29번
[RES18]
0
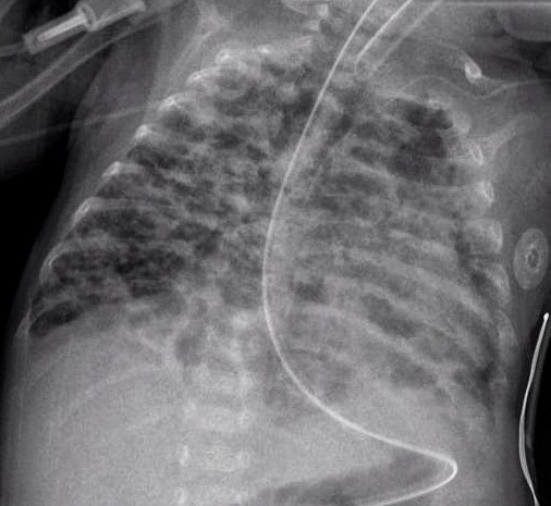
출생 시 체중이 900g, 재태기간 27주였던 미숙아는 생후 30일 동안 인공호흡기를 통한 호흡 지원을 받아왔다. 이 아기는 생후 초기에 동맥관 개존증으로 인도메타신 치료를 받았으며, 생후 5주에 괴사성장염으로 인해 수술을 받았다. 현재 생후 10주가 되었으나 여전히 인공호흡기 없이는 호흡이 어렵고, 산소 공급을 중단하면 심한 청색증이 발생한다. 아래는 아기의 가슴 X선 사진 결과이다. 이 아기에게 가장 적절한 치료 방법은 무엇인가?
정답률 56%
누적 풀이 횟수 300+
평균 풀이 시간35초
/
나의 풀이 시간0초
Imp: 기관지폐형성이상(Bronchopulmonary dysplasia)
해설
재태기간 27주, 출생체중 900g의 초극소 저체중 출생아로 인공호흡기를 통한 호흡 지원을 28일 이상(10주) 받았으므로 기관지폐형성이상으로 진단할 수 있다. BPD의 치료는 충분한 영양 공급, 과도한 수액의 제한, 약물, 적절한 산소화 유지, 감염의 치료 등으로 이루어지며 그 중 Dexamethasone은 기계 환기 기간을 줄여주고 BPD의 위험을 감소시킬 수 있다.
• Dexamethasone의 이런 장점에도 불구하고, 고혈압, 고혈당, 위장관 출혈 및 천공, 비후 심근병증, 패혈증, 체중과 두위 성장 지연 등의 합병증의 위험으로 신중하게 사용되어야 한다.
Tip
• BPD의 진단 기준 :
<32주는 36주(or 퇴원시)에 room air 이상의 산소를 28일 이상 투여했다면,
>32주는 생후 28일~56일 사이(or 퇴원)에 room air 이상의 산소를 28일 투여했다면
임신 나이 | 평가 시점 | 경증 BPD | 중등증 BPD | 중증 BPD |
< 32주 | 월경 후 주령 36주와 퇴원 시점 중 빠른 시기에 | |||
21%가 넘는 산소를 적어도 28일 이상 투여 | 산소 중단 | 30% 미만의 산소 투여 필요 | 30% 이상의 산소나 양압환기(PPV or NCPAP) 둘다 또는 어느 하나가 필요 | |
≥ 32주 | 생후 28일에서 56일 사이 또는 퇴원 시점 중 빠른 시기에 | 56일 사이 또는 퇴원 시점 중 빠른 시기에 | ||
21%가 넘는 산소를 적어도 28일 이상 투여 | 산소 중단 | 30% 미만의 산소 투여 필요 | 30% 이상의 산소나 양압환기(PPV or NCPAP) 둘다 또는 어느 하나가 필요 | |
오답 선지
• 인공 폐 표면 활성제 : RDS의 치료에 사용한다. 환아의 경우 출생시 폐성숙을 위해 이미 투여가 됐을 것으로 생각할 수 있으며 현재 질문의 요지는 BPD에 대한 치료를 물었을 것으로 생각할 수 있다.
• 아데노신 : 주로 PSVT 등의 빈맥성부정맥에서 AV node의 전도를 늦추기 위한 치료로 사용한다.
• 충분한 수액공급 : 수액을 제한하는 것이 폐의 부담을 덜어주어 BPD에서는 도움이 더 된다.
• 디곡신 : 심부전에 대한 치료로 환아의 호흡 문제와는 거리가 있어 보인다.
관련 이론
• 신생아 질환 - 호흡기
• 기관지폐 형성 이상(bronchopulmonary dysplasia, BPD)
1) 개요
(1) 정의: 조산아에서 장기간 기계 환기 & 산소 투여가 필요한 임상적 폐증후군
(2) 병태생리
① 미숙한 폐조직에 여러 원인으로 인한 손상 & 염증 발생
• RDS로 인한 무기폐, 기계환기로 인한 volutrauma & free radical 등
② 이로 인해 폐포, 폐혈관, 기도 발달 저하 → 가스교환 장애
2) CXR: 기포성 폐(bubbly lung), 폐사이질 혼탁 등 다양

3) 치료 및 예방
(1) 충분한 영양 공급, 과도한 수액 제한, 약물, 산소화 유지 그리고 감염의 즉각적 치료
(2) Steroid(dexamethasone): 기계 환기 시간을 줄여줌, 고혈당과 고혈당 등의 부작용으로 단기간 저용량 신중히 사용
(3) 이뇨제 : 폐 기능을 호전시켜 산소와 기계 환기 필요성 감소, But 단기적 효과, 지속 치료에 대한 논란
(4) 폐고혈압 동반시 : 산소화를 증가하기 위해 저용량 iNO,폐혈관확장제(sildenafil)
(5) 중증에선 기관절개술 등 필요 가능.
(6) 10~3월에 RSV 예방 단클론 항체 palivizumab 매달 총 5회 권장
Reference
• 지문 사진
• 홍창의 소아과학 12e, pp. 318~320