주요 면역 세포
이론과 하이라이트 히스토리를 확인 할 수 있어요.
1. 면역 세포의 종류와 주요 기능
: 면역 반응은 다양한 종류의 면역세포들이 각자의 역할을 수행하며 상호작용하는 복잡한 과정이다.
대표적인 선천면역 및 후천면역 세포들의 구조적 특징, 주요 기능, 표지자, 그리고 관련 면역기전들을 정리하였다.
특히, 수지상세포와 NK 세포, 헬퍼 T세포, 중성구에 초점을 맞추어 항원 인식부터 면역활성화 및 병원체 제거에 이르는 흐름을 파악할 수 있도록 구상하였다.
Dendritic cell (수지상세포)
: 전문항원제시세포(Professional Antigen-Presenting Cell, APC).
병원체로부터 얻은 항원 정보를 T 림프구(T cell)에게 보여주는 세포로, 선천면역과 후천면역 사이를 연결해주는 역할을 한다.
Wikimedia commons: File:Activation des cellules dendritiques.webp
항목 | 내용 |
|---|---|
주요 기능 | 항원 포획 → 처리 → MHC에 제시 → T세포 활성화 |
위치 | 피부(랑게르한스세포), 점막, 림프절, 비장 등 |
기원 | 골수 유래 (myeloid lineage) |
표지자(marker) | MHC class II, CD11c, CD80/86 등 |
수명 | 조직 내에서 비활성 상태로 있다가, 항원을 만나면 성숙화되어 림프절로 이동 |
1. 면역 수행 과정
1) 항원을 탐식(phagocytosis)한 후, 성숙하여 세포 표면에 MHC 분자를 통해 항원 조각을 제시한다.
2) 이후 림프절로 이동하여 T 세포에게 항원을 제시, T 세포를 활성화한다.
2. 주요 특징
1) 넓은 세포 표면적: 여러 T 세포와 접촉하기 유리하게 구조화되어 있어 항원 제시 효율이 높인다.
2) 항원 감지 능력과 이동성
3) T 세포 활성화의 필수 요인
1) 항원만 제시하는 것이 아니라, 활성화 신호를 함께 전달하여 면역 반응의 질과 방향을 결정한다.
2) T 세포는 아무 항원이나 반응하지 않으며, 반드시 수지상세포처럼 인증된 APC가 항원을 제시해주어야 반응한다.(해당 과정은 암 면역치료나 백신 설계 분야에서 중요하게 다뤄진다.)
3) 항원 제시 과정에 문제가 생기면 정상 세포에 대해 면역 반응이 일어나는 등의 문제가 생기기도 한다.
----------------------------------------------------------------------------------------------------------------------------
NK Cell (자연살상세포)
: 선천면역에 관여하는 T림프구 계열 세포. 감염된 세포 혹은 암세포를 처리하는 큰 과립성 림프구이다.
Wikimedia commons - File:Antibody-dependent cell-mediated cytotoxicity.png
1. 역할
1) MHC I 발현이 적은 세포를 감지하여 직접 세포자멸사를 유도한다.
2) Perforin과 Granzyme 등의 효소롤 통해 해당 과정을 유도하며 CD16과 CD56을 발현하고, 감마인터페론을 분비하여 면역작용에 기여한다. IFN-α/β, IL-12 등에 의해 활성이 증가한다.
2. 항체의존 세포독성 (antibody dependent cellular cytotoxicity, ADCC)
: NK cell은 Fc receptor를 통해 세포 표면의 항원을 인식, degranulation을 통해 perforin과 granzyme 등을 분비하여 target cell의 apoptosis를 유발한다
CD4+ T cell, CD8+ T cell에서 발현되는 CD3를 발현하지 않는다.
----------------------------------------------------------------------------------------------------------------------------
Helper T cell
: 후천면역을 담당하는 CD4+ T 림프구.
1. 역할
1) 항원제시세포의 MHC class II에 제시된 항원을 인식한다.
2) 다른 면역세포(대식세포, B세포, T세포 등)를 활성화시키고 조절하여 면역 반응의 방향성을 결정한다.
2. 특징
1) 항원제시세포(APC)가 제시한 항원을 미성숙한 CD4+ T 림프구가 인지하면 활성화된다. 이때 동시에 B7-CD28과 같은 보조자극 신호도 필요하다.
2) 인지를 하는 수용체(TCR)에는 효소가 붙는 motif가 없어, CD3 복합체와 같은 보조 단백질을 통해 세포 내부의 signal cascade를 시작한다.
Wikimedia Commons - File:Activation of T and B cells.png
항원제시세포가 분비하는 사이토카인에 따라 분화형이 결정된다.
Subtype | 분화유도물질 | 주 전사인자 | 분비물질 | 주요 기능 |
Th1 | IL-12, IFN-γ | T-bet | IFN-γ, IL-2 | 대식세포 활성화, 세포매개면역 (세포 내 항원 제거) |
Th2 | IL-4 | GATA-3 | IL-4, IL-5, IL-13 | 호산구 및 비만세포 활성화, 기생충 제거 |
Th17 | IL-6, TGF-β, IL-1β, IL-23 | RORγt | IL-17, IL-22 | 호중구 활성, 염증성 면역 (세포 외 균 제거) |
Treg | IL-2, TGF-β | FoxP3 | IL-10, TGF-β | 면역 관용 유지, 자가면역 억제 |
Tfh | IL-6, IL-21 | Bcl-6 | IL-21 | B세포 활성화, 항체 친화도 성숙 |
Wikimedia Commons - File:Helper T Cell Differentiation.png
----------------------------------------------------------------------------------------------------------------------------
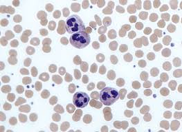
Neutrophil (중성구)
: 전체 백혈구의 60-70%로 가장 높은 비중을 차지하는 세포로, 면역반응의 first-line defense를 담당한다. 2-5개의 lobe가 관찰된다.
Wikimedia Commons - File:Neutrophils.jpg
역할
Phagocytosis | 세균, 진균 등 병원체를 포식하고 분해 탐식 후 phagolysosome에서 세균 사멸 |
Oxidative burst | 활성산소(ROS) 생성으로 강력한 살균 작용 |
Degranulation | 과립에서 효소, 항균 물질 분비 예: myeloperoxidase, elastase, defensins |
NETs (Neutrophil Extracellular Traps) | DNA 섬유에 항균 단백질을 뿌려 세균을 덫처럼 포획 세포사멸의 일종, 면역 기능 수행 |
면역 신호 전달 | IL-8 (CXCL8): 다른 neutrophil 호출 TNF-α, IL-1β: 염증 증폭, 혈관 투과성 증가 MMPs: 조직 재구성 관련 |