복부 대동맥류
이론과 하이라이트 히스토리를 확인 할 수 있어요.
: Abdominal aortic aneurysm, AAA
국시에 거의 매년 빠지지 않고 출제되는 부분이지만 문제가 어렵지는 않다. 무증상 AAA의 초기 검사로는 US를 주로 사용한다는 것과, CT 소견을 잘 알아두고 시술/수술 적응증을 외우면 어렵지 않게 풀 수 있다. 단원의 끝에는 최근 한 번도 출제된 적 없는 흉부대동맥류를 간략하게 소개한다. 대동맥류 외의 다른 대동맥 질환인 급성 대동맥 증후군은 순환기 파트에서 다루고 있다.
1. 개요
1) 정의: 복부 대동맥의 지름이 50% 이상 증가한 경우
2) 원인: 동맥벽의 약화와 부분적인 압력 증가
(1) Degenerative(m/c): Atherosclerosis가 주된 원인
(2) Connective tissue 이상: Marfan syndrome, Loeys-Dietz syndome, Ehlers-Danlos syndrome type IV 등
(3) 감염(mycotic aneurysms), 염증, 자가면역
(4) Chronic aortic dissection의 합병증
3) 위험인자: 나이, 남성, 가족력, 흡연력, HTN, dyslipidemia, 큰 키, 기타 다른 동맥의 aneurysm
* 고령의 고혈압, 고지혈, 흡연력이 있는 키 큰 남성을 떠올리면 된다.
4) 파열의 위험인자
(1) 지름: 가장 중요함 (크거나 or 빠르게 커지면 파열의 위험 증가)
(2) 기타: 흡연, COPD 등
2. 임상양상
1) 주호소: 복통 (대부분 무증상)
• Rupture의 징조 → 응급 상황
2) 기타 증상: 복부 박동, 가슴/등/음낭통증
3) 신체진찰: 만져지는 박동성의 단단하지 않은 복부 덩이
• 주로 배꼽 근처에서 만져짐 / 몸 중앙, 다른 위치도 가능
4) 기타 상황별 증상/징후
(1) Leakage: 드물지만 심각한 통증과 압통
(2) Rupture: 급성 통증 및 저혈압 → 응급처치 필요
3. 진단
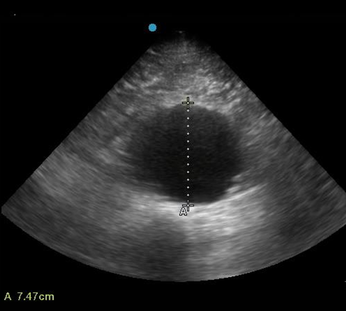
1) US
(1) AAA의 지름 측정: Serial screening으로 적합
(2) 혈전도 발견 가능하며, 대신 파열은 찾기 어려움
2) CT(조영증강): 다음을 파악해 치료방침을 결정할 때 유용
(1) 병변의 위치와 크기
(2) 석회화, 혈전 등
(3) 대동맥 파열 여부
4) MRI: CT와 비슷하나 석회화를 찾을 수 없음
4. 치료
1) 내과적 치료
(1) 고혈압 조절: BB, ARB
(2) Statin: Atherosclerosis 진행에 대한 치료
2) 시술/수술 적응증: ‘5’가 많이 나와 외우기 쉬움
(1) 유증상
(2) Abdominal aorta 지름 ≥ 5.5 cm
* 문헌에 따라서 여성의 경우 ≥ 5.0 cm을 기준으로 잡기도 하나, 국시에서는 주로 명확한 증례들이 출제되므로 그다지 중요하지 않다.
(3) 지름 변화 > 0.5 cm / 0.5년 (= 1 cm / 1년)
(4) Saccular 동맥류

3) 술식: 수술의 위험성과 동맥류의 해부학적 구조/위치 등을 고려해 결정
(1) 수술: 복부동맥류 절제 + 인조혈관으로 치환
(2) 시술: 혈관 내 stent graft 삽입술(endovascular aneurysm repair, EVAR)
① Femoral a. 등의 arterial access를 통한 vascular intervention 시술
② 단기적 outcome은 수술에 비해 좋으나, 장기적 outcome은 동등함
(3) 합병증
① 협착/폐쇄: Stent 내부로 endothelial cell이 침범 → 혈전 형성 등
② 혈관누출(endoleak): Graft 내부/근처에서 혈액이 샘 → type I과 III는 repair 필요
③ Aortoenteric fistula: Graft와 duodenum이 서로 지속적으로 접촉하다가 샛길 형성 → 대량 위장관 출혈
④ 척수손상: 시술/수술로 인해 spine 혈류 공급이 차단될 경우 하지마비 발생 가능
⑤ 기타: 감염, stent 이탈 등
4) 파열: 즉시 응급수술 or EVAR
5. 흉부대동맥류(thoracic aortic aneurysm, TAA)
임상양상, 진단, 치료는 AAA와 전반적으로 유사하며, 세부적인 부분에서 미세한 차이가 있다.
1) 진단
(1) 경흉부초음파(TTE): Asc. aorta 또는 aortic root aneurysm에 동반된 대동맥판 역류 파악에 효과적
(2) 경식도초음파(TEE): 더 정확한 평가가 가능하나, 선별검사로 사용하기 어려움
(3) CT/MRI: 치료방침 설정을 위해 중요
2) 치료
(1) 내과적 치료: AAA와 유사 (BB/ARB로 혈압조절 + atherosclerosis가 원인인 경우 aspirin 추가)
(2) 시술/수술 적응증: AAA와 유사함
① Marfan syndrome, bicuspid aortic valve 등이 동반된 경우 < 5.5 cm도 치료 고려
② Thoracoabdominal aortic aneurysm의 경우 주로 ≥ 6.0 cm부터 치료 고려
③ 지름 변화 > 0.5 cm / 1년일 때 치료 고려 (↔ AAA는 0.5 cm / 0.5년)
(3) 수술 or EVAR의 선택
① 수술: Aortic root, asc. aorta, aortic arch, thoracoabdominal aorta, Marfan syndrome 등 동반
② EVAR: Desc. thoracic aorta
AAA 정리 | |
위험요인 | • 나이, 남성, 가족력, 흡연력 • HTN, DL, Marfan syndrome 등 |
임상양상 | • 무증상 → 복통, 박동성 복부덩이 • 파열시 급성 통증, 저혈압 |
진단 | • US: Serial screening으로 적합 • CT: 위치, 크기, 파열 여부 확인에 적합 |
치료 | • 약물치료: 고혈압 조절(BB, ARB), statin • 시술/수술 - 적응증 - 시술: 혈관 내 stent graft 삽입술 - 수술: 복부동맥류 절제 + 인조혈관으로 치환 |
Sabiston 21e, pp.1747-1752