기타 혈관성 폐질환

이론과 하이라이트 히스토리를 확인 할 수 있어요.

폐의 혈관성 질환 중 대부분은 폐색전증 또는 폐고혈압이며, 이는 각 단원에서 다루고 있다. 본 단원에서는 상대적으로 드문 질환들을 다루고 있으며, 이 중 최근 국시에 정답으로 출제된 질환은 단 하나도 없다. 미만성폐포출혈이 드물게 임종평에 출제된 적은 있으며 나머지 질환들은 오답 선지로밖에 등장하지 않았으므로, 본 단원 전체를 건너뛰어도 무방할 것으로 보인다. 미만성폐포출혈은 객혈과 함께 영상검사에서 bilateral diffuse opacities가 보이면 고려할 수 있으며, BAL을 반복적으로 시행했을 때 점점 혈성 검체로 바뀌는 경우 의심해야 하고, 연관되어 있는 결체조직질환(혈관염 등)이 있는지 확인해야 한다. 미만성폐포출혈을 간질성 폐질환의 일부로 분류하는 경우도 있다.

1. 미만성폐포출혈(diffuse alveolar hemorrhage, DAH)

1) 개요

(1) 정의: 폐의 미세순환에 문제가 생겨 광범위한 폐포내 출혈을 특징으로 하는 중증 질환

* 일반적인 페출혈 질환(폐렴, 기관지염, 기관지확장증, 폐암, 폐경색, 동정맥혈관종 등)이 국소적인 출혈을 일으키는 것과는 달리 폐에 존재하는 대부분의 폐포에서 출혈이 발생하는 것이 특징이다.

(2) 원인 질환

혈관염: GPA, MPA, EGPA, 베체트병, HSP, isolated pulmonary capillaritis 등

면역질환: Anti-GBM disease, SLE

③ 특발성 폐 헤모시데린증(idiopathic pulmonary hemosiderosis)

④ 응고장애

⑤ 기타: 약물/독성물질, 미만성 폐포손상, 승모판협착

2) 임상양상

(1) 주호소: 객혈 (대량 객혈이 흔함)

(2) 기타 증상 및 징후: 기침, 호흡곤란, 흉통, 발열, 수포음

3) 검사소견

(1) 혈액 및 소변검사

CBC: 빈혈, leukocytosis

BUN/Cr 상승, U/A상 혈뇨, 단백뇨 등: 혈관염 등이 신장도 침범했음을 시사

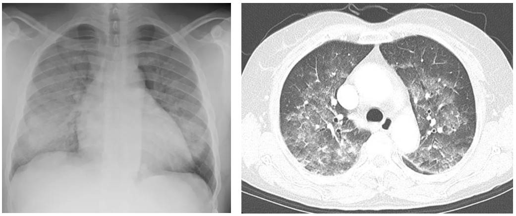
(2) CXR: Diffuse alveolar opacity

(3) CT: Bilateral GGO or patchy consolidation

4) 진단

(1) 기관지폐포세척(bronchoalveolar lavage, BAL)

혈성 검체

연속적으로 시행했을 때 색이 점점 진해지고, RBC 개수도 늘어나는 것이 특징

(2) 원인 질환 감별

① 소변검사

② 자가항체: ANA, ANCA, anti-GBM Ab 등

③ 수술적 폐생검: 원인 질환이 명확하지 않을 때

④ 신장생검: 혈관염, anti-GBM disease 등이 의심되나 혈청학적 진단이 어려울 때

5) 치료

(1) 혈관염, anti-GBM disease: 전신 steroid (+ 면역억제제, + 혈장교환술)

(2) 기타 질환: 원인 질환 치료

2. 특발성 폐 헤모시데린증(idiopathic pulmonary hemosiderosis, IPH)

* 특발성 폐 혈철소증이라고도 부른다.

1) 개요

(1) Alveolar macrophage 내부에 철이 hemosiderin의 형태로 축적되어 빈혈, 폐출혈을 일으키는 질환

(2) 역학: 대부분 소아에 호발

(3) 병태생리: 정확히 알려지지 않음(fungus exposure, celiac disease 등과의 연관성 보고됨)

2) 임상양상

(1) 주호소: 객혈 (DAH의 형태로 자주 발생)

(2) 기타 증상 및 징후: 호흡곤란, 기침, 흉통, 피로

3) 검사소견

(1) 혈액검사: Hb↓

(2) CXR, CT: DAH의 영상소견

(3) PFT: Restrictive pattern

4) 진단: 폐생검 (조직검사 없이는 혈관염의 일종인 isolated pulmonary capillaritis와 구분할 수 없음)

5) 치료: Steroid, azathioprine 등 고려 가능

3. 폐 동정맥기형(pulmonary arteriovenous malformation, PAVM)

1) 개요

(1) 폐동맥과 폐정맥이 capillary를 경유하지 않고 곧바로 이어지는 질환

(2) 원인

① 유전성 출혈 모세혈관확장증(hereditary hemorrhagic telangiectasia, HHT): 유전적으로 폐, 뇌, 위장관 등에 AVM 및 telangiectasia가 다발성으로 발생하는 질환

② 특발성(idiopathic)

2) 임상양상

(1) 출혈 합병증: 객혈, 혈흉, 뇌출혈 등

(2) R→L shunt 합병증: 호흡곤란, 청색증 등

3) 진단

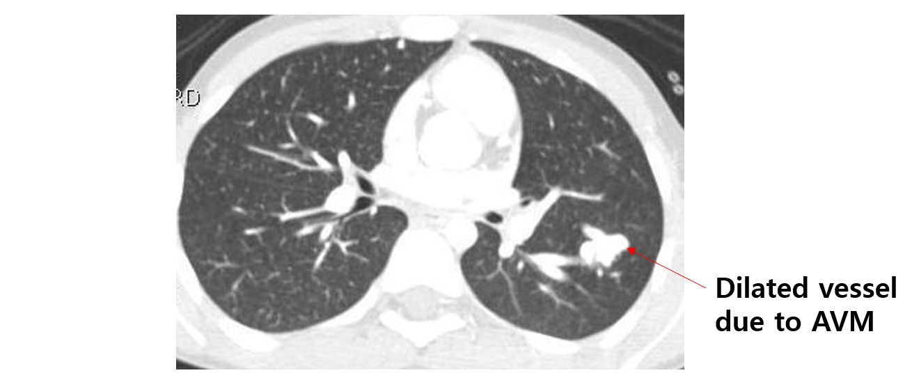
(1) 폐혈관 CT: Artery→vein shunt로 인해 dilated된 vessel 및 주변의 artery/vein

(2) Agitated saline echocardiography

* 9 mL N/S와 1 mL의 air을 흔들어 섞어 기포로 가득 찬 N/S를 만들어 IV로 주입하고, 기포를 조영제 삼아 심초음파로 관찰하는 검사를 의미한다. PAVM에 의한 R→L shunt가 있을 경우 기포들이 pulmonary capillary에서 흡수되지 않아 심초음파에 잘 보이게 되며, 이것을 통해 R→L shunt가 있을 것이라고 짐작하는 것이다.

4) 치료: Embolization 시술 (무증상인 경우도 포함)

4. 기타

1) 기관폐분리증(bronchopulmonary sequestration)

(1) 주로 발생학적 원인에 의해 폐의 일부가 airway와 폐순환과 연결되지 않으며, 체순환과만 연결되어 있는 질환

(2) 진단: 폐혈관 CT - consolidation, cystic lesion 등이 관찰됨

(3) 치료: 수술적 제거

2) 폐동맥류(pulmonary artery aneurysm)

(1) 폐고혈압, 감염, 외상 등에 의해 폐동맥의 일부가 dilation되어 동맥류를 형성하는 질환

(2) 진단: 폐혈관 CT

(3) 치료: 원인 질환 치료, 대량 객혈시 embolization

3) 폐정맥류(pulmonary vein varix)

(1) 승모판역류, 선천성 심질환, 간경변 등에 의해 폐정맥에의 역행성 압력이 증가해 정맥류가 형성되는 질환

(2) 진단: 폐혈관 CT

(3) 치료: 대량 객혈시 수술적 제거

4) 체순환-폐순환 션트

(1) 주로 발생학적 원인에 의해 bronchial artery가 pulmonary artery와 shunt를 형성하는 질환

(2) 진단: 폐혈관 CT

(3) 치료: 유증상시 embolization → 수술적 제거

Murray & Nadel 7e, pp.1212-1220, 1301-1313