통풍 (gout)

이론과 하이라이트 히스토리를 확인 할 수 있어요.

통풍 (gout)

1. 개요

관절 내외에 침착된 monosodium urate crystal에 의해 유발되는 transient & acute arthritis

2. 발병 기전

요산 생성 증가 및/또는 요산 배설 감소로 인해 발생하는 hyperuricemia(> 6.8 mg/dL)

• 통풍은 발병 기전에 따라 primary (90%) 또는 secondary (10%) 분류되는데, 이때:

- Primary gout는 요산의 대사 중 주요 역할을 수행하는 효소의 결여에 의해 나타남

- Secondary gout는 cell lysis의 증가 (eg. leukemia), 신장 기능 저하에 의한 요산염의 축적 등에 의해 나타남

Robbins and Cotran Pathologic Basis of Disease, 10e, pg 1204

• 통풍의 급성 염증 반응은 다음과 같은 과정으로 발생한다:

- monosodium urate crystal이 관절 내로 침착

- 대식세포와 호중구가 요산 결정을 탐식하며서 IL-1을 포함한 cytokine을 분비해 더 많은 호중구와 대식세포를 유인

- 염증세포는 cytokine, free radcials, protease, arachidonic acid metabolite 등을 분비하여 추가적인 염증세포를 모집

- 이외로도 phagolysosome의 파열은 더 많은 protease와 inflammatory mediator의 방출을 유도

• 통풍에 의한 급성 관절염은 일반적으로 며칠에서 수주 내에 자연적으로 호전됨

그러나 이러한 증상이 반복되면 synovial membrane과 periarticular tissue에 요산 결정과 염증 조직이 집합된 tophi가 형성되며 이는 연골을 손상시켜 관절 기능을 저하시킴

Robbins and Cotran Pathologic Basis of Disease, 10e, pg 1205

3. 조직학적 소견

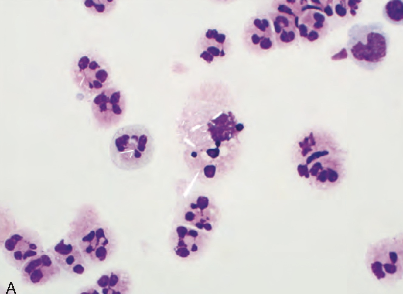
• 급성 관절염 발생 시, 활막과 활액 내에 dense neutrophilic infiltrate이 관찰됨. 또한 가느다란 바늘 모양의 요산 결정(urate crystals)이 활막 내에 작운 군집을 이루며, 관절액 표본에서는 이러한 결정이 호중구의 세포질 내에서도 발견됨

Robbins and Cotran Pathologic Basis of Disease, 10e, pg 1206

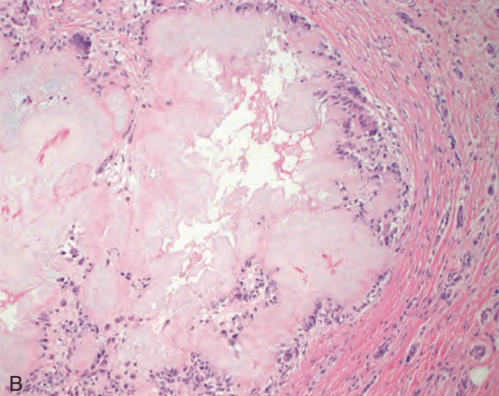
Chronic tophaceous arthritis의 경우, 반복적인 염증 반응으로 인해 tophi가 형성됨. 요산이 관절면에 침착되며 활막은 염증세포에 의해 hyperplastic & fibrotic하게 변화함. 이로 인해 형성된 pannus는 연골을 파괴하고 관절 주위의 bone erosion을 초래할 수 있음.

Robbins and Cotran Pathologic Basis of Disease, 10e, pg 1206

Reference: Robbins and Cotran, Pathologic Basis of Disease, 10e