골반염

: Pelvic inflammatory disease, PID

자궁경부의 운동성 통증, 발열, 화농성 질분비물 등의 임상양상들을 보고 골반염인지 파악하여 올바른 처치를 고르는 문제가 출제된다. 정확히 어떤 항생제 조합을 사용해야 하는지 묻는 문제들이 출제되므로 치료에 대해 상세히 알고 있어야 하며, 골반염이 난관난소고름집으로 진행되었을 경우의 초음파 소견도 유의해야 한다. 골반결핵은 오답 선지에만 드물게 출제된 바 있어 단원 말미에 짧게 다루고 있다.

1. 개요

1) 정의: 상부생식기(자궁~난소)의 감염

• 자궁내막염(endometritis), 난관염(salpingitis), 난소농양 등이 포함

2) 원인균: 자궁경부(endocervix)부터 시작하여 상행감염에 의해 발생 (자궁경부염에 대한 내용은 감염 파트 성매개질환 단원 참고)

(1) 임균(Neisseria gonorrhoeae)

(2) 클라미디아(Chlamydia trachomatis)

(3) 혐기균, Streptococcus, H. influenzae 등

3) 위험인자

(1) 다수의 성상대자와 성관계 (임균과 클라미디아는 성매개질환)

(2) 자궁내장치

(3) 골반염의 과거력, D&C 이력, 골반 수술력

2. 임상양상 및 검사소견

Triad: 자궁경부 운동성 통증 + 골반통 + 발열

1) 주호소

(1) 골반통: 하복부 통증

(2) 발열: 주로 38℃ 이상의 고열

2) 기타 증상 및 징후

(1) 질분비물: 화농성, 혈성

(2) 하복부 압통/반발압통

(3) 자궁경부 운동성 통증(cervical motion tenderness): 염증이 국소적으로 복막까지 침범했음을 시사함

3) 혈액검사: WBC/CRP 상승

4) 질분비물 검사: Neutrophil↑, 그람염색상 세균(+)

5) US: 직장자궁오목(cul-de-sac)의 액체 저류

3. 치료

1) 항생제

(1) 원칙: 임균(그람음성 구균), 클라미디아(비정형 세균)를 동시에 커버해야 함 (+ 혐기균도 가능하면 커버)

원인균

항생제

임균

2~3세대 cephalosporin: Cefoxitin, cefotetan, ceftriaxone

Aminoglycoside: Gentamicin

클라미디아

Tetracycline: Doxycycline

Macrolide: Azithromycin, erythromycin

Clindamycin

(2) 항생제 조합의 예시

① (Cefoxitin-probenecid or cefotetan or ceftriaxone) + (doxycycline or azithromycin)

• Ceftriaxone은 cefoxitin/cefotetan과는 다르게 혐기균 커버 능력이 없어 metronidazole 추가도 고려할 수 있음

② (Gentamicin or ceftriaxone) + clindamycin

③ Ampicillin-sulbactam + doxycycline

2) 치료 형태

(1) 경증: IM 1회 주사 + 외래 경구 항생제

(2) 중증: 입원 정맥 항생제

① 고열(> 38.5ºC), 오심/구토, 패혈증

난관난소농양

임신

④ 기타: 경구 복용이 어려움, 경구 항생제에 호전이 없음, 시술/수술적 치료가 필요함 등

4. 합병증

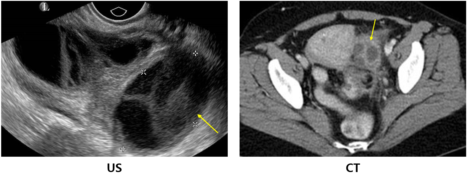
1) 난관난소농양(tubo-ovarian abscess, TOA, 난관난소고름집)

(1) 골반염이 진행되어 난관, 난소에 농양 형성

(2) 임상양상: 골반 덩이

(3) 검사소견: US/CT - multiloculated hypoechoic/hypoattenuating mass

(4) 치료

① 항생제: 골반염에 대한 항생제를 입원하여 정맥주사로 투여

② 배농: 충분한 항생제 치료(≒ 72시간)에도 호전 없을 때 시행

• 경피적 배농 시도 → 실패시 수술적 배농

2) Fitz-Hugh-Curtis syndrome

(1) 자궁/난관의 염증이 복막을 타고 liver capsule까지 침범하여 우상복부 통증을 일으키는 현상 (= perihepatitis)

* 자궁과 난관의 내강은 막혀있지 않고 복강으로 뚫려있기 때문에 감염이 복강까지 전파될 수 있다.

(2) 임상양상: RUQ 통증, 압통/반발압통(+/+)

(3) 검사소견: CT - liver capsule hyperattenuation

(4) 치료: PID 치료와 동일

3) 불임: 자궁내막 유착, 난관 협착 등으로 인해 발생

5. 골반결핵(pelvic tuberculosis)

1) 정의

(1) 주로 폐에서 원발된 결핵균이 혈행성으로 난관(m/c), 자궁, 난소 등에 전파

(2) 일차성 골반결핵은 매우 드뭄

2) 임상양상

(1) 불임

① 골반결핵 환자는 임신이 매우 어렵고 자궁외 임신과 유산 가능성이 높음

② 심지어 자궁내막결핵의 경우 IVF도 불가능

(2) 하복부 통증

(3) 질출혈, 무월경 등

3) 진단

(1) 투베르쿨린 검사

(2) 자궁난관조영술: 난관의 염주알모양 협착, LN 석회화 소견

4) 치료

(1) 항결핵제

(2) 자궁절제술 + 양쪽난관절제술(TAH + BSO) (항결핵제에 반응 없을 경우)

골반염 정리

원인균

• 임균(N. gonorrhoeae), 클라미디아(C. trachomatis) → 주로 성적 접촉 매개

임상양상

• 골반통, 발열, 화농성 질분비물

• 하복부 dT/rT(+/+), 자궁경부 운동성 통증

치료

• (Cefoxitin/cefotetan/ceftriaxone) + (doxycycline/azithromycin)

• (Gentamicin/ceftriaxone) + clindamycin

합병증

• 난관난소농양: 골반 덩이 + multiloculated 어두운 cyst → 항생제에 호전 없으면 배농

Berek & Novak 16e, pp.374-375

CDC guideline, 2021

부인과 감염질환

질염

부인과 감염질환

외음부 질환