뇌막과 뇌혈관

시험에 자주 출제되는 분야로, 혈관의 분포 및 대략적 위치 관계를 알고 있어야 한다. 뇌막과 뇌혈관의 위치 관계를 잘 암기해 뇌출혈 발생 시 피가 고이는 공간을 골라낼 수 있어야 한다. 또한 뇌척수액의 경로를 확실히 암기하는 것이 중요하다.

1. 뇌동맥

1) 속목동맥(internal carotid a.) ← 온목동맥(common carotid a.)

(1) 뇌로의 유입: 목동맥관(carotid canal) 통과

(2) 가지

① posterior communicating a.

② anterior choroidal a.

③ anterior cerebral a.

④ middle cerebral a.

(3) 그 외 속목동맥의 가지

① superior hypophyseal a.: 뇌하수체 분포

② ophthalmic a.: 안구, 안확 분포

2) 척추동맥(vertebral a.) ← 쇄골하동맥(subclavian a.)

(1) 뇌로의 유입: 큰구멍(foramen magnum) 통과

(2) 가지

① anterior spinal a.: 척수 앞쪽 혈액 공급

② posterior inferior cerebellar a. (PICA) → posterior spinal a.: 척수 뒤쪽 혈액 공급

basilar a.: 좌우의 vertebral a.가 교뇌 앞에서 합쳐지며 형성

(3) 뇌바닥동맥(basilar a.)의 가지

① anterior inferior cerebellar a. → labyrinthine a.

② pontine a.

③ superior cerebellar a.

④ posterior cerebral a.

Grays Anatomy for Students 4th ed. pp.870

3) 대뇌동맥(Cerebral a.)

대뇌동맥

기원

혈액 공급 부위

앞대뇌동맥

속목동맥

내측면: 대부분

외측면: 위쪽 일부

중간대뇌동맥

내측면: 측두엽 앞쪽

외측면: 대부분

뒤대뇌동맥

뇌바닥동맥 ← 척추동맥

내측면: 후두엽, 측두엽

외측면: 후두엽 뒤쪽

Grays Anatomy 42th ed. pp.417

4) Circle of Willis: 뇌혈관들이 교통동맥(communicating a.)을 통해 연결된 구조

Grays Anatomy for Students 4th ed. pp.869

① 속목동맥(internal carotid a. )

② 앞대뇌동맥(anterior cerebral a.)

③ 앞교통동맥(anterior communicating a.)

• 양쪽의 앞대뇌동맥 연결

④ 중간대뇌동맥(middle cerebral a.)

• Circle을 직접 구성하진 않지만, ICA에서 분지되어 가장 많은 부위에 혈류 공급

⑤ 뒤교통동맥(posterior communicating a.)

• 뒤대뇌동맥과 속목동맥 연결

⑥ 뒤대뇌동맥(posterior cerebral a.)

⑦ 뇌바닥동맥(basilar a.)

2. 뇌정맥

1) 흐름

(1) 대뇌정맥(cerebral v.): 대뇌 분포

① deep cerebral v. → greater cerebral vein of Galen →곧은정맥굴(straight sinus) → 속목정맥(IJV)

② superficial cerebral v. → 경막정맥굴(dural sinus) → 속목정맥(IJV)

(2) 소뇌정맥(cerebellar v.): 소뇌 분포

→ 경막정맥굴(dural sinus) → 속목정맥(IJV)

(3) 뇌줄기 정맥: 뇌줄기 분포

→ 경막정맥굴(dural sinus) → 속목정맥(IJV)

2) 경막정맥굴(dural sinus)

(1) 정의: 경막의 periosteal layer와 meningeal layer 사이에 형성된 정맥굴

(2) 종류

Grays Anatomy for Students 4th ed. pp.875

Grays Anatomy for Students 4th ed. pp.875

(3) 해면정맥굴(cavernous sinus)

• 위치: 나비뼈 안장(sella turcica) 양쪽

머리뼈 바깥의 감염이 머리뼈 내부로 파급될 수 있는 통로(∵ophthalmic v., pterygoid plexus의 유입)

3) 흐름: 위/아래시상정맥굴(superior/inferior sagittal sinus) → 곧은정맥굴(straight sinus) → 정맥굴합류(confluence of sinuses)

→ 가로정맥굴(transverse sinus) → 구불정맥굴(sigmoid sinus) → 속목정맥(IJV)

• 뒤통수정맥굴(occipital sinus) → 정맥굴합류(confluence of sinuses)

• 위바위정맥굴(superior petrosal sinus) → 가로정맥굴(transverse sinus)

• 아래바위정맥굴(inferior petrosal sinus) → superior bulb of IJV

3. 뇌척수막

1) 구성: (얕은 쪽) 경막 – 거미막 – 연질막 (깊은 쪽)

(1) 경막(Dura mater): 가장 표면의 두꺼운 막

• periosteal(external) layer, meningeal(internal) layer로 구성

Grays Anatomy for Students 4th ed. pp.862

• 경막격막(dural partition): 경막이 겹쳐지며 생기는 격막

① Falx Cerebri (대뇌낫)

: 좌우 대뇌 반구 사이

② Tentorium Cerebelli (소뇌천막)

: 대뇌와 소뇌 사이

③ Falx Cerebelli (소뇌낫)

: 좌우 소뇌 반구 사이

④ Diaphragma sellae (안장가로막)

: hypophysial fossa를 덮음

• 중앙에 뇌하수체와 뇌바닥의 연결 통로(infundibulum) 존재

• 동맥: periosteal layer 속으로 주행; anterior/middle/posterior/accessory meningeal a. 등

(2) 거미막(Arachnoid mater): 혈관이 없는 얇은 막

거미막밑공간(subarachnoid space): 거미막과 연질막 사이 공간, 뇌척수액의 통로

거미막과립(arachnoid granulation): 거미막이 경막을 뚫고 경막의 내강 쪽으로 돌출된 구조

• 뇌척수액이 경막정맥굴로 빠져나가는 통로

• 거미막밑수조(subarachnoid cistern): 거미막밑공간이 확장된 구조 ex. cisterna magna

(3) 연질막(Pia mater): 혈관이 풍부한 뇌를 주름을 따라 덮고 있는 막

Grays Anatomy for Students 4th ed. pp.864

4. 뇌실 계통

1) 뇌실: 뇌척수액의 존재 공간; 뇌압 조절에 중요

2) 뇌척수액

(1) 생산: 주로 맥락얼기(choroid plexus)의 상피세포에서 생산

(2) 뇌실 내 흐름

① 가쪽뇌실(lateral ventricle)

② 뇌실사이구멍(foramen Monro)

③ 셋째뇌실(third ventricle)

④ 중간뇌수도관(cerebral aqueduct, aqueduct of Sylvius)

⑤ 넷째뇌실(fourth ventricle)

⑥ 정중구멍(foramen Magendie), 2개의 가쪽구멍(foramen Luschka)

⑦ 거미막밑공간(subarachnoid space)

⑧ 거미막과립(arachnoid granulation)

⑨ 경막정맥굴(dural sinus: superior sagittal sinus 등)

속목정맥(IJV)

(3) 흡수

거미막과립을 통한 정맥으로의 흡수 (major)

② 림프계로 흡수

③ 뇌 자체에서 흡수

(4) 역할: 충격 흡수, 노폐물 제거, 림프계와 연결

Grays Anatomy 42th ed. pp.406

3) 뇌수종(hydrocephalus)

(1) 정의: 뇌실계통이 확장된 상태

(2) 원인: 뇌척수액의 고임

① 뇌척수액 과다 생산

•매우 드문 경우, ex: 망막신경아세포종(choroid plexus papilloma)

뇌척수액의 흐름 막힘 (폐쇄성, non-communicating)

•뇌실 내 또는 뇌실과 거미막밑공간 사이 통로가 막힘

•ex: 수도관 협착(aqueductal stenosis) - 소아 선천성 장애, 종양 또는 출혈, 염증 등으로 인한 폐쇄

③ 뇌척수액의 재흡수 장애 (교통성, communicating)

• 거미막과립(arachnoid granulation)을 통한 뇌척수액 흡수에 문제가 생김

• ex: 지주막하출혈(SAH) 후 섬유화, 수막염 후 유착, 거미막과립 기능 저하(m/c)

5. 뇌출혈

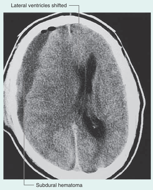
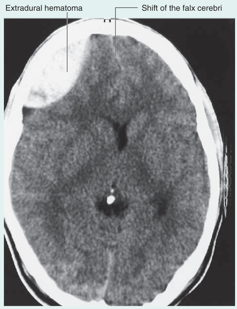
1) 경막바깥출혈, 경막밑출혈: 주로 외상과 관련

분류

출혈 발생 위치

주된 발생 원인

특징

영상

경막외혈종

두개골과 경막 사이

두개골 골절

주로 압력 높은 arterial 혈종

경막이 혈종의 압력을 막는 방패 역할을 하면서 뇌실질은 거의 손상되지 않고, 예후가 좋다.

렌즈 모양 출혈

경막하혈종

경막과 거미막 사이

뇌와 두개골을 연결하는 혈관이 끊어지는 경우

주로 압력 낮은 venous 혈종

경막 안쪽에 혈종이 생겨 머리 전체에 피가 고일 수 있다. 뇌실질이 직접 눌려 예후가 좋지 않다.

초승달 모양 출혈

2) 뇌내출혈, 거미막밑출혈: 주로 혈관의 문제와 관련

(1) 뇌내출혈(intracerebral hemorrhage): 뇌 안의 작은 혈관의 파열; 고혈압 등의 원인

(2) 거미막밑출혈(subarachnoid hemorrhage): 큰 혈관의 파열; Berry aneurysm

• 큰 혈관은 거미막밑공간에 위치

• Grays Anatomy for Students 4th ed. pp.878

Reference

• Grays Anatomy for Students 4th ed. pp.861-882

• Grays Anatomy 42th ed. pp.398-424

두경부

신경영상의학 및 기타 뇌의 역할

두경부

뇌신경