외과 총론

/

113

/

113

89번

[RES17]

0

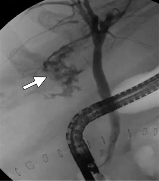
48세 여성이 만성 담낭염으로 복강경하 담낭절제술을 시행받았다. 수술 후 4일째 환자의 공막에 황달이 나타났다. 혈액검사 및 내시경역행담췌관조영술(ERCP) 결과는 아래와 같다. 이 환자에게 적절한 처치는 무엇인가?

Hb 13.2 g/dL, WBC 10,200/㎣, Platelet 215,000/㎣

Total bilirubin 5.2 mg/dL,

Direct bilirubin 3.8 mg/dL

정답률 87%

누적 풀이 횟수 1,500+

평균 풀이 시간31초

/

나의 풀이 시간0

Imp: iatrogenic biliary leak

해설

ERCP에서 cystic duct stump clipping site로 조영제 누출이 관찰되고 있다. cholecystectomy 후 cystic duct(담낭관)의 결찰이 불완전하게 되어 누출이 있는 것으로 보인다. ERCP 시술 중 stent를 CBD에 삽입하여 수술적 처치 없이 leak를 방지할 수 있으며, 복강 내로 leakage로 인해 fluid collection이 있는 경우 경피적배액술을 시행할 수 있다.

Tip

• cholecystectomy는 워낙 많이 하는 수술이다보니 complication에 대한 문제도 자주 출제된다.

오답 선지

• 담관-공장문합술 : 덜 침습적인 방법으로는 해결할 수 없는 담관의 장기적인 폐쇄가 있거나, 일부 암의 경우와 같이 담즙 흐름을 위한 영구적인 대체 경로가 필요한 경우에 사용된다.

• 담관 풍선확장술 : 이 시술은 좁아진 담관을 넓히는 데 사용된다.

• 담관성형술 : 담관 협착이나 외과적 치료가 필요한 심각한 손상의 명확한 증거가 있는 경우 이 옵션을 고려할 수 있다.

• 담관-담관문합술 : 일반적으로 담관의 일부가 제거되거나 심각하게 손상된 경우 담즙 흐름을 복구하기 위해 시행한다. 보다 침습적인 수술이며 담관의 segmental loss가 확인되거나, 덜 침습적인 방법으로 복구할 수 없는 심각한 손상이 없다면 일반적으로 첫 번째 치료 옵션이 아니다.

관련 이론

담낭절제술

• Iatrogenic biliary leak

1) 개요

- cholecystectomy 후 cystic duct 또는 알아차리지 못한 duct of Luschka(accessory bile duct)에서 누출.

- duct를 결찰한 clip이 완전히 결찰하지 못한 경우.

- 대부분 수술 1주 이내 발생.

2) 증상

- 발열, 오한, 복통(RUQ pain), 황달, 수술 부위 또는 배액관에서 쓸개즙 누출, 지속되는 식욕저하, bloating

3) 평가

- 의심되면 CT 촬영.

- 배액관 거치를 통해 leak과 infection을 조절하고 나면 ERCP를 시행.

=> cystic duct stump에서 leak이 있다면 shincterotomy with stent of common duct

4) 추가적 치료

- 큰 fluid collection은 경피적 배액 -> 지속적 누출 시 내시경적/경피적 '담도' 배액

- 6주 이상 leak가 지속된다면, 염증이 가라 앉고 수술적 교정 고려.

Strasberg classification:

Type A - Injury to the cystic duct or from minor hepatic ducts draining the liver bed.
Type B - Occlusion of biliary tree, commonly aberrant right hepatic duct(s).
Type C - Transection without ligation of aberrant right hepatic duct(s).
Type D - Lateral injury to a major bile duct.
Type E (1-5) - Injury to the main hepatic duct; classified according to level of injury (ie, below).

E1 (Bismuth type 1) - Injury more than 2 cm from confluence
E2 (Bismuth type 2) - Injury less than 2 cm from confluence
E3 (Bismuth type 3) - Injury at the confluence; confluence intact
E4 (Bismuth type 4) - Destruction of the biliary confluence
E5 (Bismuth type 5) - Injury to aberrant right hepatic duct

Type 별 치료

치료 방법은 손상 유형에 따라 다르다. 그 중 type A 위주로 알아두면 된다.

1) Type A 및 D : ERCP 시술 중 스텐트를 삽입. CBD stone으로 인한 폐쇄가 있으면 sphincterotomy도 고려할 수 있다. 스텐트 삽입 후 배액 양이 감소하면 통상적으로 3~5일 내에 경피적 배액관을 제거할 수 있다.

-> 흔히 문제에 출제되는, cystic duct 손상이 여기에 해당한다.

2) Type C : 담즙의 자연스러운 흐름에서 "분리된" 간의 담즙 배출 부위가 있기 때문에 전체적으로 내시경적 처치가 덜 성공적일 수 있다. 이러한 환자들은 먼저 경피적 간담관촬영술(PTC)을 통해 손상의 구조를 확인한 후 최종적으로 surgical repair를 받아야 할 수 있다.

3) Type B (우간담관 폐색): 대개 증상이 없이 발견되며, 수년 후 오른쪽 엽의 위축으로 인한 증상이 나타날 수 있다. 통증과 담관염의 특징을 보이는 증상이 있는 환자의 경우 수술적 치료가 필요할 수 있다.

4) Type E (공통 담관 또는 간담관 손상): 이러한 손상은 가장 심각하며, 대부분 수술적 복구가 필요하다. 초음파에서 담관의 확장, ERCP에서 담관의 완전한 폐색 간내 담관이 조영되지 않는 것으로 확인할 수 있다. 담즙 누출이 있는 경우, 수술 중에 인지하였고 손상 범위가 제한적이면 T-tube 배액을 통해 수술적 복구를 시도할 수 있다. bile duct의 primary repair는 일반적인 크기의 CBD에서 파열이나 협착의 가능성이 높기 때문에 피해야 한다. 그러나 더 심각한 손상(완전 절단 등)의 경우 간담췌간문합술이 선호된다.

복강경 담낭절제술 후 CBD의 완전폐색이 진단된 경우, PTC과 ERCP를 결합하여 폐색을 치료할 수 있으며 장기적으로 좋은 결과를 얻을 수 있다. 그러나 심하거나 길이가 1cm 이상인 협착은 내시경 치료에 적합하지 않다. 따라서 간의 압력이 감소하면, 보통 간담췌간문합술을 선택한다.

각 손상 유형에 따른 후속 관리는 다음과 같다:

Tye A injury: 환자가 무증상이고 간 기능 검사가 정상이며, f/u ERCP에서 누출이 지속되지 않는 경우, 2주 후에 내시경적으로 스텐트를 제거할 수 있다.

Type C 및 D injury: 스텐트 삽입 후 2~4주에 HIDA 스캔을 반복하여 누출이 없는지 확인한다. 누출이 없으면 ERCP를 반복하여 스텐트를 제거할 수 있다. 스텐트 제거 시 미세한 leak가 있는 경우, 담즙이 십이지장으로 자유롭게 흐를 수 있도록 내시경적 절개술을 시행하거나 스텐트를 추가로 4주간 더 교체할 수 있다.

각각의 손상 유형과 환자의 상태에 따라 적절한 치료 방법을 선택하는 것이 중요하다.

Reference

• Sabiston 21e, p.1514

• Nezam H Afdhal, Complication of laparoscopic cholecystectomy, 2023, In UpToDate, from https://www.uptodate.com/contents/complications-of-laparoscopic-cholecystectomy