골반과 샅

/

28

/

28

20번

[기종평19]

0

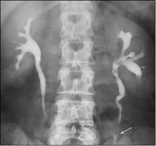
50세 남자가 식은땀을 흘리며 구토와 욕지기(nausea), 넓적다리 앞부분에서 음낭(scrotum)까지 이어지는 부위의 극심한 간헐통(intermittent pain)으로 병원에 왔다. 요관깔때기조영술(ureteropyelography) 사진이다. 통증과 관련된 신경은?

정답률 집계 중입니다.

누적 풀이 횟수 < 100

평균 풀이 시간-

/

나의 풀이 시간0

해설

음부넙다리신경(genitofemoral nerve)은 L1-L2 신경근에서 유래하며, 복부와 골반의 다양한 구조물을 지배한다.

• 생식가지(genital branch)는 음낭(scrotum) 또는 대음순(labia majora) 등의 생식기 부위를 지배하고, 넙다리가지(femoral branch)는 넓적다리 앞부분의 피부를 지배한다.

오답 풀이

• 갈비밑신경(subcostal n.)은 T12에서 유래하며 주로 복부의 피부와 근육을 지배하지만, 음낭이나 넓적다리 부위까지 통증을 유발하는 주된 신경은 아니다.

• 엉덩고샅신경(ilioinguinal n.)은 L1에서 유래하며 음낭이나 대음순 부위를 일부 지배하긴 하나, 넙다리 앞부분까지 광범위하게 통증을 유발하는 경우는 드물다.

• 엉덩아랫배신경(iliohypogastric n.)은 L1에서 유래하며 하복부의 피부와 외복사근 부위를 지배한다.

• 폐쇄신경 피부가지(cutaneous branch of obturator n.)는 넓적다리 안쪽 피부를 지배하지만, 음낭과는 무관하여 이 경우의 방사통 부위와 일치하지 않는다.

관련 이론

남성 생식기관