대기도 질환

: Large airway diseases

대기도는 일반적으로 기관(trachea) 및 주기관지(mainstem bronchus)를 의미한다. 대기도 질환은 의심하기 어렵지만 진단하지 못할 경우 경과가 빠르게 악화될 수 있기 때문에 임상적으로 다소 중요하지만, 국시에는 거의 출제되지 않는다. 최근 기관식도루와 기관지결석 문제가 하나씩 출제되었으며, 나머지는 오답 선지로 간헐적으로 등장하므로, 간략하게나마 알아놓는 것을 권한다.

1. 기관식도루(tracheoesophageal fistula, TEF)

1) 개요

(1) 병태생리

① 기도와 식도가 비정상적으로 연결됨

② 음식물 섭취 시 식도에서 기도로 음식물이 흘러들어감 → 기도 폐쇄, 폐렴 등 발생

(2) 원인

선천성: 주로 식도폐쇄(esophageal atresia)도 동반

② 악성 질환: 식도암, 폐암

③ 기타: 장기간 기도 삽관, 기관절개술(tracheostomy), 수술, 방사선

2) 임상양상

(1) 주호소: 호흡곤란, 기침

식후 악화

(2) 기타 증상 및 징후: 반복적 폐렴, 삼킴곤란/삼킴통증

3) 검사소견

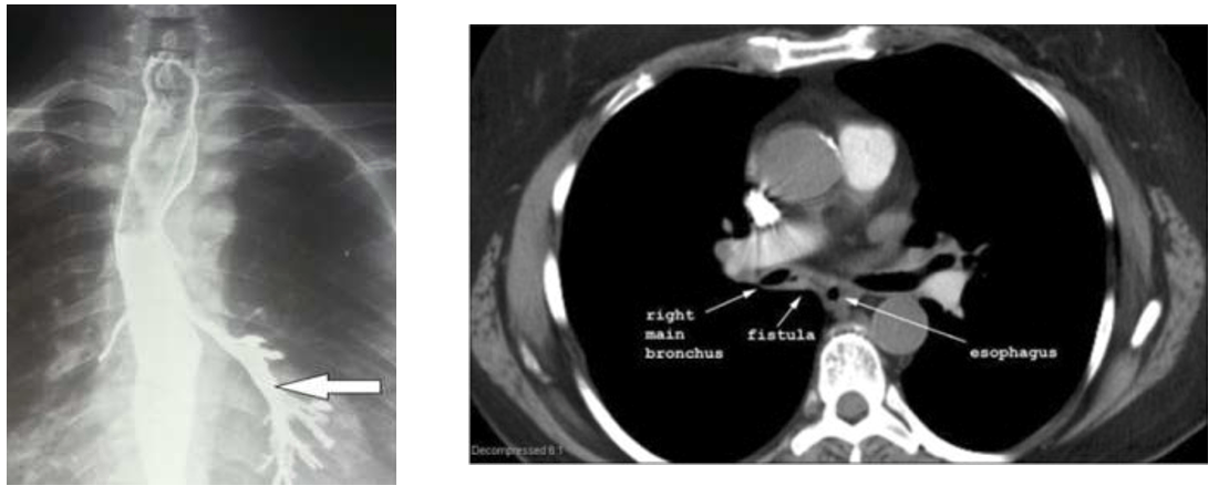
(1) 바륨식도조영술: 식도에서 trachea → bronchial tree로 조영제가 이동하는 것을 관찰

(2) CT: Trachea와 esophagus 사이의 fistula를 관찰

4) 진단: 기관지내시경 (작을 경우 관찰이 어려울 수 있으므로 methylene blue 복용 후 기도로 색소가 나오는 것을 관찰)

5) 치료

(1) 양성 질환: 수술적 교정 (더 온전하고 영구적으로 교정됨)

(2) 악성 질환: 기관지내시경 시술적 교정 (악성일 경우 수술이 큰 의미가 없는 경우가 많음)

2. 기관지결석(broncholithiasis)

1) 원인

(1) 석회화된 LN이 bronchial lumen 내부로 이동함: 결핵, 진균 감염, 규폐증(silicosis) 등

(2) 흡인된 이물, 양성 종양 등이 석회화됨

2) 임상양상

(1) 주호소: 기침

(2) 기타 증상 및 징후: 호흡곤란/발열(폐쇄성 폐렴), 객혈

3) 검사소견: CT - bronchus 내부에 very high-attenuating mass

4) 치료

(1) 경과관찰: 증상이 없거나 경할 때

(2) 기관지내시경 or 수술적 제거: 증상이 심할 때

3. 기관협착증(tracheal stenosis)

1) 원인

(1) 기관삽관 후: Endotracheal tube의 cuff가 tracheal mucosa를 압박 → ischemic necrosis 및 fibrosis 발생

(2) 감염: 기관지결핵, 진균 감염 등

(3) 자가면역: 유육종증, GPA, IBD, relapsing polychondritis 등

(4) 악성 질환: 폐암

(5) 기타

① 아밀로이드증

② 기관기관지 골연골형성증(tracheobronchopathia osteochondroplastica): 뼈/연골 조직이 기도에 과다증식

2) 임상양상

(1) 증상: 호흡곤란, 기침, 가래, 객혈 (비특이적이라 의심하기 어려움)

(2) 징후: 협착음(stridor), 천명음(wheezing)

3) 진단

(1) CT: 협착의 위치, 길이, 중증도, 동반 질환 등을 감별

(2) PFT: 유량-용량 곡선(flow-volume curve)이 중요

(3) 기관지내시경: 확진 및 치료를 동시에 진행 가능

4) 치료

(1) 원인 질환 치료

① 감염: 항결핵제, 항진균제, 항생제 등

② 자가면역질환: Steroid, 면역억제제 등

(2) 기관지내시경 시술: Stent 삽입, ablation, microdebridement 등

(3) 수술: 기관지내시경 시술이 실패하거나 시도하기 어려운 형태의 병변일 때

4. 기관기관지연화증(tracheobronchomalacia, TBM)

1) 개요

(1) 병태생리

① Trachea의 앞부분은 cartilage, 뒷부분은 smooth muscle로 이루어져 있음

② Cartilage 손상으로 인해 trachea가 구조적으로 약해지며, 특히 호기 때 trachea 앞면이 collapse되어 협착 발생

(2) 원인: 만성 기관지염, 위식도역류질환, 낭성 섬유증 등

2) 임상양상: 기관협착증과 유사

• 호흡곤란, 기침, 가래, 협착음, 천명음

3) 진단

(1) CT: 흡기, 호기 때 CT를 각각 촬영해 tracheal lumen의 지름을 비교

(2) PFT: 유량-용량 곡선(flow-volume curve)이 중요

4) 치료

(1) 원인 질환 치료

(2) 지속적 기도양압(continuous positive airway pressure, CPAP): 호기 때도 일정한 양압이 작용해 collapse를 방지

(3) 기관지내시경 시술: Stent 등

(4) 수술: 위 치료에 호전 없을 시

5) 과도 역동적 기도허탈(excessive dynamic airway collapse, EDAC)

(1) Trachea 앞면이 아니라 뒷면의 smooth muscle layer가 호기 때 collapse되는 질환

(2) 임상양상/진단/치료: TBM과 유사

Murray & Nadel 7e, pp.982-993

기타 폐질환

기타 혈관성 폐질환

다음 이론이 없습니다.