갑상선암

갑상선암

1. 유두암종 (papillary carcinoma)

(1) 개요

• 갑상선암 중 가장 흔한 암종 (~90%)

• 유두암종은 두 가지 유전적 변이와 높은 연관성을 가짐:

translocation에 의한 RET 유전자의 fusion

• RET은 정상 갑상선 여포 세포에 발현되지 않는 receptor tyrosine kinase의 유전자로, 지속적인 활성을 유도해 세포의 증식과 생존을 촉진함

gain-of-function point mutation of BRAFV600E

• serine/threonin kinase을 암호화하는 유전자로, receptor tyrosine kinase의 신호 전달 경로의 하위 경로에서 작용함

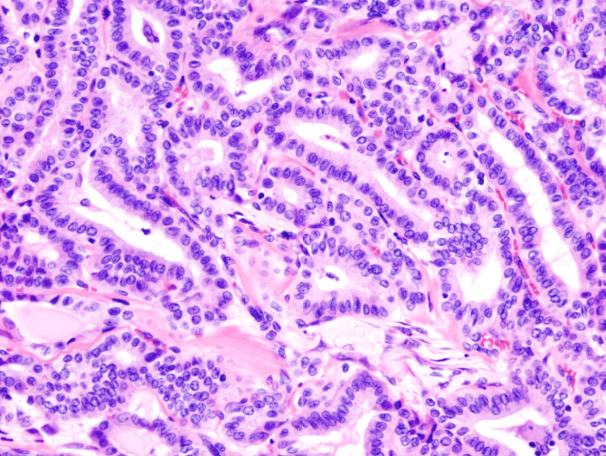
(2) 조직학적 소견

중심에 fibrovascular core를 가지는 분지된 유두구조; 유두를 덮는 상피는 대게 입방형 세포(cuboidal cells)

• 특징적인 핵 소견으로는 미세하게 분산된 염색질과 투명하거나 비어있는 핵 → 일명 "ground-glass nuclei", "Orphan Annie eye inclusion"

• 핵막 내 함입 (nuclear pseudoinclusion) 또는 핵 고랑 (nuclear grooves) 관찰 가능

• 동심성 석회화 구조인 psammomma bodies 또한 특징적으로 관찰됨

Papillary thyroid carcinoma histopathology, Wikipedia Commons

2. 소포암종 (follicular carcinoma)

(1) 개요

• 전체 갑상선암의 5-15% 차지

• 요오드 결핍 지역에서 더 흔하며, 해당 지역에서는 25-40% 차지

RAS gain-of-function mutation과 높은 연관성 보임

(2) 조직학적 소견

• 단일 결절

정상 갑상선 조직과 유사한 형태를 가짐

• 어떤 경우에는 여포 분화가 불분명하여 콜로이드 없이 세포 집합으로 존재

• 일부는 과립성, 호산성 세포질의 Hurthle cell로 구성됨

여포선종과 여포암의 감별은 세포학적으로 어려워 반드시 피막 및 혈관 침습 유무에 대한 조직학적 진단이 필요함

Follicular thyroid carcinoma, Wikipedia Commons

3. 저분화암종 (poorly differentiated carcinoma), 역형성암종 (anaplastic carcinoma)

(1) 개요

전체 갑상선 종양의 5% 미만을 차지하지만 사망률이 매우 높음; 진단 시점에 이미 국소 침습이 심하거나 원격 전이가 존재하는 경우가 많음

유두암이나 여포암의 분화 소실(dedifferentiation)을 통해 발생

• 대표적으로 세가지 유전적 변이와 연관성을 가짐:

TP53 point mutation

beta-catennin (CTNNB1) point mutation

TERT point mutation: telomerase의 catalytic component의 유전자

(2) 조직학적 소견

• 정상적인 여포성 분화가 매우 미미함

• 섬모(insular) 또는 기둥형(trabecular)의 성장 양상을 보임

종양 괴사가 흔히 동반함

• 역형성암종은 다음과 같은 세포 형태가 관찰됨:

- 다형성 거대세포; osteoclast-like multinucleate giant cell 또한 관찰됨

- 방추세포형

- 혼합형 (방추세포 + 거대세포 혼재)

Anaplastic thyroid carcinoma, Wikipedia Commons

4. 수질암종 (medullary carcinoma)

(1) 개요

갑상선의 여포주위세포(parafollicular C cell)에서 유래하는 신경내분비 종양

• 전체 갑상선 종양의 5% 차지

칼시토닌(calcitonin)을 분비해 진단 및 치료 후 추적 관찰 지표로 사용됨

70%는 산발성으로 발생하며 나머지는 MEN 2A, MEN 2B syndrome과 관련된 유전성 수질암으로 RET point mutation과 높은 관련성을 가짐

(2) 조직학적 소견

• 원발성의 경우 단일 결절, 가족성의 경우 다발성으로 나타남

• 크기가 큰 병변의 경우 괴사와 출혈이 생길 수 있으며 갑상선 피막을 침범하여 주변으로 확장 가능함

다각형 또는 방추형 세포의 밀집이 관찰됨

calcitonin 분비로 인해 종양 간질에 아밀로이드 침착이 관찰됨

신경내분비 종양 답게 종양세포의 세포질 내 electron-dense granule이 관찰됨

Medullary thyroid carcinoma, Wikipedia Commons

Reference: Robbins and Cotran, Pathologic Basis of Disease, 10e

내분비계 질환

갑상선 질환

내분비계 질환

부신피질 및 수질 종양