외과 총론

/

113

/

113

35번

[RES22]

0

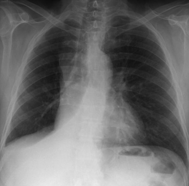
72세 여성이 복부 수술을 받은 다음날 경미한 호흡 곤란과 발열을 호소하였다. 혈압은 130/85 mmHg, 맥박은 88회/분, 호흡은 19회/분, 체온은 38.1°C로 측정되었다. 복부에는 수술 부위의 통증만 있었고, 압통이나 반발 압통은 관찰되지 않았다. 혈액 검사 결과와 가슴 X선 사진을 통해 진단을 내려야 한다. 가장 가능성이 높은 진단은 무엇인가?

WBC 11,300/mm3, Hb 12.9 g/dL, platelet 312,000/mm3

amylase 72 U/L(참고치, 22~130), lipase 20 U/L(참고치, 48~188)

pH 7.46, PaCO2 35 mmHg, PaO2 70 mmHg

정답률 96%

누적 풀이 횟수 1,100+

평균 풀이 시간35초

/

나의 풀이 시간0

Imp: 무기폐(atelectasis)

해설

POD 1일에 발열, 호흡곤란을 호소하고 있으며 CXR상 RLL atelectasis가 관찰된다. 그 외 lung consolidation이나 pleural effusion은 명확하지 않으며, 수술부위 감염의 징후도 명확하지 않다.

관련 이론

기타 외과적 합병증

Reference

• Sabiston 21e, pp.246-252