종격동 질환
: Mediastinal diseases, 세로칸 질환
1년에 한문제 꼴로 출제되는 영역이며, 대략적으로 어떤 질환인지 아는 정도로 공부하면 충분하다. 종격동 종괴는 일반적으로 anterior mediastinum의 thymoma가 많이 출제되며, 식도 천공 및 파열에 의해 발생되는 급성 종격동염도 간간히 출제된다.
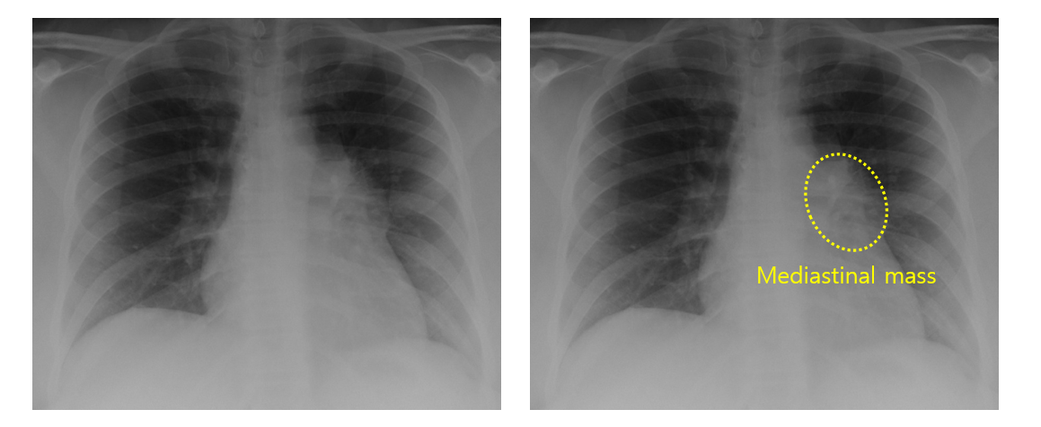
1. 종격동 종괴(mediastinal mass)
1) 총론
(1) 종격동의 영역에 따른 구성 장기, 종괴
* Superior mediastinum을 따로 구분하지 않기도 함
분류 | 전방(anterior) | 중앙(middle) | 후방(posterior) |
구성 장기 | • Thymus • Ant. mediastinal LN • Internal mammary a./v. | • Heart, pericardium • Asc. aorta, aortic arch • SVC/IVC, pulmonary a./v. • Trachea, main bronchi • Phrenic nerves | • Desc. aorta • Azygos/hemiazygos v. • Esophagus • Thoracic duct • Paravertebral symp. nerves |
종괴 | • Thymoma • Germ cell tumors • Lymphomas • Thyroid mass • Parathyroid mass | • LN enlagement • Bronchogenic cysts • Pleural cysts | • Neurogenic tumors • Meningocele |
(2) 임상양상: 무증상 or 주변 장기, 신경 침범에 의한 증상
• 흉통, 호흡곤란, 기침, 객혈, 목 쉼, 삼킴곤란
(3) 진단
① CXR/CT: 1st line
② 기타: 상부위장관 Ba 조영술, 핵의학 스캔, 종격동경(mediastinoscopy 등)
2) 전방 종격동
(1) 가슴샘 종양(thymoma, 흉선종): 전방에서 m/c
① 동반 가능 질환
• 중증근무력증(myasthenia gravis): 근육을 사용할 때마다 점진적으로 악화되는 근력저하
• 기타: Pure red blood cell aplasia, hypogammaglobulinemia, myocarditis
② 치료: 수술적 절제 (악성일 경우 침범 정도에 따라 CTx, RT 고려)
(2) 생식세포종양(germ cell tumor, GCT)
① 분류
• 기형종(teratoma): 인체 발생의 3개 배엽에서 기원한 조직이 포함됨 (지방, 머리카락, 치아 등)
• 기타: 정상피종(seminoma), 비정상피종(non-seminoma GCT)
② 진단: CT + β-hCG + AFP (부인과 생식세포종양 단원 참고)
③ 치료: 수술적 절제 (악성일 경우 종류에 따라 CTx, RT 고려)
(3) 흉강 내 갑상샘/부갑상샘종(intrathoracic goiter / parathyroid adenoma)
① 갑상샘/부갑상샘이 목에서 전방 종격동으로 이동 → 크기가 커질 경우 증상 유발
② 진단: CT + 핵의학 스캔(123I scan, 99mTc sestamibi scan 등)
③ 치료: 수술적 절제
(4) 기타: 림프종, 지방종 등
3) 중앙 종격동
(1) 림프절 비대: > 1 cm일 경우 악성 가능성 높아 경기관지/종격동경 생검 시행
(2) 기관지성 낭종(bronchogenic cyst): Trachea ~ main bronchus 주위의 cyst → 수술적 제거
(3) 심낭성 낭종(pericardial cyst): Pericardium 주위의 cyst → 경과관찰 후 커지면 수술적 제거
4) 후방 종격동: 대부분 신경원성 종양(neurogenic tumor)
(1) Paravertebral ganglia 등에서 기원한 종양
(2) 치료: 수술적 절제
2. 종격동기종(pneumomediastinum, 세로칸공기증)
1) 원인
(1) 폐포 파열로 인한 공기 유입 (기저 폐질환 동반이 흔함)
(2) 식도, 기도, 주기관지 등의 파열/천공
* 주로 심한 구토로 인한 식도 파열(Boerhaave syndrome)이 증례에 주어진다.
(3) 목, 복강으로부터의 공기 유입
2) 임상양상
(1) 주호소: 흉골 하 통증 (+ 목, 팔의 방사통)
(2) 징후
① 흉골위패임(suprasternal notch)의 피하기종(만지면 비빔소리)
② Hamman’s sign (apex에서 심음과 맞추어서 들리는 crunching/clicking noise)
3) 진단: CXR에서 종격동 주위로 보이는 line을 찾아서 진단

4) 치료: 원인에 따라 다름
(1) 폐포 파열, 목, 복강으로부터의 공기 유입: 보통 자연관해, 산소치료
(2) 식도/기도/기관지 파열: 주로 수술적 치료 필요
3. 급성 종격동염(acute mediastinitis, 급성 세로칸염)
1) 개요
(1) 원인
① 식도/기도 천공: 구토로 인한 Boerhaave syndrome, 관통 외상, 식도위내시경의 합병증 등
② 심장 수술(정중흉골절개, median sternotomy)의 합병증
③ 얼굴, 인후두에서 내려오는 하행성 감염
(2) 합병증: 패혈증, 대혈관 침범 및 파열, 심장 눌림증 → 사망
2) 임상 양상
(1) 주호소: 급성 흉통(호흡과 기침시 악화), 목 통증, 호흡곤란
(2) 징후: 고열, 오한, 빈맥, 빈호흡, 쇄골상 충만, 흉골 주위 압통
3) 진단: CT - 종격동기종, 종격동 내 염증, 기포 등
4) 치료: 광범위 항생제 + 배액(수술적, 경피적, 내시경적 등)
4. 만성 종격동염(chronic mediastinitis, 만성 세로칸염)
1) 개요
(1) 원인: Histoplasma 등의 감염에 대한 면역반응 → LN의 fibrosis가 종격동의 기타 기관으로 파급
(2) 분류
① 섬유화성 종격동염(fibrosing mediastinitis): Fibrotic mass가 LN 근처에서 시작되어 대혈관 등을 침범
② 종격동 육아종(mediastinal granuloma): Necrotic mediastinal LN가 모여 하나의 큰 육아종을 형성해 대혈관 등을 압박
2) 임상양상: 흉통, 호흡곤란, 객혈, SVC syndrome 등
3) 진단: CT
4) 치료: 대혈관 stent 삽입, rituximab 고려, 필요시 경피적/수술적 배액
종격동 질환 정리 | ||
종격동 종괴 | 전방 | • 가슴샘종양(thymoma, 흉선종) - 중증근무력증 동반 가능 → 수술적 절제 (+ CTx/RTx) • 생식세포종양(germ cell tumor) - 기형종(teratoma): CT상 fat + calcification → 수술적 절제 |
중앙 | • LN 비대, bronchogenic/pericardial cyst | |
후방 | • Neurogenic tumor | |
종격동기종 | • 임상양상: 흉통, 흉부 비빔소리(피하기종) • 진단: CXR/CT상 medial pleural line 등 • 치료: 경과관찰 + 산소 (식도/기도 파열시 수술) | |
급성 종격동염 | • 원인: 식도/기도 파열, 목/복부 감염, 수술 후 감염 • 임상양상: 흉통, 호흡곤란, 발열 • 진단: CT - 종격동기종, 기포, fluid collection • 치료: 광범위 항생제 + 배액(수술적, 내시경적, 경피적) | |
Harrison 21e, pp.2200-2201
Murray & Nadel 7e, pp.1590-1617
흉막과 종격동 질환
기흉
환기 장애
과호흡 증후군