심화 1. 기타 간질성 폐질환

이론과 하이라이트 히스토리를 확인 할 수 있어요.

간질성 폐질환의 종류는 매우 다양하다. 그 중 국시에 출제되는 질환은 IPF가 대부분이며, 결체조직질환 관련 ILD(connective tissue disease-related ILD, CTD-ILD)와 육아종성 ILD(유육종증, 과민폐렴 등)가 드물게 출제된다. 그보다 더 드물게 오답 선지로 일부 기타 ILD들이 등장하기도 하는데, 본 단원에서는 이들을 다루고 있다.

1. 기타 특발성 간질성 폐렴(idiopathic interstitial pneumonia, IIP)

1) 특발성 비특이 간질성 폐렴(idiopathic nonspecific interstitial pneumonia, iNSIP)

(1) IIP 중 특발성 폐섬유증(idiopathic pulmonary fibrosis, IPF) 다음으로 흔함

(2) 검사소견: 폐하부(basal), 기관혈관주위(peribronchovascular)의 GGO or reticular opacity

• Honeycombing은 없으며, 늑막하(subpleural) 부위에 병변이 없을 수도 있음 (↔ IPF)

* 위와 같은 영상학적 패턴을 NSIP pattern이라고 한다. NSIP 패턴은 여러 CTD-ILD에서 나타날 수 있으므로, 이들을 배제한 뒤 원인을 모를 때 iNSIP로 진단할 수 있다.

(3) 치료: Steroid (+ azathioprine, cyclophosphamide 등 면역억제제)

• 폐섬유화가 진행되면 pirfenidone 등 항섬유화제 고려

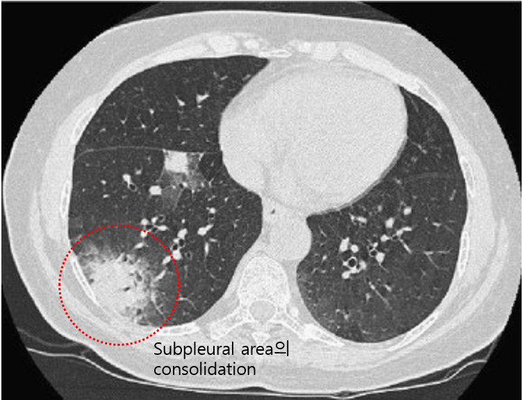
2) 특발성 기질화 폐렴(cryptogenic organizing pneumonia, COP)

(1) 급성~아급성 양상(수 주~개월)을 나타내며, 발열 등 flu-like 증상을 동반하기도 함

(2) 검사소견: Basal, subpleural/peribronchovascular consolidation

* 급성~아급성 임상양상, CT상의 nonspecific consolidation은 폐렴과 비슷하므로 감별에 주의해야 한다.

(3) 치료: Steroid (+ 면역억제제)

3) 급성 섬유소성 기질화폐렴(acute fibrous organizing pneumonia, AFOP)

(1) COP와 비슷하나 병리적으로 fibrosis가 동반되는 질환 (↔ COP에서 fibrosis가 진행되는 경우는 드묾)

(2) 임상양상: 급성~아급성 호흡곤란 (사망률 50%)

(3) 치료: Steroid (+ 면역억제제)

4) 호흡세기관지염 - 간질성 폐질환(respiratory bronchiolitis-interstitial lung disease, RB-ILD)

(1) 흡연과 강하게 연관되어 있으며, 흡연으로 인한 RB라는 병리학적 형태에 증상이 발생해 ILD로 이행된 질환

(2) 검사소견

① CT: Nonspecific GGO

② BAL/조직검사: Smoker's macrophage (갈색~검은색 색소가 침착된 macrophage가 다수 관찰)

③ PFT: 폐쇄성 양상 가능 (세기관지를 침범하므로 일반적인 ILD의 제한성 양상이 아닐 수 있음)

(3) 치료: 금연 (+ steroid)

5) 박리 간질성 폐렴(desquamative interstitial pneumonia, DIP)

(1) 흡연과 강하게 연관되어 있는 또 다른 ILD (위 RB-ILD와 함께 smoking-related ILD라고도 부름)

(2) 검사소견

① CT: 비특이적 (basal, subpleural GGO가 흔함)

② BAL/조직검사: Smoker's macrophage

* 이전에는 smoker's macrophage가 폐포 박리에 의한 것이라 생각되어 DIP라는 이름이 붙었다. 하지만 박리보다는 다수의 macrophage가 단순히 축적된 것이라고 밝혀졌음에도 불구하고 이름은 바뀌지 않았다.

(3) 치료: 금연, steroid

6) 특발성 림프구성 간질성 폐렴(idiopathic lymphoid interstitial pneumonia, iLIP)

(1) 폐 실질에 lymphocyte와 plasma cell 등이 clonal proliferation되는 양성질환

(2) 검사소견: Basal, nonspecific GGO, multiple cysts

(3) 치료: Steroid 고려

7) 급성 간질성 폐렴(acute interstitial pneumonia, AIP)

(1) 폐질환이 없던 사람에게 발생하는 급성 전격성 폐질환 → ARDS와 유사한 양상 (사망률 50%)

(2) 검사소견: Bilateral diffuse GGO

(3) 치료: 보존적 치료(기관삽관 + 기계환기 등), steroid 고려

8) 특발성 흉막실질 섬유탄력섬유증(idiopathic pleuroparenchymal fibroelastosis, iPPFE)

(1) 폐 apex의 pleura와 subpleural parenchyma의 섬유화가 특징적인 질환

(2) 임상양상: 기흉이 흔히 발생

(3) 검사소견: 폐 상엽의 pleural thickening, subpleural GGO/reticular opacity

(4) 치료: Steroid 고려, pirfenidone/nintedanib 고려

2. 림프관평활근종증(lymphangioleiomyomatosis, LAM)

1) 개요

(1) 병태생리

① Perivascular epithelioid cell이 과다 증식하여 림프 조직을 주로 침범함

② 특히 폐를 자주 침범하며, 다수의 cyst를 생성함

(2) 역학: 젊은 여성에게만 발생(병태생리에 estrogen이 관여되어 있음), 결절경화증과 연관됨

2) 임상양상: 호흡곤란, 피로, 흉통(기흉, chylothorax가 흔히 발생)

3) 검사소견

(1) CT: Bilateral, diffuse, multiple cysts

(2) 혈액검사: VEGF-D 증가

4) 진단: 수술적 폐생검

5) 치료: Sirolimus, everolimus

3. 폐포단백증(pulmonary alveolar proteinosis, PAP)

1) 개요

(1) 병태생리

① 정상 폐의 경우 alveolar macrophage가 surfactant를 폐포로부터 흡수하는 역할을 함

② GM-CSF pathway 등에 문제가 생겨 alveolar macrophage의 수 부족 or 기능 이상 생김

③ Surfactant clearance가 감소하며 폐포에 lipid/protein으로 이루어진 액체가 가득 차게 됨

(2) 원인: 유전적 원인, GM-CSF에 대한 자가항체, 혈액암 등

2) 임상양상: 호흡곤란, 기침, 수포음

3) 검사소견

(1) CXR: 양쪽 mid-lower lung field의 central 부분의 consolidation

(2) CT: Diffuse GGO, 다각형 모양의 GGO(= crazy-paving)

(3) BAL: PAS stain으로 염색하면 lipid/protein 덩어리가 eosinophilic하게 염색되어 보임

4) 치료

(1) 전폐세척술(whole lung lavage): 전신마취 하 double-lumen endotracheal tube로 삽관 → 한쪽씩 폐 전체를 세척

(2) 흡입 GM-CSF

Harrison 22e, pp.2259-2267

Murray & Nadel 7e, pp.1343-1377

대한결핵 및 호흡기학회 가이드라인, 2023