갑상선 질환

이론과 하이라이트 히스토리를 확인 할 수 있어요.

갑상선 질환 (그레이브스병, 하시모토 갑상샘염)

갑성선항진증과 갑상선저하증은 다양한 원인 질환에 의해 발생할 수 있다. 본 이론에서는 각각의 대표적인 원인 질환이자 기종평에 출제된 바 있는 그레이브스 병과 하시모토 갑상샘염을 중심적으로 다룬다. 또한, 기종평은 기초의학을 평가하는 시험이지만, 문제 풀이에 필요한 일부 임상지식을 본문에 보완하여 수록하였다. 보다 자세한 임상양상 알렌의 서재의 임종평 또는 국시 대비 이론을 참고하길 바란다.

1. 그레이브스 병

(1) 개요

• 갑상선 기능 항진을 유발하는 가장 흔한 질병

• 여러 갑상선 단백질에 대한 자가항체가 생성되는 자가면역질환, 그 중 가장 중요한 표적은 TSH 수용체로, 이에 대한 자극 항체, 즉 thyroid-stimulating immunoglobulin (TSI)이 갑상선을 자극하여 과도한 갑상선호르몬 분비를 유도함

• 대표적인 증상 3가지로 정의됨:

갑상선이 미만성으로 비대해진 상태에서 나타나는 갑상선기능항진증

침윤성 안병증(infiltrative ophthalmopathy) 및 그러 인한 안구돌출증(exophthalmos)

흔히 경골 앞부위에 발생하는 국소성 침윤성 피부병증으로, pretibial myxedema이라고도 불림

(2) 임상양상

serum free T3, T4 증가, serum TSH 감소

• 고대사 상태(hypermetabolic state): 빈맥, 심계항진, 고혈압, 불안, 불면, 신경과민, 식욕 증가에도 체중 감소, 더위 민감, 발한 증가

(3) 갑상샘눈병증

활성화 된 CD4+ T cell이 cytokine을 분비해 fibroblast를 자극하여 증식 및 glycosaminoglycan (GAG) 등 세포외기질 단백질 합성을 유도함 → 안와 공간에 염증세포 침윤 및 부종 발생 → 안병증 발생

• 질병 진행 시 결합조직 내 단핵구의 침윤, 안외근의 염증 및 부종, hyaluronic acid 및 chondroitin sulfate 등 친수성 GAG의 축적, 그리고 지방세포의 증가로 인해 안구 돌츨증으로 이어짐

• 이러한 변화는 안구를 전방으로 밀어내어 안구 돌출을 유발할 뿐만 아니라 외안근의 기능 장애까지 초래할 수 있음

Graves' Opthalmopathy, Wikipedia Commons

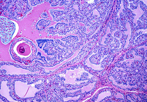
(4) 조직학적 소견

• 갑상선은 대칭적으로 비대되어 있으며 이는 갑상선 여포 상피세포(thyroid follicular epithelial cell)의 미만성 비대 및 과형성(hyperplasia)에 기인함

여포 상피세포는 길고 조밀하게 밀집되어 있으며, 이러한 세포 밀집은 유두(papillae) 형성으로 이어짐. 해당 구조는 여포 내강으로 돌출되고 colloid을 침범하거나 때로는 여포를 거의 채우기도 함. 단, 유두암의 유두와 달리 fibrovascular core는 없음

• 갑상선의 간질에는 림프구 침윤이 관찰되며, 주로 T세포로 구성되고, 일부 B세포와 형질세포도 산재해 있음. 또한, germinal center이 형성되어 있는 경우도 있음.

Histopathology of Graves' Disease, Wikipedia Commons

2. 하시모토 갑상샘염

(1) 개요

자가면역 반응에 의해 갑상선이 점진적으로 파괴되어 서서히 진행되는 갑상선 기능 저하증

• 요오드 섭취가 충분한 지역에서 가장 흔한 갑상선기능저하증의 원인

갑상선 자가항원에 대한 면역 관용(self-tolerance)의 붕괴로 인해 발생함. 대부분의 환자에서는 thyroglobulin과 thyroid peroxidase에 대한 자가항체가 검출됨

(2) 임상양상

free T3, T4 증가, TSH 감소, 요오도 섭취 저하

- 일부 환자에서는 초기에 갑상선 여포가 파괴되며 갑상선 호르몬이 일시적으로 유리되어 일과성 갑상선중독증이 나타날 수 있음

• 서맥, 저혈압, 무기력감, 집중력 저하, 우울, 식욕 감소, 체중 증가, 추위 민감, 건조함 피부, 변비

(3) 조직학적 소견

• 통증 없는 미만성 비대

단핵구 염증세포의 침윤이 갑상선 실질에 광범위하게 분포

여포상피는 위축(atrophy)되어 있으며, 호산성 과립성 세포질을 가진 큰 세포, 즉 Hurthle cell로 대체됨. 이는 만성 염증에 대한 이형성 반응(metaplasia)임

• 간질의 분포가 증가되어 있음

Hashimoto thyroiditis, Wikipedia Commons

Reference: Robbins and Cotran, Pathologic Basis of Disease, 10e