소화기

/

60

/

60

28번

[RES21]

0

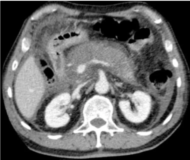
62세 남성이 상복부 통증을 호소하며 내원했다. 상복부에 압통이 있으나 반발압통은 관찰되지 않았다. 환자는 최근 10일 동안 매일 폭음했다고 한다. 혈압은 100/78 mmHg, 맥박은 110회/분, 호흡수는 22회/분, 체온은 37.5℃로 측정되었다. 혈액검사 결과와 복부 CT 사진이다. 가장 적절한 처치 방법은?

WBC 12,000/mm3, HB 13.8 g/dL, platelet 450,000/mm3

Na/K/Cl 132/4.2/108 mEq/L

AST/ALT 68/85 U/L, GGT 92 U/L, ALP 225 U/L

total bilirubin 1.2 mg/dL, glucose 98 mg/dL

Ca/P 8.3/4.7 mg/dL,

amylase 910 U/L (참고치, 28~132), lipase 560 U/L (참고치, 48-188)

정답률 70%

누적 풀이 횟수 1,200+

평균 풀이 시간39초

/

나의 풀이 시간0

Imp: 급성 췌장염

해설

• 최근 음주력, 상복부 압통, 혈액검사 상 amylase, lipase 상승 소견을 통해 급성 췌장염을 의심할 수 있다.

• 복부 CT 에서 pancreatic body, tail의 edematous change, pancreas 주변의 fluid collection이 관찰된다.

• 급성 췌장염의 치료 원칙은 금식 및 수액치료, 마약성 진통제 투여이다. 수액으로는 소실된 중탄산염을 보충해줄 수 있는 Ringer's lactate를 사용한다.

오답 선지

• Normal saline: 일반적인 경우 수액 치료 1st choice이나 췌장 분비물은 다른 위장관 분비물보다 중탄산염의 비율이 높아 이를 보충해줄 수 있는 Ringer's lactate가 더 선호된다.

관련 이론

급성 췌장염

Reference

• Harrison 21e, pp.2658-2663

ACG guideline, 2013