5번
[임종평25-1]
0
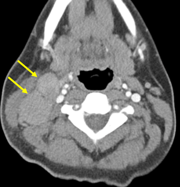
13세 남아가 2주 전부터 목 덩이가 만져 진다며 병원에 왔다. 1개월 전부터 밤마다 열이 났고 쉽게 피로하며 식욕이 줄어 체중이 5 kg 줄었다고 한다. 2주 전부터 항생제를 복용하였으나 목 덩이는 줄어들지 않았다. 혈압 100/90 mmHg, 맥박 70회/분, 호흡 20회/분, 체온 36.7 ℃이다. 오른쪽 목에 지름 5 cm 크기의 단단하고 고정된 덩이가 만져지며 압통은 없다. 혈액검사 결과는 다음과 같다. 가슴 X선사진과 목 컴퓨터단층촬영 사진이다. 진단은?
백혈구 8,300/mm3, 혈색소 11.9 g/dL, 혈소판 429,000/mm3
젖산탈수소효소 200 U/L (참고치, 115~221)
C반응단백질 7 mg/L (참고치, <10)


정답률 86%
누적 풀이 횟수 800+
평균 풀이 시간36초
/
나의 풀이 시간0초
CC | M/13, 목덩이(2w, Rt.) |
Hx | On PO anti(2w) → no response |
S/Sx | 야간 발열, 피로, 체중감소(-5kg/1m) V/S 100/90 70 20 36.7, Rt. neck 5cm, firm, fixed, nontender mass |
Lab | |
Img | CXR: Mediastinal mass CT: Multiple enlarged Rt. cervical lymph nodes |
Etc |
Imp: 림프종(lymphoma)
해설
B symptom의 일부를 동반하고 항생제에 반응하지 않는 neck 및 mediastinal mass로 보아 보기 중 lymphoma가 가장 유력한 진단명이다.
• 13세 남아가 2주 전부터 만져지는 경부 종괴를 주호소로 내원하였다.
• 항생제 치료에도 호전이 없었으며, 진찰에서 우측 경부에 지름 5cm 크기의 단단하고 고정된 무통성 림프절이 촉지되었다. 이는 급성 감염보다는 악성 질환을 시사하며, 소아에서 림프절 종대를 일으키는 대표적인 악성 원인으로 림프종 등을 고려해야 한다.
• 환아는 1개월 전부터 야간 발열과 5 kg의 체중 감소, 피로감을 호소하였다. 이 중 발열과 체중 감소는 림프종을 시사하는 B symptoms에 해당하며, 피로감은 비특이적이지만 흔히 동반되는 전신 증상으로 악성 질환 가능성을 뒷받침한다. 혈액검사상 WBC 및 LDH는 정상 범위였으나, 정상 LDH 수치가 림프종을 배제하는 근거가 되지는 않는다.
• CXR에서 mediastinal mass가 보이며 neck CT에서 Rt. cervical lymphadenopathy가 확인된다. Mediastinal mass는 lymphoma가 mediastinal LN에도 존재하는 것을 시사한다.
• 따라서 본 환아는 림프종, 특히 청소년에서 흔히 발생하며 종격동 침범이 잦은 호지킨 림프종(Hodgkin lymphoma)이 가장 의심된다.
Tip
• 확진을 위해서는 절제 림프절 생검(excisional lymph node biopsy)이 필요하며, 이후 병기와 조직 아형에 따라 다약제 화학요법 ± 방사선 치료가 이루어진다. 소아 호지킨 림프종의 경우 예후는 대체로 양호하다.
오답 선지
• 기쿠치병(Kikuchi disease): 주로 20~30대 여성에서 호발하며 발열과 압통성 경부 림프절염을 보인다. 대부분 자연 호전되며, 뚜렷한 B symptom이나 종격동 림프절 종대는 드물어 본 증례와는 부합하지 않는다.
• 가와사키병(Kawasaki disease): 주로 5세 미만 영유아에서 발생하는 급성 열성 혈관염으로, 5일 이상 지속되는 발열과 함께 결막 충혈, 구강 점막 변화, 발진, 사지 말단 변화, 경부 림프절염 중 4가지 이상이 동반되어야 한다. 본 증례는 연령과 임상양상이 모두 일치하지 않는다.
• 결핵림프절염(tuberculous lymphadenitis): 만성적인 림프절 종대와 미열, 체중 감소를 보일 수 있으나, 거대한 종격동 종괴는 드물다. 본 증례는 림프종에 더 합당하다.
• 화농림프절염(suppurative lymphadenitis): 급성 세균 감염으로 발생하며 발열, 압통, 피부 발적을 동반하고, 혈액검사에서 백혈구 증가와 CRP 상승이 현저하다. 대개 항생제 치료에 호전되므로 본 증례와는 부합하지 않는다.
관련 이론
• 림프종
• 림프절 비대의 접근
Reference
• Harrison 21e, pp.457-459, 841-855