관절염 (arthritis)

이론과 하이라이트 히스토리를 확인 할 수 있어요.

관절염 (osteoarthritis, rheumatoid arthritis)

1. 골관절염 (Osteoarthritis)

(1) 개요

활막 관정의 구조적 및 기능적 손상을 초래하는 연골의 퇴행성 질환

뚜렷한 유발 원인 없이 서서히 나타나며, 노화와 관련된 현상으로 간주됨

(2) 발생 기전

Biomechanical stres에 의해 발생하는 관절 연골의 퇴행 및 무질서한 재생 과정

- matrix 구성 성분이나 signaling molecule의 유전적 다형성(polymorphism)과 같은 유전적 요인 또한 존재

• 연골세포(chondrocyte)는 증식하며 지속적으로 proteoglycan을 합성하지만 분해 속도가 합성 속도를 초과할 때 질병이 진행됨

• 연골세포는 type II collagen을 분해하는 matrix metalloprotease (MMP), TGF-β, prostaglandin, nitric oxide 등을 분비하며 low-grade chronic inflammation을 유도함

• 질병이 진행되면 연골세포와 matrix의 심각한 소실이 특징적으로 나타남

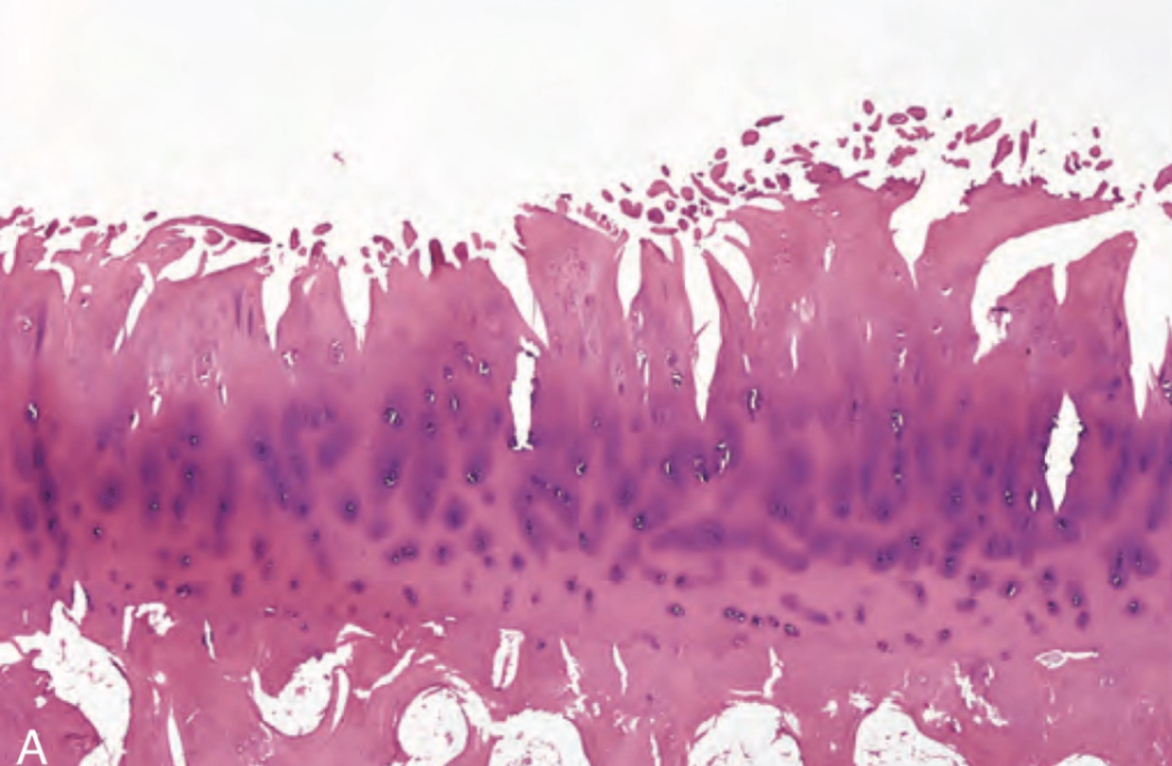
(3) 조직학적 소견

• 초기 골관절염에서는 연골세포의 증식 및 군집 형성이 관찰됨

• 이와 동시에 기질의 수분 함량 증가, proteoglycan 농도 감소, 그리고 표층부의 수평 배열된 type II collagen 섬유의 절단이 나타남

• 이러한 변화는 연골 표면에 fissure과 cleft을 유발하고 거칠고 연한 연골 표면을 노출시킴

• 또한, 연골세포가 사멸하고 전층 두께의 연골이 탈락되어 관절 내로 이탈하며 loose bodies가 관찰됨

Robbins and Cotran Pathologic Basis of Disease, 10e, pg 1199

• 노출된 subchondral bone은 관절면의 지속적인 마찰로 인해 bone eburnation이 관찰됨

• 또한, sclerosis로 인해 생긴 작은 골절들의 틈 사이로 활액이 침투 → fibrous-walled cyst 형성

• 관절면 가장자리에 fibrocartilage와 hyaline cartilage로 덮인 osteophyte가 관찰됨

활막은 대체로 경미한 충혈 및 섬유화를 보이며, 염증세포 침윤은 적음

1: eburnated articular surface exposing subchondral bone
2: subchondral cyst; 3: residual articular cartilage

Robbins and Cotran Pathologic Basis of Disease, 10e, pg 1199

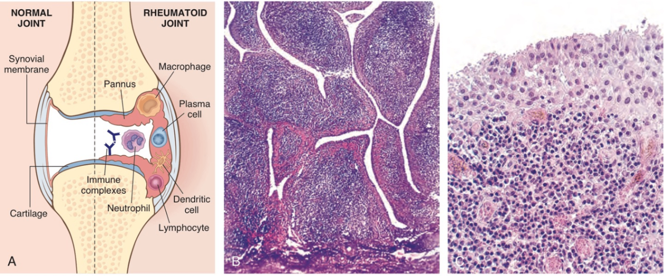
2. 류마티스 관절염 (Rheumatoid Arthritis)

(1) 개요

관절을 주로 침범하는 만성 자가면역 질환으로, 화농을 동빈하지 않는 증식성(proliferative) 및 염증성(inflammatory) 활막염

• 피부, 심장, 혈관, 폐 등을 침범해 전신 증상 유발 가능

(2) 발생 기전

• CD4+ helper T cell로 인해 면역 반응이 일어남

• 이 때 주요 역할을 수행하는 cytokine들은 다음과 같음:

- IFN-γ (Th1 cells): 대식세포와 활막세포를 활성화시킴

- IL-17 (Th17 cells): 호중구와 단핵구를 모집함

- RANKL: 활성화된 T cell 표면에 발현되며 골 흡수를 유도함

- TNF & IL-1 (macrophage): 활막세포가 protease을 분비하도록 유도해서 hyaline cartilage을 파괴시킴

- 이 중 TNF가 RA의 발병 기전에 가장 밀접하게 연관되어 있으며 anti-TNF biologics는 RA 치료에 활발하게 이용되고 있음

• 또한, RA의 활막에는 secondary follice 및 형질세포(plasma cell)가 발견되며, 일부 형질세포는 자가항체를 분비함

• 분비된 다수의 자가항체는 citrulinated peptide (CCP)을 인식하며, 이는 관절 내 여러 단백질 (fibrinogen, type II collage, α-enolase, vimentin) 등에서 발견됨

Anti-citrulinated peptide antibody (ACPA)는 RA의 중요한 진단마커이며 70%의 환자의 혈청에서 검출됨

• 이 외로도 RA 환자의 약 80%에서는 IgM 및 IgA 자가항체가 IgG의 Fc 영역에 결합하며, 이를 rheumatoid factor(RF)라고 함. RF는 관절 내 immune complex로 침착될 수 있지만, 모든 환자에서 나타나는 것은 아니며 RA 환자가 아닌 경우에도 발견될 수 있음

(3) 조직학적 소견

• RA는 특징적으로 다음과 같은 조직학적 소견을 보인다:

활막세포의 과형성(hyperplasia) 및 증식이 나타나며, 진행되면 융모(villi) 구조 형성

활막에 CD4+ T helper cell, B cell, 형질세포, 수지상세포, 대식세포 등이 침윤해 lymphoid follicle 형성

혈관신생(angiogenesis)에 의해 혈관 분포(vascularity) 증가

관절 및 활막 표면에 fibrinopurulent exudate

파골세포(osteoclast)의 활성에 의해 활막이 subchondral bone을 침범해 관절 주위를 침식하고 subchondral cyst 형성

• 이러한 변화들이 함께 작용하여 pannus을 형성함. 이는 edematous synovium, granulation tissue, 그리고 fibroblast로 구성된 조직 덩어리로, 관절 연골을 침범하여 점진적인 연골 침식을 일으킴

• 질병이 진행되며 pannus는 인접한 뼈들을 연결하게 되고 fibrous ankylosis을 형성함. 이는 ossification이 되어 결국 bony ankylosis, 즉 뼈의 유착으로 이어지게 됨

Robbins and Cotran Pathologic Basis of Disease, 10e, pg 1201

3. 골관절염과 류마티스 관절염의 비교

골관절염

류마티스 관절염

주된 병리적 기전

관절연골의 기계적 손상

자가면역 반응

염증의 역할

이차적인 역할; 염증 매개체가 연골 손상을 악화시킬 수 있지만 주된 병인은 아님

주된 역할; T 세포에 의해 분비되는 cytokine과 자가항체에 의해 연골이 파괴됨

침범되는 관절

주로 체중이 부하되는 관절 (무릎, 고관절 등)

손가락의 작은 관절들에서 시작해 다른 관절들로 진행될 수 있음

병리 소견

연골의 퇴행 및 파편화, bone spurs, subcondral cysts; 염증 소견은 없거나 최소한으로 관찰됨

연골을 침범한 pannus; 심한 만성 염증 및 관절 유착

혈청 자가항체

없음

APCA, RF 등의 다양한 자가항체

다른 장기 침범

없음

폐, 심장, 피부 등 기타 장기 침범 가능

Robbins and Cotran Pathologic Basis of Disease, 10e, pg 1200

Reference: Robbins and Cotran, Pathologic Basis of Disease, 10e