염증성 근육병증

염증성 근육병증 (피부근염, 다발성 근염, 봉입체 근육병증)

1. 피부근염 (dermatomyositis)

(1) 개요

small blood vessels에 대한 자가 면역반응으로 인해 발생하는 근육 손상, 피부 증상 동반

자가항체

설명

Anti-Mi2 antibodies

• nucleosome remodeling에 이용되는 helicase에 대한 자가항체

• Gottron papule, heliotrope rash와 높은 연관성 보임

Ani-Jo1 antibodies

• histidyl t-RNA synthetase에 대한 자가항체

• interstital lung disease, arthritis, "mechanic's hand"와 높은 연관성 보임

Anti-P155/P140 antibodies

• 여러 transcriptional regulators에 대한 자가항체

• paraneoplastic syndrome, 소아 피부근염과 높은 연관성 보임

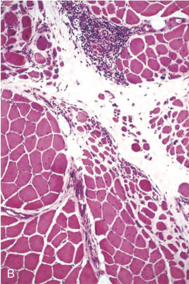
(2) 조직학적 소견

• monoculear inflammatory cell, 특히 CD4+ T cell이 perimysial connective tissue에 침윤

perifascicular atrophy가 관찰됨

Robbins and Cotran Pathologic Basis of Disease, 10e, pg 1229

(3) 임상양상

• 대칭적으로 서서히 진행되는 근력 약화

• 주로 몸 중심부의 근육을 먼저 침범함

• 초기 증상으로는 의자에서 일어나기 어렵거나, 계단 오르기 어려운 양상을 보임

• 진행될 경우 말단 근육의 fine movement에도 어려움을 겪게 됨

• 눈 주위 자색 발진(heliotrope rash)이나 눈 주위 부종(periorbital edema)이 특징적으로 나타남

Heliotrope Rash, Wikipedia Commons

• 손가락 관절, 팔꿈치, 무릎 등에서 비늘 모양(scaling)을 동반한 붉은 발진인 Gottron's papule 또한 특징적으로 관찰됨

Gottron's papule, Wikipedia Commons

2. 다발성 근염 (polymyositis)

(1) 개요

피부근염과 유사하게 근육통 및 근력 약화를 보이는 성인 발병의 염증성 근육병증

• 피부근염과 다르게 피부 병변은 나타나지 않으며 혈관 손상은 발병 기전에 주요한 역할을 하지 않음

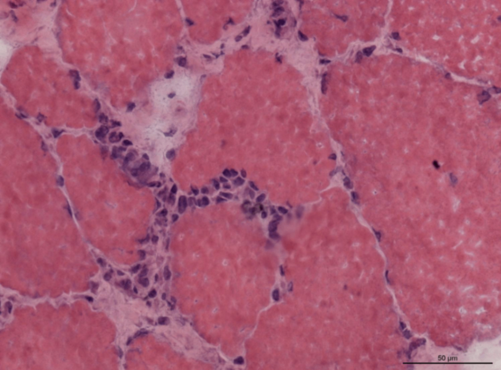
(2) 조직학적 특징

endomysial connective tissue에 CD8+ T cell 침윤

Polymyositis, Wikipedia Commons

• perifasciular atrophy는 관찰되지 않음

3. 봉입체 근육병증 (Inclusion Body Myositis)

(1) 개요

• 주로 50세 이후의 성인에서 발생하며, 특히 65세 이상의 환자에서 가장 흔한 염증성 근육병증

• 천천히 진행하는 근력 약화를 보이며, 특히 quadriceps과 상지 말단부(distal upper extremity)의 근육에서 가장 심하게 나타남

• 다른 근육병증에서 관찰되는 자가항체와 연관성을 가지지 않음

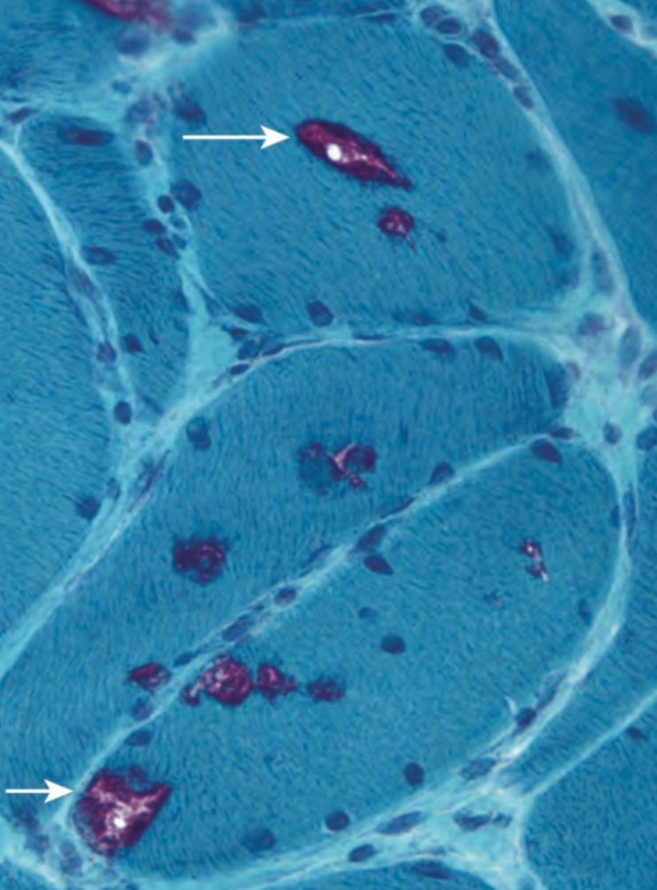
(2) 조직학적 특징

• 봉입체 근육염은 다음과 같이 다발성 근염과 유사한 조직학적 소견을 보임:

- CD8+ T cell의 근내막(endomysial) 침윤

- 근섬유막(sarcolemma)의 주요 MHC class I 항원 발현 증가

- regenerating & degenerating 근섬유가 혼재되어 관찰

• 봉입체 근육염의 특징적인 소견들은 다음과 같음:

- "Rimmed vaculoes" 형태의 세포 내 봉입체(cytoplasmic inclusion) Robbins and Cotran Pathologic Basis of Disease, 10e, pg 1230

- Beta-amyloid, TDP-43, ubiquitin 등 신경퇴행성 질환과 흔하 연괸된 단백질을 포함한 세포질 봉입체

- 만성 질환 경과를 반영하는 근내막의 섬유화와 fatty replacement

Reference: Robbins and Cotran, Pathologic Basis of Disease, 10e

소화계 질환

소화기계의 선천성 질환

근골격계 질환

통풍 (gout)