소아과 각론

/

135

/

135

38번

[RES21]

0

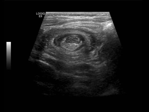
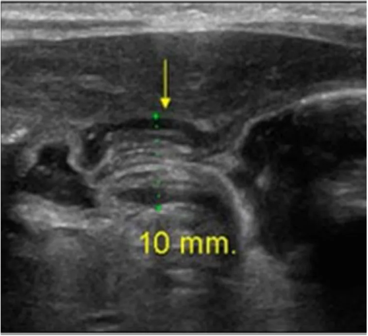
생후 4주된 남아가 식후에 자주 토하는 증상을 보인다고 어머니가 병원을 찾았다. 구토는 비담즙성으로 분출하는 양상을 보인다. 진찰 시 상복부에서 올리브와 유사한 크기의 덩어리가 촉지되었다. 혈액검사 결과와 복부 초음파 사진이다. 이 환자의 진단은 무엇인가?

WBC 9,800/mm3 (neutrophil 30%), Hb 11.8 g/dL, platelet 415,000/mm3

C-reactive protein 0.6 mg/dL (참고치, <0.5)

Na/K/Cl 133/3.6/82 mEq/L

ABGA : pH 7.48, pCO2 27 mmHg,

pO2 99 mmHg, HCO3- 38 mEq/L

정답률 99%

누적 풀이 횟수 1,100+

평균 풀이 시간16초

/

나의 풀이 시간0

Imp: 비대 날문 협착증(hypertrophic pyloric stenosis, HPS)

해설

• 생후 4주된 영아가 비담즙성 분출성 구토를 보이므로 비대 날문 협착증을 의심할 수 있다. 상복부의 올리브 크기 덩이가 촉지되는 것도 이를 뒷받침한다. 초음파 상 wall thickness가 증가(두께 ≥ 4mm)된 pylorus가 관찰되어 확진할 수 있다.

• HPS로 인해 구토가 반복될 경우 hypokalemic hypochloremic metabolic alkalosis가 발생할 수 있다. 본 환아의 경우 hyperchloremia와 metabolic alkalosis가 저명하며, K+ 또한 low normal에 가깝다.

오답 선지

• Intestinal obstruction: 소장이 폐쇄되었다면 담즙성 구토를 보이므로 배제할 수 있다.

• Duodenal web: 십이지장 lumen 내로 불완전한 막이 형성되는 것으로 장폐쇄를 유발할 수 있다.

• Antral web: Antrum lumen 내로 불완전한 막이 형성되는 것으로 antrum의 폐쇄를 유발할 수 있다.

• Intestinal atresia: 선천적 기형으로 소장이 막혀있는 것이다. 소장폐쇄와 동일하게 담즙성 구토를 보일 것이므로 배제할 수 있다.

관련 이론

소아외과

Reference

• Sabiston 21e, pp.1846-1871