소화기

/

60

/

60

33번

[RES20]

0

42세 여성이 10일 전부터 지속적인 복통과 38.5도의 발열을 호소하며 내원하였다. 환자는 2주 전에 심한 음주 후 급성 췌장염 진단을 받고 입원 치료를 받았었다. 아래는 복부 초음파 및 복부 CT 결과이다. 가장 적절한 치료 방법은 무엇인가?

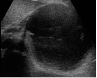
[복부 초음파]

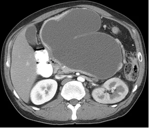
[복부 CT]

정답률 91%

누적 풀이 횟수 1,000+

평균 풀이 시간28초

/

나의 풀이 시간0

CC

42/F, 복통, 발열 (duration: 10일)

Hx

급성 췌장염 (2주 전)

S/Sx

Lab

Img

Etc

US, CT: 췌장 부위 경계가 명확한 cyst

Imp: 췌장 가성낭종 (pancreatic pseudocyst)

DDx: 구역성 췌장괴사(walled off necrosis, WON)

해설

췌장 가성낭종이 복통을 유발하며 감염의 징후도 있어 치료의 적응증에 해당한다.

• 2주 전 급성 췌장염을 앓은 환자의 US, CT 상 췌장 부위 경계가 명확한 cyst가 관찰되므로 가성 낭종으로 진단 가능하다.

• 가성 낭종은 급성 췌장염 후 저류된 액체가 자연 관해되지 않아 발생한 것으로, 무증상일 경우 경과 관찰 가능하다.

• 하지만 본 환자는 가성 낭종으로 인한 복통을 호소할 뿐만 아니라 감염으로 인한 발열이 동반되어 구역성 췌장괴사의 가능성도 있으며, 따라서 치료의 적응증에 해당한다.

• 치료는 주로 낭종 내 액체의 배액으로 이루어지며, 내시경적 배액술, 경피적 배액술, 또는 수술적 치료를 선택 가능하다.

Tip

• 가성 낭종의 감염, 괴사조직의 액화에 의하여 구역성 췌장괴사가 유발될 경우 발열, WBC 증가가 동반된다.

• WON은 경계가 불명확한 피막, heterogenous fluid, 낭종 내부 공기방울이 관찰되어 가성 낭종과 영상 소견 상 차이가 있다.

오답 선지

• 복강경담낭절제술: 급성 담낭염의 치료 방법이며 CT상 담낭은 정상 소견으로 보인다.

• 경과관찰: 무증상 가성 낭종일 경우 경과 관찰 가능하다.

• 췌두부십이지장절제술, 단순낭종절제술: 심각한 합병증 동반 시 수술적 치료 고려 가능하다.

관련 이론

급성 췌장염의 합병증

Reference

• Harrison 21e, pp.2663-2664

ACG guideline, 2013