담관암

: Cholangiocarcinoma

담관암 또한 담낭암처럼 외과 단원에서 더 깊이 다루고 있다. 체중감소 등 악성 질환을 시사하는 임상양상과 함께 담즙정체가 확인될 때 반드시 의심해야 하며, 영상검사를 보고 담관암임을 알 수 있어야 한다. 원위부 담관암의 경우 췌두부암, 바터팽대부암, 십이지장암과 더불어 periampullay cancer에 해당하고, 이들은 모두 비슷한 임상양상을 나타내므로 같이 알아두는 것을 권한다.

1. 개요

1) 역학: 고령에서 호발, 남성/여성 비율은 비슷

2) 분류

(1) 간내담관암(intrahepatic): Rt./Lt. hepatic duct보다 작은 담관

(2) 간문부담관암(perihilar): Rt./Lt. hepatic duct ~ common hepatic duct와 cystic duct가 만나는 지점

* Perihilar 대신 hilar, proximal 등으로 부르기도 하며, Klatskin tumor라고 부르기도 한다.

(3) 원위부담관암(distal): Common hepatic duct와 cystic duct가 만나는 지점 ~ ampulla of Vater

3) 위험인자: 담관에 만성 염증을 일으킬 수 있는 다양한 요인

(1) 일차성 경화성 담관염(primary sclerosing cholangitis, PSC)

(2) 총담관낭(choledochal cyst), 담췌관합류이상(APBDU)

(3) 간내담석증(hepatolithiasis, intrahepatic bile duct stone)

(4) 간흡충(Clonorchis sinensis 등) 감염

(5) 재발성 화농성 담관염(recurrent pyogenic cholangitis, RPC): 동남아시아인에게 호발하는 간내담석 및 관련 담관염 질환

(6) 간염 바이러스(HBV, HCV), 간경변 등

2. 임상양상

1) 주호소: 무통성 황달

(1) 담관이 폐쇄되어 담즙 정체 발생 → bilirubin이 배설되지 못하고 혈중으로 유리

(2) 전신 가려움증(pruritus), 진한 소변색 등 동반

(3) 간내담관암에서는 흔하지 않음

* 종양에 의한 담도 폐쇄의 경우 일반적으로 총담관담석에 의한 담도 폐쇄보다 더 만성적으로 발생하므로, 담관이 더 느리게 확장하기 때문에 통증이 동반되지 않는 경우가 흔하다.

2) 기타 증상 및 징후

(1) 복부불편감, 복통, 소화불량

(2) RUQ 복부덩이: Courvoisier's sign - 무통성 황달에 동반된 담낭 비대는 담석이 원인이 아닐 가능성이 높음

• Periampullary cancer를 시사하는 징후 (원위부담관암, 췌두부암, 바터팽대부암, 십이지장암 등)

(3) 체중감소, 피로

(4) 발열: 급성 담관염 동반시

3. 검사소견

1) Bilirubin, ALP/GGT 상승: 담도 폐쇄를 시사함

2) 종양표지자: CEA, CA 19-9 상승 (단, 민감도/특이도가 낮아 확진보다는 재발 감시에 유용)

* Lewis antigen이 없는 환자들의 경우 CA 19-9이 상승되어 있지 않을 수 있다.

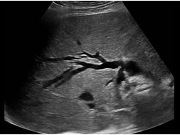
3) 복부 US: 간내담도 확장 확인 가능 (종양 자체를 찾기는 어려운 경우가 많음)

4. 진단

1) 복부 CT/MRI: 종양의 유무, 위치, 침윤 정도, 전이 평가에 적합

(1) 간내담관암: 동맥기에 peripheral enhancement되어 문맥/정맥/지연기에 지속됨, 일측성인 경우 동측 lobar atrophy

(2) 간문부담관암: 간문부 주변의 종양 + intrahepatic bile duct의 확장

(3) 원위부담관암: Distal CBD의 종양 + CBD/CHD/intrahepatic duct의 확장

2) 담관조영술: MRCP, ERCP, PTC 등

• 종양의 담도 내 침범 범위를 파악하는데 적합

3) 상부/하부위장관 내시경: 간내담관암의 경우 위암/대장암 등의 전이성 병변이 오진되었을 가능성이 있어 원발암을 찾기 위해 시행

4) 병기 설정: 간내담관암, 간문부담관암, 원위부담관암의 병기와 치료 참고

5. 치료

1) 근치적 수술: 완치를 시도할 수 있는 유일한 치료

(1) 간내담관암: 간 절제술

(2) 간문부담관암: CBD + GB + 간 일부 + LN

(3) 원위부담관암: 췌십이지장절제술(pancreaticoduodenectomy)

(4) 대부분 adjuvant CTx(capecitabine) 고려

* 수술적 치료에 대한 자세한 내용은 외과각론 단원에서 다루고 있다.

2) 고식적 치료: 근치적 절제가 불가능한 경우(간의 양쪽 lobe 침범, major vessel 침범, LN 전이, 원격 전이 등)

(1) 전신적 항암화학치료: Gemcitabine + cisplatin (+ pembrolizumab/durvalumab)

(2) 담즙 배액: 황달 완화, 담관염/간부전 방지

PTBD(+ stent): 폐색 위치가 proximal하여 경피적 접근이 용이할 경우

ERBD/ENBD(+ stent): 폐색 위치가 distal하여 내시경적 접근이 용이할 경우

* 근치적 절제가 가능한 환자에서도 수술 전 담즙을 빨리 배액해야 한다면 시행할 수 있다.

(3) 수술: 담도 폐쇄를 해결하기 위한 bypass surgery 등 (거의 시행되지 않음)

3) 기타

(1) 진통제

(2) TACE/TARE: 절제 불가능한 간내담관암의 경우 해당 치료 후 절제가 가능해지는 경우도 있음

* TACE/TARE 등에 대한 내용은 간세포암 단원 참고

담관암 정리

위험요인

• PSC, 총담관낭, 간내담석증 등

임상양상

• 무통성 황달, 복부불편감, RUQ 복부덩이, 체중감소/피로 등

검사소견

• Bilirubin/ALP/GGT 상승, CEA/CA19-9 상승

진단

• CT, MRCP 등: 담관 mass + proximal bile duct dilatation

치료

• 간내담관암: 간절제술

• 간문부담관암: CBD + GB + 간 일부 + LN 절제술

• 원위부담관암: 췌십이지장절제술

• 황달: PTBD/ERBD/ENBD 등

Harrison 21e, pp.653-656

한국간담췌외과학회 가이드라인, 2023

NCCN guideline, 2024-5

간담췌-담도질환

담낭암

간담췌-이자질환

급성 췌장염