감염질환의 조직학적 소견

감염질환의 조직학적 소견

감연 질환의 조직학적 소견은 그 범위가 매우 방대하므로, 본 이론에서는 기출 선지 및 답안에서 빈출되는 주요 미생물을 엄선하여 정리하였다. 본 내용은 감염 질환의 조직학적 소견에 중점을 두고 있으며, 그 외의 미생물학적 지식은 알렌의 서재에 수록된 미생물학 관련 이론을 참고하길 바란다.

1. 세균

(1) 황색포도알균 (Staphylococcus aures)

• 다양한 형태의 피부 병변 (종기, 농가진, scaled skin syndrome), 농양, 골수염, 폐렴, 패혈증, 심내막염, 식중독, toxic shock syndrome 등의 원인균

• 침범한 장기의 급성 화농성 염증을 유발하며, 이는 조직의 국소적 괴사 및 구조의 파괴를 초래함

황색포도알균에 의해 형성된 폐 조직 내 농양;

호중구의 밀집된 침윤과 함께 폐포 구조의 소실 및 파괴가 관찰됨

Robbins and Cotran Pathologic Basis of Disease, 10e, pg 360

(2) 리켓치아 (Ricketssia spp.)

Rickettsia spp.는 백터에 의해 전파되는 obligate intracellular bacteria으로, epidemic typhus (Ricketssia prowazekki)와 Rocky Mountain spotted fever(Rickettsia rickettsii)를 유발함

• Ricketssia는 혈관 내피세포를 침범해 혈관염을 일으켜 혈관 주위 출혈 및 염증세포의 침윤을 유도함

① Typhus

• 조직학적 소견으로는 소혈관의 병변과 다양한 장기와 조직에 나타나는 국소적 출혈 및 염증이 관찰됨

• 중증의 경우, 혈관 내강이 협착되거나 혈전이 형성되어 손가락 끝, 코, 귓바퀴, 음낭, 외음부 등의 괴저성 괴사가 발생함

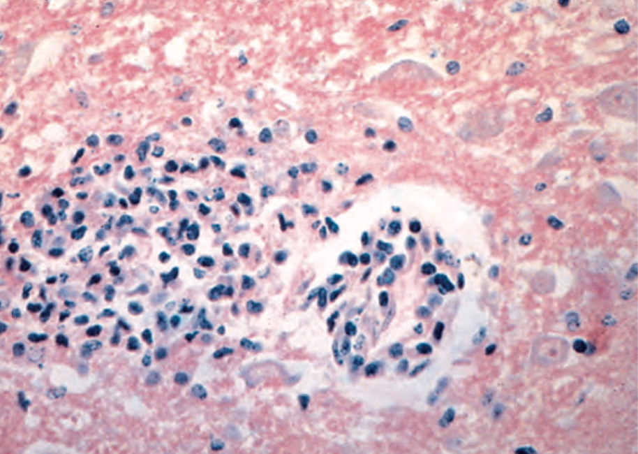
• 뇌를 침범한 경우 특직정으로 typhus nodule이 형성되며, microglia의 국소적 증식과 T 림프구와 대식세포의 침윤이 관찰됨

뇌 조직의 typhus nodule

Robbins and Cotran Pathologic Basis of Disease, 10e, pg 382

② Rocky Mountain spotted fever

손바닥과 발바닥을 포함한 전신에 걸쳐 퍼지는 출혈성 반진이 특징적으로 나타남

• Typhus fever와 유사하게 뇌, 골격근, 폐, 신장, 고환, 심근 등 여러 장기에서 perivascular inflammation이 관찰됨

• 이러한 작은 혈관들의 병변은 종종 급성 괴사, fibrin 삼출, 혈전증으로 이어짐

Robbins and Cotran Pathologic Basis of Disease, 10e, pg 382

(3) 결핵균 (Mycobacterium tuberculosis)

① 일차 결핵 (primary tuberculosis)

폐의 하엽 상부 또는 상엽 하부의 subpleural region에 주로 발생

• 초기 병변은 1~1.5cm의 경화된 회색-백색의 병소로, ghon focus로 불림. 대부분의 경우 병변의 중심에 건락괴사가 일어남

• 감염된 대식세포나 결핵균이 근처 림프절으로 이동하며서 림프절 병변이 생기는데, 이를 폐 실질 병변과 함께 묶어 ghon complex라 칭함

Ghon complex

Robbins and Cotran Pathologic Basis of Disease, 10e, pg 371

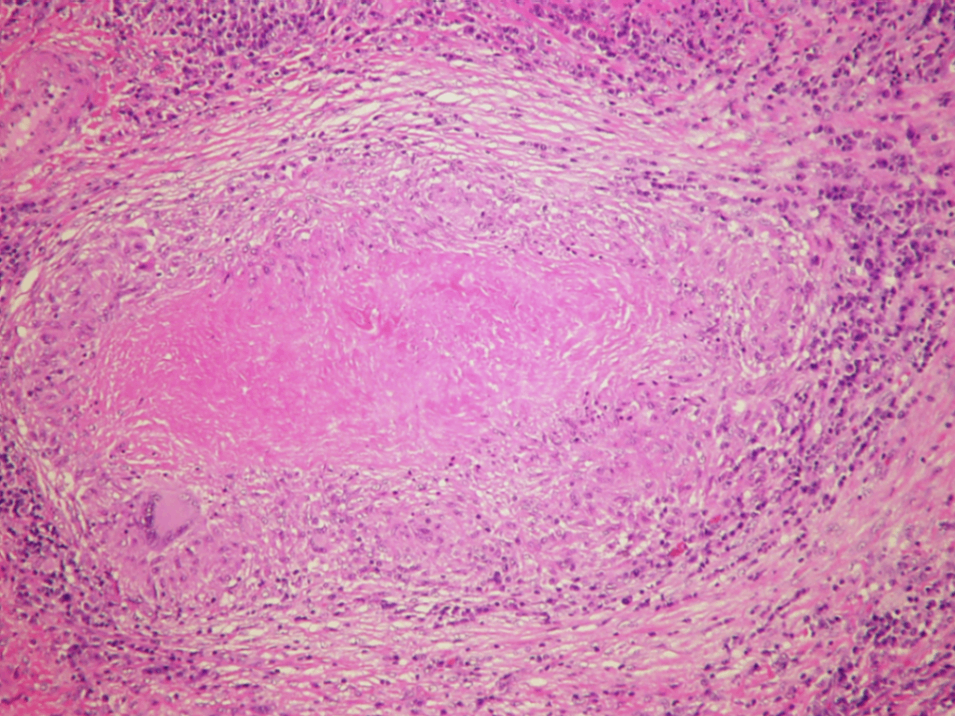
감염된 조직에서 육아종성 염증 (granulatmous inflammation)이 특징적으로 관찰됨

- 육아종은 일반적으로 림프구가 둘러싼 섬유성 테두리로 구성되며, 중심부에는 상피양세포(epitheliod histiocytes)와 다핵 거대세포(multinulceated giant cell)가 관찰됨

- 면역저하자의 경우 육아종을 형성하지 못하고, acid-fast stain을 통해 대식세포 내 결핵균을 확인해야함

• 대부분의 경우 세포매개성 면역으로 감염은 억제되어 병변은 석회화 및 섬유화됨

Pulmonary tuberculosis - necrotizing granuloma, Wikipedia Commons

② 이차 결핵 (secondary tuberculosis)

폐의 상엽 첨부에 발생

• 경계가 뚜렷한 회백색/황색의 결절로 중심 괴사와 주변 섬유화가 동반함

• 만성화 시 섬유화, 공동 형성, 흉터 발생

③ 진행석 폐결핵 (progressive pulmonary tuberculosis)

면역저하자나 고령에서 흔하며 상엽 첨부의 병변이 기관지와 혈관을 침범해 발생

• 이로 인해 공동이 형성되는데, 폐 조직의 심각한 파괴를 유도하며 섬유화를 통한 경계가 명확하지 않음

• 혈관 침범으로 인해 객혈 발생 가능

④ 속립결핵 (military tuberculosis)

결핵균이 혈생성 전파를 통해 전신으로 퍼짐

2 mm 크기의 속립 모양의 황색 병소들이 간, 비장, 골수, 폐, 부신, 고환 등에서 광범위하게 발견됨

Lung - Miliary tuberculosis, Wikipedia Commons

2. 바이러스

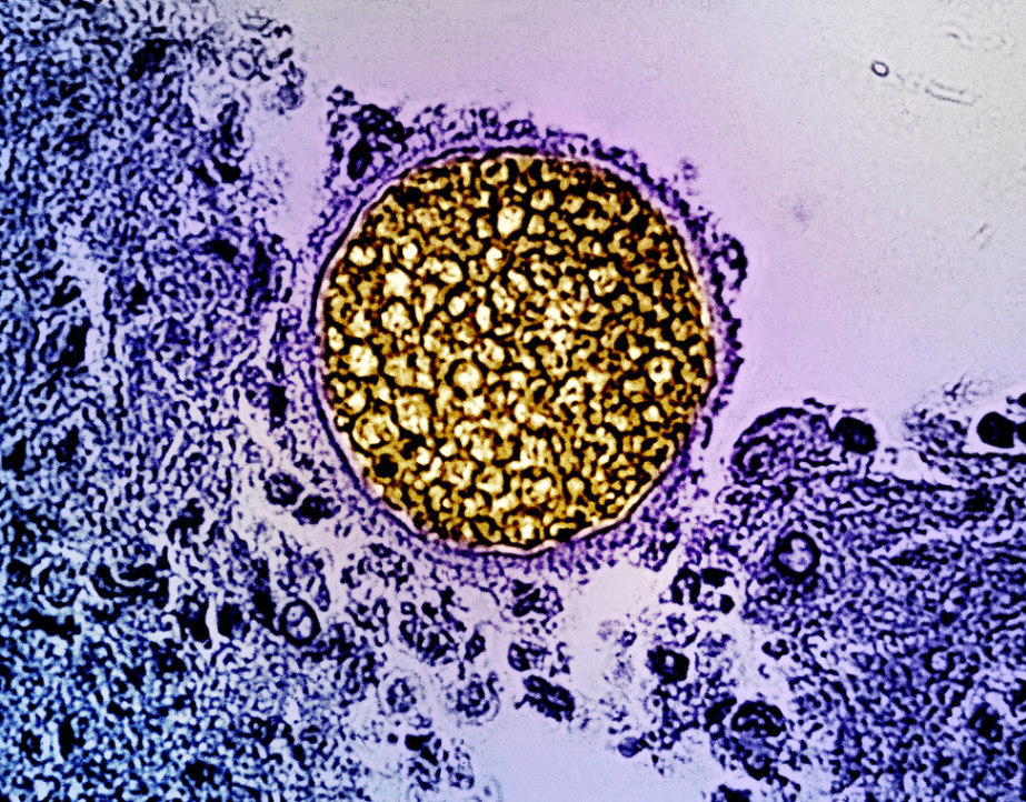
(1) CMV

Herpesviridae에 속하는 DNA 바이러스로 면역저하자에서 중증 감염 유발함

• 다양한 장기를 침범하지만 공통된 병리 소견은 다음과 같음:

- 감염된 세포의 비대(hypertrophy)

- 올빼미 눈(owl's eye) 모양의 핵 내 봉입체가 관찰됨. 해당 구조는 basophilic하고 뚜렷한 perinuclear halo를 동반

- 세포질 내 봉입체도 일부에서 관찰 가능

- 폐, 간, 대장, 망막 등 다양한 장기의 상피세포, 대식세포, 내피세포를 포함한 여러 세포를 감염

Cytomegalovirus infection, Wikipedia Commons

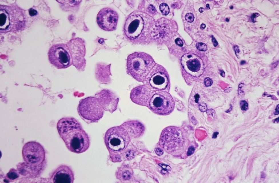
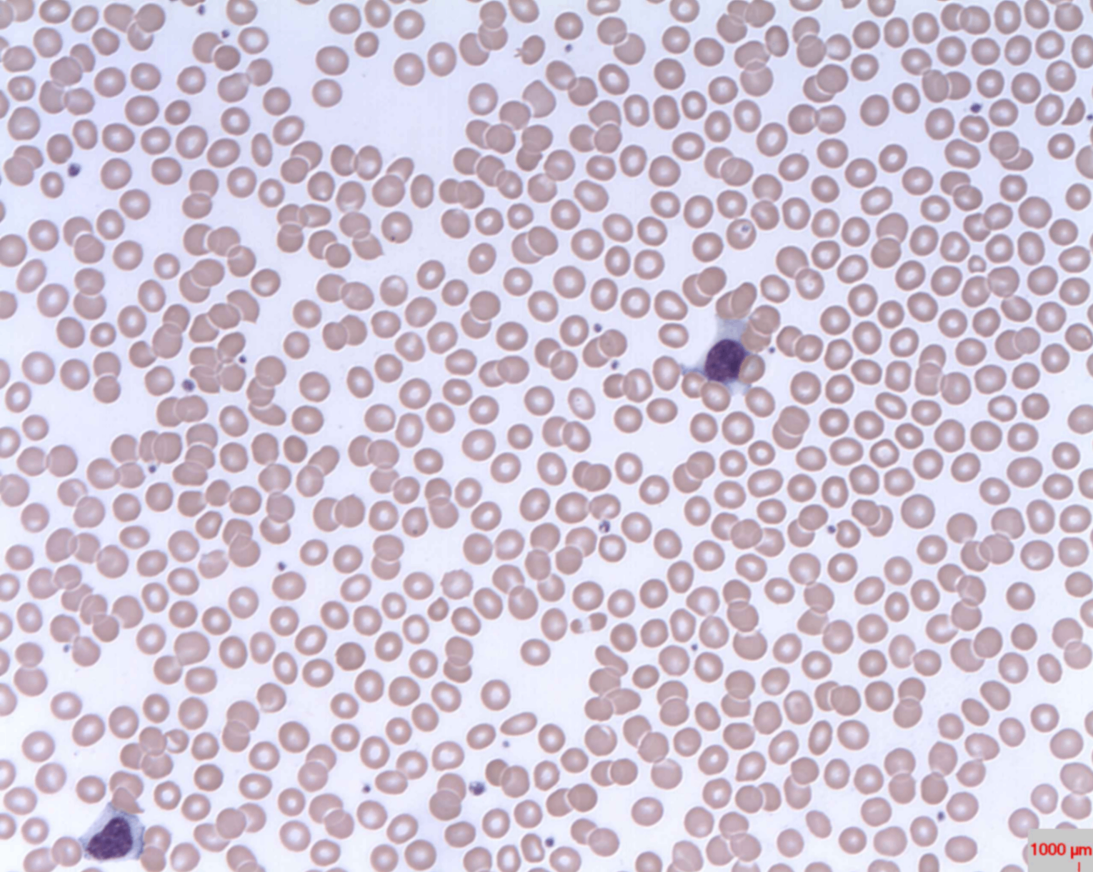
(2) EBV

Herpesviridae에 속하는 DNA 바이러스로, 감염성 단핵구증(infectious mononucleosis)을 유발하며 그 외로도 일부 림프종(Burkitt lymphoma, Hodgkin lymphoma) 및 비인두암(nasopharyngeal carcinoma)의 병인과 관련성을 가짐

• 주로 B 림프구 감염

① 감염성 단핵구증 (infectious mononucleosis)

Lymphocytosis (60%)

이 중 5-80%는 atypical lymphocytes로, EBV에 감염된 B cell에 대한 CD8+ T cell이며 감염성 단핵구증의 특이적 소견임

- Atypical lymphocyte는 지름이 약 12-16μm인 세포로, 풍부한 세포질, 다수의 공포(vacuolations), 그리고 다원형의 함몰되거나 주름진 핵이 발견됨. 또한, 세포질 내 자주색의 azurophilic granules이 산재됨

Atypical lymphocytes, Wikipedia Commons

3. 진균

(1) 칸디다증(Candidiasis)

• C.albicans는 인체에서 가장 흔한 진균 병원체

• 피부 및 점막의 공생 미생물로, 피부나 점막 장벽이 손상될 때 병원체로 작용하여 감염을 유발

• 건강한 사람에서는 비교적 경미한 표재성 감염을 유발 (예: 질염, 기저귀 발진)

• 반면, 백혈병, 화학요법 등으로 인한 호중구 감소증 환자에서는 심각한 전신성 칸디다증이 발생할 수 있음

• 조직 절편에서는 다양한 형태로 관찰됨:

- 효묘형(yeast)

- 위균사(pseudohyphae): 위균사는 칸디다증의 진단적 단서로 작용하며, 특징적으로 싹튼 효모 세포들이 사슬 모양으로 연결되어 있으며 각 연결 부위는 constriction을 보임 → 진균사처럼 보이지만 실제로는 연속된 발아세포의 연결

- 산소 긴장도가 낮은 조건에서는 드물게 진균사(true hyphae)도 관찰됨

Candida Gram Stain, Wikipedia Commons

(2) 분아균증(Blastomycosis)

• Blastomyces dermatitidis는 열형성 이형성 진균(dimorphic fungus)으로, 외부 환경에서는 곰팡이형(mold), 인체 조직 내에서는 효모형으로 존재함

• 주로 흙에서 상주하며 흡입을 통해 폐를 감염해 폐렴을 유발

• 대식세포는 B.dermatitidis를 효과적으로 탐식하는 능력이 부족해 감염 퇴치에 호중구가 추가적으로 동원되어 화농성 염증이 유발됨

• 조직 내에서는 큰 둥근 효모형(8-15 μm)으로 존재하며 두꺼운 이중 벽을 가짐. Broad-based budding이 진단적 단서로 작용함

Blastomycosis, Wikipedia Commons

(3) 아스페르길루스증(Aspergillosis)

• Aspergillus는 환경에 널리 존재하는 사상균으로 호흡기를 통해 포자가 흡입되어 감염을 유발함

• 건강한 사람에서는 allergic bronchopulmonary aspergilosis)을 유발할 수 있으며, 면역저하자에서는 부비동염, 폐렴, invasive aspergillosis을 유발함

조직학적 소견으로는 균사(hyphae)가 관찰됨. 균사는 격막(septate)과 45° 각도로 가지치는 형태를 가짐

Pulmonary aspergillosis, invasive type, Wikipedia Commons

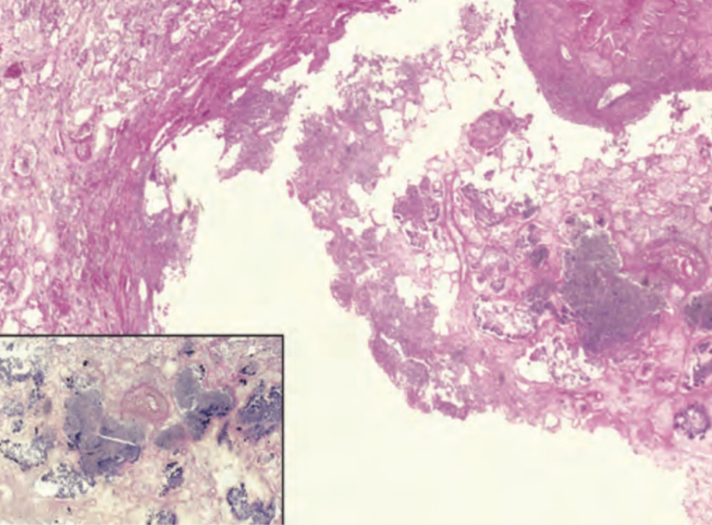
(4) 히스토플라즈마증(Histoplasmosis)

• B.dermatitidis와 동일하게 열형성 이형성 진균으로, 흡입된 포자가 폐를 침범함

대식세포 내의 다수의 작은 타원형 효모(2-5 μm)로 관찰되며 narrow-based budding가 특징적

• 염증 반응으로 육아종성 염증과 건락 괴사가 관찰됨

Pathologic Basis of Disease, Robbins Pathology, 10th edition, pg 713

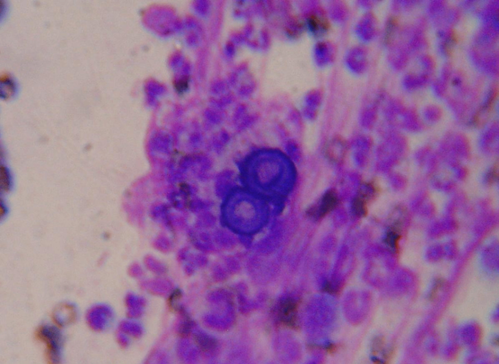
(5) 콕시디오이데스 진균증(Coccidioidomycosis)

• Coccidioides immitis는 열형성 이형성 진균으로, 자연 환경에서는 포자형, 인체 조직에서는 구상체(spherule) 형태로 존재

• 호흡기를 통해 흡입되어 폐를 일차적으로 침범

대식세포 또는 거대세포 내 지름 20-60μm 크기의 두꺼운 벽을 가진 spherule 형태로 관찰됨. 내부에는 다수의 endospore가 spherule을 채우고 있음

Coccidioides fungal spherule, Flickr

4. 원생동물

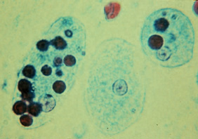
(1) 아메바 (Entamoeba histolytica)

• 오염된 물이나 음식물을 통해 경구 감염되며 대장 점막을 침범해 이질성 설사(dysentry)를 유발함

점막의 파괴 및 궤양을 유발하며 flask-shaped ulcer가 관찰됨

• 조직 내에서는 활성 trophozoite 형태로 대장 점막 및 점막하층에서 관찰되며 적혈구를 탐식한 형태가 진단적 단서로 작용함

Trophozoites of Entamoeba histolytica with ingested erythrocytes, Centers for Disease Control and Prevention

Reference: Robbins and Cotran, Pathologic Basis of Disease, 10e

세포손상, 재생과 회복

괴사

호흡기 질환

폐암