충수돌기염
이론과 하이라이트 히스토리를 확인 할 수 있어요.
: Appendicitis, 막창자꼬리염
임상적으로 매우 흔한 질환이지만, 제때 진단하지 못할 경우 치명적일 수 있으므로 매우 잘 알고 있어야 하는 질환이다. 그만큼 국시에 자주 출제되며, 급성 RLQ 압통이라는 임상양상만 보더라도 의심할 수 있어야 한다. 주로 CT를 통해 진단하며, 농양이 있을 경우에는 바로 수술하지 않고 배농 및 항생제 투여를 한 후에 지연된 수술을 한다는 사실이 중요하다. 또한, 산모의 증례가 꽤 비중있게 출제되는데, 산모의 경우 RLQ가 아닌 다른 위치에 충수돌기가 있을 수 있다는 사실을 인지해야 하며, CT 대신 초음파/MRI를 통해 진단한다는 사실이 중요하다.
1. 개요
1) 충수돌기(appendix, 막창자꼬리)
(1) 길이: 성인의 경우 약 9cm (2~20cm로 편차가 심함)
(2) 위치: Cecum 뒤에 위치하는 retrocecal의 경우가 가장 많음

2) 역학: 평생유병률 약 8%
3) 병태생리
(1) 다양한 원인에 의해 충수돌기의 내강이 폐쇄됨
• 대변/대변돌(feces/fecalith, m/c), 음식물, lymphoid hyperplasia, 종양, 이물질 등
(2) 폐쇄 후 염증 및 내부 세균 과증식 → 충수돌기의 overdistension → visceral pain
(3) 충수돌기의 염증이 peritoneum까지 번짐 → parietal pain
(4) 진행될 경우 충수돌기 천공 → 농양, 완전 천공 등 발생
2. 임상양상
1) 주호소: 급성 복통
(1) 초기: 배꼽 주변의 비특이적 내장통으로 시작 (충수돌기 overdistension이 원인)
(2) 후기: 우하복부에 국한된 복벽통으로 이동 (12~24시간 후, 염증의 peritoneum 자극이 원인)
* 참고: 복통의 종류
2) 기타 증상 및 징후
(1) 오심/구토, 소화불량, 식욕부진 등
(2) RLQ 압통 → 진행시 RLQ 반동압통
* 산모의 경우 전형적인 RLQ가 아닌 우측 옆구리 등 다양한 위치가 가능하다.
(3) 발열, 복부덩이 등: 천공에 의한 농양 시사
(4) 발열, 복부강직, 복부 전반의 반동압통: 천공에 의한 범복막염 시사
(4) 특징적 징후: 전부 parietal peritoneum의 염증 시사
① Rovsing’s sign: LLQ를 눌렀을 때 RLQ에서 통증 발생
② Psoas sign: 왼쪽으로 누웠을 때 right hip joint extension 시 통증 발생
③ Obturator sign: 바로 누워서 right hip이 joint flexion 된 상태에서 internal rotation 시 통증 발생
3. 진단
1) 복부 CT: 주로 1st line
(1) Appendiceal distension (> 7 mm)
(2) Appendiceal wall thickening
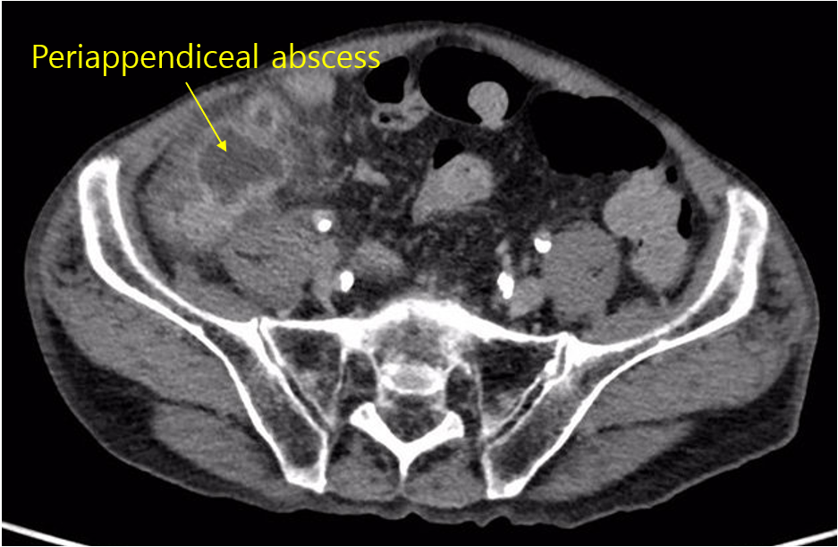
(3) Appendix 주위의 fluid collection, air (↔ appendix lumen 내부의 air는 정상 소견)
(4) 가끔 염증이 돌처럼 굳어버린 appendicolith가 고음영으로 관찰됨
2) 복부 US: 산모에서는 가장 먼저 시행
(1) 지름이 7mm 이상이고 눌러지지 않는 구조물
(2) 하얗게 enhance된 충수결석과 posterior shadowing

3) 복부 MRI: 산모에서 초음파로 확인이 어려운 경우
4. 치료
1) 수액 공급, 수술 전 항생제 등
2) Uncomplicated appendicitis: 천공의 증거(농양, 범복막염, V/S 불안정성 등)가 없는 경우
(1) 수술적 절제: 충수돌기절제술(appendectomy)
• 개복수술, 복강경 수술 모두 가능하나 복강경이 상대적으로 선호됨
(2) 비수술적 치료: 항생제 투여
* 환자가 수술을 거부하거나, 동반질환 등 전신적 상태가 수술을 받기 어려운 경우 고려할 수 있다. 최근 비수술적 치료가 수술적 치료에 비해 열등하지 않다는 연구들이 발표되고 있으나, 아직 국시에서 uncomplicated appendicitis에 대해 수술이 아닌 항생제가 정답인 문제는 출제되지 않았다. 단순 수술 전 항생제가 아니라 치료 목적의 항생제일 경우 G(-) 세균 및 혐기성 세균을 커버하기 위해 (3세대 cephalosporin or fluoroquinolone) + metronidazole 조합을 사용한다.
3) Complicated/perforated appendicitis: 천공의 증거가 있는 경우 (주로 수 일 ~ 수 주 동안 증상 지속)
(1) 농양 동반: 바로 수술하지 않음
① 항생제 투여 + 농양 배액(> 3cm일 경우)
② 진단 후 6~8주의 간격을 두고 interval appendectomy 시행
* Appendicitis 발병 후 오랜 시간이 지나 천공 및 농양 형성까지 이루어졌을 경우, appendix 뿐만 아니라 근처 ileum, cecum도 염증이 심한 경우가 많다. 이 경우 곧바로 수술하면 ileum/cecum을 충수돌기와 같이 절제해야 할 가능성이 높다. 따라서 우선 항생제를 투여해 염증을 가라앉힌 후, 추후 재발 방지 및 appendiceal cancer의 가능성 배제를 위해 interval appendectomy를 시행하는 것이다.
(2) 범복막염, V/S 불안정성 등 동반: 항생제 + 응급수술
* 위에서 설명한 바와 같이 곧바로 수술할 경우 ileum/cecum 등을 보존하기 어렵다. 하지만 범복막염, V/S 불안정성이 동반될 경우 즉시 수술적으로 source control을 해주지 않을 경우 치명적일 수 있으므로 ileum/cecum의 절제를 감수하는 것이다.
충수돌기염 정리 | |
임상양상 | • 급성 복통: 배꼽 주위 → RLQ로 이동 • RLQ 압통/반동압통 • 발열, 복부덩이: 천공 시사 |
진단 | • 복부 CT: 충수돌기 distension, wall thickening • 초음파: 충수돌기 지름 > 7mm |
치료 | • 농양 X: 충수돌기절제술 • 농양 O: 항생제 + 배액 → 6~8주 후 interval appendectomy |
Sabiston 21e, pp.1301-1315