않는다. 따라서 대량 객혈의 원인은 공동에 노출된 혈관의 출혈로 인한 것으로 생각된다.

오답 선지

•항결핵제: 결핵 감염 여부를 먼저 확인 한 뒤 고려할 선택지이며 현재 주호소는 대량 객혈이기 때문에 이에 대한 치료가 우선이다.

•수혈: 출혈이 있긴 하나 수혈의 적응증이 되는 정보가 제시되지 않아 판단할 수 없다.

•폐절제술: 기관지동맥 색전술, 기관지내시경 등 지혈을 위한 치료가 실패하는 경우, 객혈이 반복적인 경우 시행한다.

•암포테리신 B 정주: 심각한 진균증에 대한 치료이다. 폐 공동 내 아스페길루스종이 있다고 가정하여도 이에 대한 치료는 경과 관찰 (무증상) 혹은 수술적 절제 (유증상) 이기 때문에 고려할 필요가 없는 보기이다.

관련 이론

객혈

Reference

•Harrison 21e, p.270-272