간세포암
: Hepatocellular carcinoma, HCC
간에서 발생할 수 있는 악성 종양 중 가장 흔하다. 엄밀히 말해서는 간내 담관암 등 다른 종양들도 '간암'이지만, '간암'이라고 할 경우 흔히 간세포암을 지칭한다. 간세포암은 다른 고형 종양들과 여러 다른 점들이 있다. 우선 특정한 영상학적 소견을 보일 경우 조직검사 없이 진단할 수 있기 때문에 해당 소견이 국시에 매우 빈출된다. 또한 일반적인 TNM 병기가 아니라 다양한 병기 시스템이 존재하는데, 종양의 크기/개수/위치와 환자의 간기능 등에 따라 치료가 계속 달라지게 되며 이 또한 국시에 꽤 구체적으로 출제된다. 이를 위해 Child-Pugh score와 Milan’s criteria를 확실하게 외우고, 각 치료 방법의 적응증을 명확히 알고 있어야 한다.
1. 개요
1) 원인
(1) 간경변(liver cirrhosis, LC): 80%
(2) 만성 B형/C형 간염: 간경변이 아직 발생하지 않은 상태에서 HCC가 생기기도 함
2) 역학: 한국은 B형 간염의 유행지역이고, 바이러스 수직감염이 많아 가족력이 많음
2. 임상양상
1) 주호소
(1) 무증상: 검진상 간 종괴가 발견되어 내원하는 경우도 많음
(2) 복부불편감, 복통, 복부덩이, 소화불량
2) 기타 증상 및 징후
(1) 간염/간경변 관련 증상: 피로, 황달, 복부팽만(복수) 등
(2) 진행된 경우: 체중감소 등
3. 검사소견
1) 종양표지자
(1) 알파태아단백(α-fetoprotein, AFP) ≥ 400 ng/dL
① 위양성 많음: 만성 간염, 간내담관암, 대장암의 전이 등에 의해서도 상승 가능
② 확진보다는 선별검사(+ US), 완치 후 재발 평가에 유용
(2) PIVKA-II 상승
2) 기타 혈액검사
(1) 간 세포 파괴: 정상 or AST/ALT↑
(2) 간 합성기능 부전: PT↑(응고인자 합성장애), 알부민↓
(3) 간경변의 합병증: Pancytopenia(비장비대 등)
3) US: HCC의 선별검사로 사용됨(HBV, HCV, LC 등 고위험군에 대해 6개월마다 시행)
(1) Mosaic pattern & hypo/hyper/mixed echo: Heterogeneous
(2) Irregular margin & Hypoechoic halo: Malignant sign

4. 진단
1) 역동적(dynamic) 조영증강 CT/MRI
(1) 과정: 조영제를 1회 주입 후 여러 타이밍에 걸쳐서 CT/MRI를 촬영함
• 비조영증강기, 동맥기, 문맥/정맥기, 지연기에 나누어 촬영
(2) 소견: Early enhancement & early washout
① HCC의 주된 혈액공급원: Hepatic artery
② 기타 간조직의 주된 혈액공급원: Portal vein
③ 따라서 HCC는 동맥기에 주변부보다 먼저 밝게 조영증강되며, 문맥/정맥/지연기에 주변부보다 먼저 어둡게 조영증강됨
(3) HCC 확진 기준: 아래를 모두 만족할 때 가능
① Early enhancement & early washout이 확인됨
② ≥ 1cm
③ 간경변 or 만성 B형/C형 간염 과거력
* Early enhancement & early washout 외에도 capsule enhancement, 6개월 내 2배 이상 크기 증가 등의 기타 기준들을 참고하여 HCC의 가능성을 5단계로 나눈 LI-RADS system이 있으나, 국시에서는 모르더라도 무방하다. 크기 < 1cm일 경우 영상의 질이 낮아지므로 HCC를 확진하기 어렵다. 또한 간경변/HBV/HCV 과거력이 없을 경우 임상적으로 HCC일 가능성이 낮기 때문에, 위 영상소견을 보이더라도 확진을 위해서는 조직검사가 필수적이다. HCV의 경우 서양 교과서/가이드라인에서는 진단 기준에 해당하지 않으나, 국내 가이드라인에는 포함되어 있다.


2) 조직검사: 간생검(중심침생검, core needle biopsy)
• Dynamic CT/MRI에서 HCC 확진을 실패했으나 HCC가 의심될 경우 시행
3) 병기 설정: 가슴 CT (PET, bone scan 등 고려)
• 혈관/담도계 침범, 림프절 전이, 복강 내 전이 등은 이미 촬영한 dynamic CT/MRI에서 확인
5. 치료 전 평가
치료방침 설정에 있어서 병기와 더불어 가장 중요한 것은 아래 3가지이다.
1) ‘간 절제술을 받은 후 남아있는 간으로 생활할 수 있을만큼 간기능이 좋은가’ = Child-Pugh score로 평가
2) ‘간이식을 시행하면 완치될 수 있을 정도로 암이 적은가’ = Milan criteria로 평가
3) ‘전신마취 하 수술을 받을 수 있는 전신적 상태인가’ = ECOG로 평가
1) 간기능에 대한 평가: Child-Pugh Score(전부 외워야 함)
항목 | 1점 | 2점 | 3점 | |
총빌리루빈 (mg/dL) | < 2.0 | 2 ~ 3 | > 3 | |
알부민 (g/dL) | > 3.5 | 2.8 ~ 3.5 | < 2.8 | |
PT | INR | < 1.7 | 1.7 ~ 2.3 | > 2.3 |
연장된 시간 (초) | < 4 | 4 ~ 6 | > 6 | |
복수 | 없음 | 쉽게 조절됨 | 쉽게 조절되지 않음 | |
간성 뇌증 | 없음 | 경함 (grade 1~2) | 심함 (grade 3~4) | |
총점 합산 | ||||
Class A: 5~6 | 간기능 양호, 대부분 간 절제술 가능 | |||
Class B: 7~9 | 간기능 중등도, 경우에 따라 다른 치료법 선택 | |||
Class C: 10~15 | 간기능 저하, 간절제술 불가능 | |||
* 추가적으로 문맥압 항진 여부(비장비대, 정맥류, PLT 감소), ICG test 결과 등을 고려한다. ICG test는 indocyanine green이라는 간에서 흡수되어 담즙으로만 배설되는 물질을 정맥으로 주사한 뒤 15분 후 채혈하여 ICG의 혈액 내 잔류량(= R15)을 확인하는 검사로, ICG R15 > 40일 경우 간절제술이 불가할 정도의 심한 간기능 저하를 시사한다.
2) 간이식 가능성에 대한 평가: 밀란 척도(Milan criteria, 전부 외워야 함)
간세포암에서 간이식이 가능한 기준 |
• 5cm 이하의 단일 병변 or 3cm 이하의 병변이 3개 이하 |
• 간외 병변 없음: 원격, 림프절 전이 등 |
• 혈관 침범의 증거가 없음 |
3) 전신 상태에 대한 평가: ECOG performance stage (0~2점은 보통 수술 가능)
(1) 0점: 정상
(2) 1점: 가벼운 일은 가능
(3) 2점: Self-care만 가능, 비수면 중 침대에 있는 시간 < 50%
(4) 3점: 제한적인 self-care만 가능, 비수면 중 침대에 있는 시간 > 50%
(5) 4점: 완전히 bed-ridden
(6) 5점: 사망
6. 치료의 종류
1) 간절제술(resection)
(1) 전제조건
① 단일 병변
② 양호한 간기능: Child-Pugh class A + 일부 class B
③ 양호한 전신 상태: ECOG 0
(2) 술식: Lobectomy, segmentectomy, wedge resection 등
• 수술 전 간문맥색전술(portal vein embolization) 고려
* 절제해야 하는 방향의 간문맥을 막을 경우, 절제 후 남아있을 방향의 portal v.으로 혈류가 증가해 남아있을 간의 크기를 증가시킬 수 있다. 이를 통해 수술 후 발생할 수 있는 간기능의 저하를 줄일 수 있다.
2) 간이식(liver transplantation, LT)
(1) 전제조건
① Milan criteria를 만족
② 양호한 전신 상태: ECOG 0
③ 기타 악성종양 or 면역억제제의 금기증 없음
(2) Milan criteria를 아슬아슬하게 불만족할 경우 국소지역적 치료를 먼저 시행해 Milan criteria를 추후에 만족하도록 유도할 수도 있음
3) 국소지역적 치료(locoregional therapy, LRT)
(1) 국소절제술(ablation)
① 전제조건
• 종양 개수 < 3개 & 크기 ≤ 3cm
• Portal 침범, LN 전이, 원격 전이 없음
• 적당한 간기능: Child-Pugh class A, B
② 술식: 고주파(radiofrequency), 에탄올 주입 등
(2) 동맥 내 시술(intraarterial therapy)
① 전제조건
• 간절제술, 간이식의 대상자 아님(다수 병변, Milan criteria 불만족 등)
• Portal 침범, LN 전이, 원격 전이 없음
• 적당한 간기능: Child-Pugh class A, B
② 술식: Transarterial chemo/radio-embolization(TACE/TARE)
• 시술을 통해 종양 근처 hepatic a.에 직접 항암제 or 방사선동위원소 주입
(3) 방사선 치료
① 전제조건
• 간절제술, 간이식의 대상자 아님(다수 병변, Milan criteria 불만족 등)
• Portal 침범, LN 전이, 원격 전이 없음
• 적당한 간기능: Child-Pugh class A, B
② 술식: External beam radiation therapy(EBRT) 등
4) 전신 치료(systemic therapy)
(1) 항암화학치료: 면역치료제, 표적치료제
① 전제조건
• Portal 침범 or LN 전이 or 원격 전이
• 적당한 전신상태: ECOG 1~2 (항암치료를 견딜 수 있음)
② 1st line: Atezolizumab + bevacizumab, durvalumab + tremelimumab
③ 2nd line: Sorafenib, lenvatinib, durvalumab (1st line으로 사용할 수도 있음)
④ 3rd line: Regorafenib, cabozantinib, ramucirumab
(2) 기타 고식적(palliative) 치료
① 전제조건
• 나쁜 간기능(Child-Pugh class C) & 간이식 대상자 아님
• 나쁜 전신상태: ECOG 3~4 (전신마취, 항암치료 불가능)
② 통증조절, 대증치료 등
7. 치료의 선택
아래 알고리즘은 교과서, AASLD guideline, NCCN guideline을 참고하여 국시 문제를 풀기에 적합하게 변형한 것으로, 모든 내용을 포함하지 않는다. 또한, 대한간암학회 가이드라인은 위 서양 reference와는 다르게 BCLC staging이 아닌 mUICC staging system을 채택하고 있다. BCLC와 mUICC가 상충되는 경우는 거의 없으므로 국시 문제를 푸는 데 있어서 큰 차이는 없다. 자세한 BCLC staging과 mUICC staging이 궁금한 경우 다음 참고
1) 다른 조직 침범 없음(portal, LN, 원격전이)
(1) 단일병변 & Child-Pugh A → 간 절제술
• ≤ 3cm인 경우 ablation을 간 절제술 대신 일차치료로 고려할 수 있음
* 정확히는 문맥압과 bilirubin이 정상이어야 간 절제술을 시행할 수 있으나, Child-Pugh A면 문맥압과 bilirubin이 보통 정상이므로 국시 문제를 풀 때는 크게 중요하지 않다.
(2) Milan criteria 만족하는 경우
① 이식 후보 → 간이식
• 수술이 가능한 전신상태(심폐기능, 나이 등), 면역억제제 복용 가능 등
② 이식 후보 아님 & ≤ 3cm → ablation(RFA, 에탄올 등)
(3) Multinodular: Intraarterial embolization(TACE, TARE)
2) 다른 조직 침범 있음(portal, LN, 원격전이): 전신 항암치료
8. 합병증
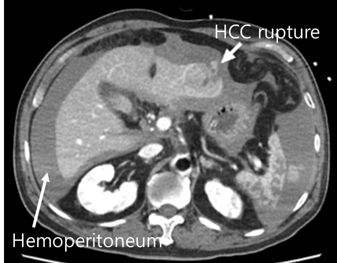
1) 파열 및 출혈
(1) 임상양상: 갑자기 발생하는 복통 → 이후 복부팽만 및 hypovolemic shock
① 복부팽만: 출혈 및 hemoperitoneum에 의해 발생
• 이동둔탁음 등 복수와 유사한 양상 보일 수 있음
② Hypovolemic shock: 어지러움, 저혈압, 빈맥, 빈혈 등
(2) 진단
① CT: HCC의 크기, 위치, 출혈량 등을 전반적으로 파악 가능
② US: 빠르게 intraperitoneal fluid(= hemoperitoneum) 확인 가능
(3) 치료
① 간동맥색전술(hepatic artery embolization): 인터벤션 시술을 통한 빠른 지혈
② 수술: 간동맥색전술이 실패했을 때
2) HCC의 mass effect
(1) 폐쇄성 황달: Mass가 충분히 클 경우 bile duct를 눌러 담도폐쇄 발생
(2) Budd-Chiari syndrome: Mass가 충분히 클 경우 hepatic vein을 누름
3) 기타: Hemobilia, fever of unknown origin, paraneoplastic syndrome(hyperCa 등)
간세포암 정리 | |
원인 | • 간경변, 만성 B형/C형 간염 |
임상양상 | • 무증상 → 복부불편감, 소화불량, 복통 등 • 기타 간경변 관련 임상양상 |
진단 | • Dynamic CT/MRI: 아래 모두 만족시 확진 - Early enhancement & early washout - ≥ 1cm - 간경변, 만성 B형/C형 간염 과거력 |
치료 | • 단일 병변 & 간기능 좋음: 간절제술 • Milan criteria & 간기능 나쁨: 간이식 • 여러 병변 & 간절제술/간이식 불가: TACE • Portal/LN/원격 전이: Atezolizumab + bevacizumab, sorafenib 등 |
간담췌-간경변 및 합병증
담즙성 간경변
간담췌-간농양 및 기타 간질환
간농양